Magna Concursos

Foram encontradas 960 questões.

3718789 Ano: 2025
Disciplina: Medicina
Banca: UEPB
Orgão: Pref. Pombal-PB
Provas:
Paciente do sexo feminino, 65 anos de idade, comparece ao serviço para realização de mamografia, queixando-se de massa palpável em mama esquerda e retração de papila. Com relação ao exame abaixo e ao sistema de classificação BI-RADS, assinale a alternativa CORRETA.

Figura 3 – Mamografia.

Enunciado 4478613-1

Fonte: CPCON.
 

Provas

Questão presente nas seguintes provas
3718788 Ano: 2025
Disciplina: Medicina
Banca: UEPB
Orgão: Pref. Pombal-PB
Provas:
Com relação à avaliação imagenológica do acidente vascular encefálico isquêmico, assinale a alternativaCORRETA.
 

Provas

Questão presente nas seguintes provas
3718787 Ano: 2025
Disciplina: Medicina
Banca: UEPB
Orgão: Pref. Pombal-PB
Provas:
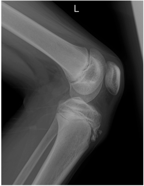
Criança de 12 anos de idade comparece ao pronto-atendimento queixando-se de dor intensa em região anterior do joelho, na topografia da tuberosidade tibial. Realizada radiografia em perfil do joelho.

Figura 2 –Radiografia em perfil do joelho.

Enunciado 4478611-1

Fonte: CPCON.

Com relação ao provável diagnóstico, assinale a alternativaCORRETA.
 

Provas

Questão presente nas seguintes provas
3718786 Ano: 2025
Disciplina: Medicina
Banca: UEPB
Orgão: Pref. Pombal-PB
Provas:
A respeito das doenças tireoideas autoimunes, é CORRETO afirmar que:
 

Provas

Questão presente nas seguintes provas
3718785 Ano: 2025
Disciplina: Medicina
Banca: UEPB
Orgão: Pref. Pombal-PB
Provas:
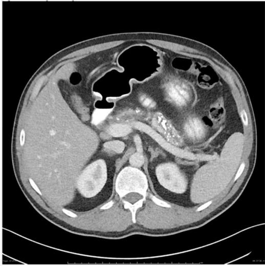
MSL, 55 anos, comparece ao hospital com quadro de dor abdominal, inespecífica, com piora após as alimentações, iniciada há cerca de 10 dias. Refere ser alcoolista crônico; porém, nega qualquer outra comorbidade. Realizada tomografia computadorizada de abdome, como atesta a figura abaixo:

Figura 1 –Tomografia computadorizada de abdome.

Enunciado 4478609-1

Fonte: CPCON.

Qual seria a hipótese diagnóstica compatível com o caso apresentado e os achados de imagem que podem estar associados, além dos que são apresentados no exame?
 

Provas

Questão presente nas seguintes provas
3718784 Ano: 2025
Disciplina: Medicina
Banca: UEPB
Orgão: Pref. Pombal-PB
Provas:
Quando um paciente apresenta sintomas de rigidez articular, dificuldade na marcha e lentificação psicomotora global, no contexto de uso recente de antipsicóticos, dizemos que ele está tendo sintomas extrapiramidais (SEP). Dentre as medicações listadas abaixo, a que tem menos chance de causar este tipo de ocorrência é:
 

Provas

Questão presente nas seguintes provas
3718783 Ano: 2025
Disciplina: Medicina
Banca: UEPB
Orgão: Pref. Pombal-PB
Provas:
Com o avanço das escalas e dos métodos diagnósticos, o Transtorno do Espectro Autista (TEA) saiu das sombras e passou a ser uma condição do neurodesenvolvimento bastante debatida não só no meio das neurociências, mas da sociedade em geral. Sabemos que não existe tratamento medicamentoso para o TEA, mas abordagens não medicamentosas baseadas em estímulos são bastante eficazes. A mais utilizada para esta condição do neurodesenvolvimento é:
 

Provas

Questão presente nas seguintes provas
3718782 Ano: 2025
Disciplina: Psiquiatria
Banca: UEPB
Orgão: Pref. Pombal-PB
Provas:
Paciente masculino, 22 anos, vítima de tentativa de homicídio, nesta mesma ocasião presenciou sua namorada sendo morta. Passou a ter, durante as semanas seguintes, pesadelos constantes com o fato, sintomas de ansiedade (tanto físicos quanto subjetivos), problemas para conciliar corretamente o sono, revivências com o fato, tristeza e maior labilidade afetiva. Após mais de um mês, procurou ajuda com médico psiquiatra, que corretamente diagnosticou o paciente como tendo Transtorno do Estresse Pós-Traumático (TEPT), orientando iniciar tratamento medicamentoso e psicoterapia. Apenas uma semana depois do início de ambas as terapêuticas instituídas, o paciente foi encontrado há mais de 20 km de casa, em um município na região metropolitana de sua própria cidade. Ao ser questionado, não lembrava como tinha chegado até ali, nem o que teria ido fazer, embora conseguisse responder a outros questionamentos de seus familiares e os reconhecesse corretamente. O episódio apresentado pelo paciente e que pode acontecer após situações traumáticas como a que viveu é chamado de:
 

Provas

Questão presente nas seguintes provas
3718781 Ano: 2025
Disciplina: Psiquiatria
Banca: UEPB
Orgão: Pref. Pombal-PB
Provas:
Transtornos de personalidade são muito comuns na prática psiquiátrica diária. Divididos em “clusters” ou grupos para facilitar a segmentação do diagnóstico, são 10 no total. Marque a seguir o transtorno de personalidade que está agrupado no chamado “cluster” ou grupo A.
 

Provas

Questão presente nas seguintes provas
3718780 Ano: 2025
Disciplina: Psiquiatria
Banca: UEPB
Orgão: Pref. Pombal-PB
Provas:
Os procedimentos intervencionistas na Psiquiatria têm se tornado cada dia mais comuns devido ao surgimento de estudos mais robustos e à maior segurança ofertada ao paciente quando esta modalidade de tratamento é escolhida. Dentre estes procedimentos, aquele que é considerado para o tratamento de um quadro de catatonia em paciente esquizofrênico é:
 

Provas

Questão presente nas seguintes provas