Foram encontradas 30 questões.
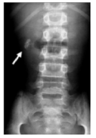
Considere a imagem a seguir:

A radiografia simples de abdome acima evidencia imagens radiopacas no hipocôndrio direito caracterizando:

A radiografia simples de abdome acima evidencia imagens radiopacas no hipocôndrio direito caracterizando:
Provas
Questão presente nas seguintes provas
Considere os itens a seguir com relação à Varicela:
I- É causada pelo vírus varicela-zoster, transmitido pelo contato com secreção das vesículas ou respiratória de indivíduo infectado. O período de incubação é de 14 a 21 dias;
II- O contágio ocorre no período de dois dias antes do aparecimento do exantema até cinco dias após (período que todas as lesões estejam em fase de crosta);
III- O pródromo é caracterizado por febre baixa e mal-estar. O exantema inicia na face, couro cabeludo ou tronco e evolui com máculas, pápulas, vesículas e crostas e tem aspecto polimorfo (em uma mesma região, lesões em vários estágios evolutivos), acomete mucosas e é pruriginoso.
Dos itens acima:
I- É causada pelo vírus varicela-zoster, transmitido pelo contato com secreção das vesículas ou respiratória de indivíduo infectado. O período de incubação é de 14 a 21 dias;
II- O contágio ocorre no período de dois dias antes do aparecimento do exantema até cinco dias após (período que todas as lesões estejam em fase de crosta);
III- O pródromo é caracterizado por febre baixa e mal-estar. O exantema inicia na face, couro cabeludo ou tronco e evolui com máculas, pápulas, vesículas e crostas e tem aspecto polimorfo (em uma mesma região, lesões em vários estágios evolutivos), acomete mucosas e é pruriginoso.
Dos itens acima:
Provas
Questão presente nas seguintes provas
Ao exame físico, a dor que se move do epigástrio para a região periumbilical, até chegar à fossa ilíaca direita, sugere o diagnóstico de:
Provas
Questão presente nas seguintes provas
O médico estira o músculo obturador interno flexionando a coxa esquerda do paciente na altura do quadril, com o joelho dobrado, e gira
a perna para dentro, na altura do quadril na investigação da presença
do sinal de:
Provas
Questão presente nas seguintes provas
Considere a alternativa que apresente contraindicação para realização
de colonoscopia:
Provas
Questão presente nas seguintes provas
Na colecistite aguda, a palpação da região subcostal direita, durante
inspiração profunda, pode provocar dor, caracterizando a presença do
sinal de:
Provas
Questão presente nas seguintes provas
Segundo a Lei Orgânica do Município de Porto de Moz - PA, compete privativamente ao município:
I- Organizar a estrutura administrativa local; II- Suplementar a legislação Federal e Estadual, no que couber; III- Legislar sobre assuntos de interesse local.
Dos itens acima:
I- Organizar a estrutura administrativa local; II- Suplementar a legislação Federal e Estadual, no que couber; III- Legislar sobre assuntos de interesse local.
Dos itens acima:
Provas
Questão presente nas seguintes provas
De acordo com a Lei Orgânica do Município de Porto de Moz - PA, compete ao município com a cooperação técnica e financeira da União e do
Estado, exceto:
Provas
Questão presente nas seguintes provas
Segundo a Lei Municipal no 1.780/2018, analise:
I- Configura-se vaga, quando o número de servidores dos órgãos for insuficiente para o concurso público; II- Fica o Poder Executivo autorizado a estabelecer, em regulamento próprio, as normas para o concurso público; III- Os cargos de provimento efetivo no serviço público municipal são acessíveis a todos os estrangeiros.
Dos itens acima:
I- Configura-se vaga, quando o número de servidores dos órgãos for insuficiente para o concurso público; II- Fica o Poder Executivo autorizado a estabelecer, em regulamento próprio, as normas para o concurso público; III- Os cargos de provimento efetivo no serviço público municipal são acessíveis a todos os estrangeiros.
Dos itens acima:
Provas
Questão presente nas seguintes provas
De acordo com a Lei Municipal no 920/2017, entende-se por Evolução
Funcional:
Provas
Questão presente nas seguintes provas
Cadernos
Caderno Container