Foram encontradas 40 questões.
Analise as afirmativas:
I- A hepatite B também pode ser considerada uma doença sexualmente transmissível.
II- Ao atacar o sistema imunológico, o vírus do HIV atinge principalmente as plaquetas.
III- A sífilis é uma Infecção Sexualmente Transmissível (IST) causada pela bactéria Treponema pallidum.
Está CORRETO o que se afirma em:
Provas
Questão presente nas seguintes provas
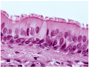
tecido epitelial é caracterizado por possuir pouca quantidade de material intercelular, apresentando, portanto, células justapostas. Sabendo que a imagem a seguir representa um tipo de tecido epitelial retirado do trato respiratório, podemos classificá-lo, segundo a forma e o arranjo, como:

(http://mol.icb.usp.br/wp-content/uploads/2-28.jpg Data de acesso: 11 de abril de 2019)
Provas
Questão presente nas seguintes provas
Observe a imagem e o texto a seguir e responda o que se pede.

(https://static.lvengine.net/portaldadialise2/Imgs/pages/page_914/shutterstock_203588125-compressor.jpg Data de acesso: 11 de abril de 2019)
“Quando os rins deixam de funcionar, a hemodiálise surge como uma opção de tratamento que permite remover as toxinas e o excesso
de água do seu organismo. Nesta técnica depurativa, uma membrana artificial é o elemento principal de um dispositivo designado
dialisador, comumente conhecido por “rim artificial”. O objetivo da diálise é substituir as funções excretoras dos rins.”
(https://www.portaldadialise.com/portal/o-que-e-hemodialise. Data de acesso: 11 de abril de 2019)
Considerando que a hemodiálise tem como objetivo substituir as funções do sistema urinário, um conjunto de órgãos responsável pela filtração do sangue, assinale a alternativa em que se encontra o local onde o sangue é filtrado nesse sistema do corpo humano.
Provas
Questão presente nas seguintes provas
Apesar de ser um mecanismo que ajuda o sistema imunológico a combater infecções, a febre, em alguns casos, precisa ser acompanhada por um médico. A febre pode ser um forte indício de uma infecção viral ou bacteriana, por exemplo. E, por isso, é muito importante ter um termômetro em casa. Após perceberem que seu filho Lucas, de 2 anos, estava com a temperatura corporal em 38,5ºC, Heitor e Poliana decidiram que se a febre ultrapassasse os 39ºC ou se Lucas apresentasse diarreia, então eles iriam levar Lucas ao Hospital para que profissionais o avaliassem. Sabendo que Heitor e Poliana levaram Lucas ao Hospital, é possível afirmar logicamente que:
Provas
Questão presente nas seguintes provas
Qual das alternativas representa o 11º e o 12º termos da sequência lógica a seguir?

Provas
Questão presente nas seguintes provas
Antônia, Luísa e Maria são irmãs. Sabe-se que Luísa e Maria são gêmeas e que a idade de Antônia é 1/3 da idade de Maria. Sabe-se também que o produto das idades de Antônia, Luísa e Maria é 1125.
Qual é o valor da soma das idades das três meninas?
Provas
Questão presente nas seguintes provas
Rafael está organizando uma festa para comemorar os seus 40 anos. Ele decidiu servir três bebidas alcoólicas (cerveja, pinga e whisky) e três bebidas não alcoólicas (água, água de coco e refrigerante). No final da festa, constatou-se que todos que beberam pinga também beberam cerveja. Constatou-se também que nenhum convidado que bebeu cerveja tomou whisky. Sabe-se ainda que 20 pessoas beberam pinga, 50 beberam cerveja e 30 beberam whisky. Além disso, sabe-se que 10% das pessoas que beberam, das bebidas alcoólicas, apenas cerveja, também beberam refrigerante e que 2/3 dos convidados que beberam whisky também beberam água de coco. Diante desta situação de consumo, é possível afirmar que a quantidade de convidados que beberam somente bebida alcoólica foi:
Provas
Questão presente nas seguintes provas
Classifique cada uma das afirmativas a seguir como verdadeira (V) ou falsa (F).
( ) Chama-se de conjunção de duas proposições !$ p !$ e !$ q !$ a proposição cujo valor lógico é a verdade quando as proposições !$ p !$ e !$ q !$ são ambas verdadeiras e a falsidade nos demais casos.
( ) A bicondicional !$ p \leftrightarrow q !$ e a conjunção !$ (p \rightarrow q) \land (q \rightarrow p) !$ são proposições compostas equivalentes.
( ) Se T é uma tautologia e C é uma contradição, então a disjunção !$ P \vee C !$ é uma contingência.
( ) O Princípio da Identidade diz que uma proposição não pode ser simultaneamente verdadeira e falsa.
Marque a alternativa que contém a sequência CORRETA de preenchimento dos parênteses:
Provas
Questão presente nas seguintes provas
Segundo a Autoridade Europeia para a Segurança dos Alimentos (EFSA), uma dose de 300 mg de cafeína ao dia pode ajudar a melhorar o rendimento de atividades físicas e intelectuais. A xícara de café da casa de Juliana contém 147 mg de cafeína. Quando Juliana toma uma xícara de café em sua casa, qual é o percentual de cafeína da dose diária recomendada pela EFSA que ela está ingerindo?
Provas
Questão presente nas seguintes provas
A Polícia Militar (PM) de uma cidade de Minas Gerais verificou que vários moradores da cidade estavam sendo vítimas de estelionatários e caindo em golpes, como, por exemplo, o “Sequestro Virtual”, com o qual o infrator finge que algum parente da vítima foi sequestrado e, surpreendida pela notícia, a vítima faz o pagamento exigido na ligação e/ou mensagens recebidas para que o parente seja liberado. A PM, então, decidiu alertar a população sobre esses golpes e emitiu o seguinte alerta:
“Se receber uma ligação de um número que você não conhece, não forneça seu nome nem o número de sua conta bancária.”
Com a informação, Francisco, morador da cidade, assustado com a situação, decidiu acatar o conselho da PM. Ao receber uma determinada ligação, Francisco forneceu sua conta bancária à pessoa que estava do outro lado da linha. É possível afirmar logicamente que Francisco
Provas
Questão presente nas seguintes provas
Cadernos
Caderno Container