Foram encontradas 60 questões.
Mulher de 79 anos apresenta queixa de episódios de sensação de fraqueza, com vista escura, palidez e desmaio.
A hipótese diagnóstica é
Provas
Homem de 82 anos é atendido com quadro de disúria, incontinência urinária de urgência. Revendo o prontuário você identifica que este é o terceiro quadro consecutivo semelhante nos últimos meses. A cultura de urina identifica em todos os episódios a mesma bactéria.
Sua hipótese diagnóstica é
Provas
Idoso internado em uma UTI recebe na avaliação inicial 11 pontos na escala de Braden. Após alguns dias no exame físico é identificada lesão por pressão.

Assinale a opção que indica o grau da lesão.
Provas
Homem, 68 anos, é trazido à consulta pela família que relata início há 1 ano de tremor em membros superiores bilateral, com rigidez e bradicinesia. Apresenta déficit cognitivo marcante nos domínios das habilidades visual, espacial e atenção.
A esposa relata alucinações visuais recorrentes e detalhadas, sono agitado, com sonhos vívidos e movimentos anormais além de sonolência diurna.
A hipótese diagnóstica é
Provas
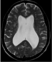
Homem de 70 anos relata quadro de alteração de marcha com base alargada, lentificação e quedas que se iniciou nos últimos 4 meses, seguido de apatia, irritabilidade, déficit de memória, confusão mental, desorientação. Nas últimas semanas vem apresentando urgência urinária. É solicitado exame de imagem, a seguir.

A hipótese diagnóstica é
Provas
Em relação às evidências sobre a avaliação geriátrica ampla (AGA), assinale a afirmativa correta.
Provas
Paciente masculino, 90 anos, robusto, apresenta crise de urticária com prurido importante sendo medicado com hidroxizina 25 mg 8/8h.
Após alguns dias inicia quadro com dificuldade de atenção, alteração do ciclo sono-vigília, irritabilidade. Retorna para emergência e é internado para investigação. Evolui com piora do quadro, flutuação do nível de consciência, agitação vespertina e alucinação.
Assinale a opção que apresenta a hipótese diagnóstica para o quadro.
Provas
Paciente de 87 anos, com síndrome de imobilidade, desenvolve quadro com desconforto abdominal, agitação, recusa alimentar, retenção urinária, eliminação de fezes líquidas e pouca quantidade.
No exame observa-se palpação de massa modelável no hipocôndrio esquerdo. O diagnóstico mais provável é
Provas
Os Critérios de BEERS foram atualizados em 2019. Segundo estes critérios
Provas
Segundo os Critérios de BEERS (2019), na presença de doença cardiovascular devemos considerar que
Provas
Caderno Container