Foram encontradas 1.695 questões.
O contraste oral é utilizado para modificar a densidade da luz do trato gastrintestinal. Salvo raras exceções, seu uso é obrigatório em qualquer exame de TC do abdome e da pelve, para:
I - Melhor individualizar as vísceras ocas (estômago, baço e alças intestinais).
II - Definir possíveis anormalidades das vísceras.
III - Para contornar o problema das alças intestinais que, sem contraste endoluminal, podem ser confundidas com massas, adenomegalias ou hematomas.
Está correto o que se afirma em:
Provas
A densidade _______ pode ser identificada nas condições de uso de meios de contraste, em corpos estranhos, órteses, próteses, fios e clipes metálicos cirúrgicos.
Assinale a alternativa que completa, corretamente, a lacuna do texto:
Provas
A terminologia empregada em radiografias deve ser bem utilizada. Para estruturas hipotransparentes deve-se utilizar o termo:
Provas
Na tomografia computadorizada (TC), o tamanho do campo de visão (FOV - Field of View) determina as dimensões da imagem que será adquirida no interior do gantry. Portanto, quanto menor o FOV:
Provas
A matriz gerada por meio dos coeficientes de atenuação pode ser convertida para uma escala numérica associada aos diferentes tecidos. Essa escala foi desenvolvida para a aplicação, na tomografia computadorizada e é chamada de escala de:
Provas
Leia:
“(...) aparece como uma opacidade pulmonar alongada, curva e verticalizada, lembrando esta espada, nos pacientes com retorno venoso parcial anômalo a direita.”
Dos achados na radiografia de tórax, o excerto define o sinal de:
Provas
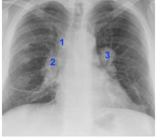
Sobre a radiografia torácica, o sinal do 1-2-3 está relacionado à linfonodopatia da sarcoidose nas regiões:

Provas
A radiografia PA de tórax é uma das incidências mais solicitadas na clínica. Contudo, áreas cegas são suas limitações. Não é uma área cega dessa incidência:
Provas
A US deve ser realizada, inicialmente, em todo paciente com pancreatite aguda para detectar cálculos na vesícula biliar ou no colédoco, mesmo nos consumidores de álcool. Este método é mais limitado no diagnóstico da coledocolitíase distal e para visualização do pâncreas e da região peripancreática, devido à ausência de janela acústica pela interposição:
Provas
Achados tomográficos na diverticulite incluem:
I - espessamento inflamatório da parede intestinal (maior que 5mm, com a distensão luminal adequada).
II - densificação da gordura pericólica.
III - bolhas de ar extraluminais, presença de abscessos e líquido livre.
É correto o que se afirma em:
Provas
Caderno Container