Foram encontradas 740 questões.
Recém-nascido que foi prematuro limítrofe, adequado para a idade gestacional, com PC de nascimento de 32 cm, apresenta exame neurológico, desenvolvimento somático e neuropsicomotor adequados para idade, quando avaliado com 12 meses de vida. Qual o perímetro cefálico esperado para essa criança nessa idade?
Provas
Lactente, 7 meses, sexo feminino, desnutrida, após um quadro de diarreia aguda, há duas semanas, persiste com quadro de fezes amolecidas com as seguintes características: esverdeadas, explosivas, com dermatite perianal e abdome com leve distensão. Chama atenção também a irritabilidade dessa criança. Não há febre, e a criança está hidratada. Qual explicação seria a mais provável?
Provas
Qual dado epidemiológico está relacionado no aparecimento de fístula liquórica nasal espontânea primária?
Provas
A rinite alérgica persistente leve apresenta sintomas por
Provas
Adolescente de 13 anos, sexo masculino, compareceu à consulta com queixa de dor de garganta e fadiga há uma semana. Ele também apresentou febre, sudorese noturna e perda de apetite. Ao exame físico, observa-se aumento dos linfonodos cervicais, além de exsudato amigdaliano. A avaliação laboratorial revelou leucocitose com linfócitos atípicos presentes no esfregaço de sangue periférico. O teste rápido para detecção de anticorpos contra o vírus Epstein-Barr (EBV) foi positivo. O diagnóstico de mononucleose infecciosa foi confirmado. É uma complicação da mononucleose infecciosa frequente em adolescentes:
Provas
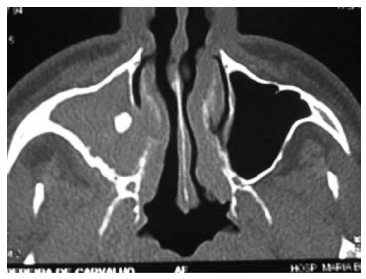
Observe a tomografia computadorizada a seguir.

Qual estrutura pode ser identificada nessa imagem?
Provas
Paciente com obstrução nasal e rinorreia purulenta há 4 meses realiza a tomografia computadorizada (TC) a seguir. Assinale a alternativa correta com relação à principal hipótese diagnóstica.

Provas
A ressonância magnética com difusão é o exame de escolha para avaliar a
Provas
Em paciente com o sinal de Schwartze, a cirurgia indicada é a
Provas
O abscesso de Bezold está relacionado anatomicamente ao músculo
Provas
Caderno Container