Foram encontradas 1.010 questões.
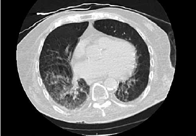
Paciente de 90 anos e admitido no pronto-socorro com história de 1 dia de evolução de tosse, sonolência e diminuição da ingestão de alimentos. Foi realizada uma tomografia computadorizada de tórax, apresentada a seguir:

(Arquivo pessoal; imagem usada com autorização)
Em relação ao caso, assinale a alternativa correta.
Provas
Paciente de 92 anos, sexo feminino, de forma abrupta e sem fator desencadeante, passou a sentir forte dor lombar que piorava à movimentação. A partir de então, deixou de caminhar devido à dor. Realizou uma radiografia de coluna lombar:

(Arquivo pessoal; imagem usada com autorização)
Diante desse achado, assinale a alternativa que apresenta o diagnóstico correto.
Provas
A hipótese neuroquímica é uma das principais hipóteses que justifica a patogênese do delirium.
Assinale a alternativa que apresenta o neurotransmissor que provavelmente é o mais importante envolvido.
Provas
Medicamentos tem o potencial de interferir no sono do idoso. A esse respeito, assinale a alternativa correta.
Provas
Assinale a alternativa que apresenta um procedimento fundamental para o diagnóstico da síndrome demencial.
Provas
Uma paciente, 75 anos, sexo feminino, chega ao consultório para realizar exames de rotina. Ela faz uso de escitalopram 10 mg/d há 6 meses para tratamento de ansiedade. Ela vem observando um tremor importante em suas mãos. Relata que durante toda a vida observou que apresentava um tremor, mas que ultimamente tem notado que está piorando. Caracteriza-se por ser um tremor fino e rápido.
O diagnóstico correto é:
Provas
Assinale a alternativa correta em relação às alterações das unhas que podem ocorrer fisiologicamente durante o processo de envelhecimento.
Provas
Em relação ao teste de fluência verbal, assinale a alternativa correta.
Provas
Em relação às alterações fisiológicas do envelhecimento, assinale a alternativa correta
Provas
Assinale a alternativa correta quanto à epidemiologia do envelhecimento.
Provas
Caderno Container