Foram encontradas 1.695 questões.
A Incidência Axial Anteroposterior (AP), não permite avaliar:
Provas
A Incidência em Perfil do crânio, não permite avaliara:
Provas
Pela classificação TNM para câncer de pulmão, metástases em mediastino contralateral, hilo contralateral, escaleno ipsilateral ou contralateral ou linfonodos supraclaviculares, caracteriza:
Provas
Observe as imagens, abaixo, e indique a anomalia da caixa torácica demonstrada:

Fonte: https://www.scielo.br/j/rb/a/cV8MMVtMjmJKSKMDNHKpR4G/?format=pdf&lang=pt
Provas
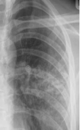
Analise a radiografia, abaixo, de um paciente portador de Sarcoidose:

Fonte: https://www.revistas.usp.br/rmrp/article/download/154795/156960/374834
A opacidade demonstrada caracteriza padrão:
Provas
Com relação aos fármacos anti-Tuberculose, em gestantes, sobre o Etambutol, é a seguinte recomendação do Ministério da Saúde:
Provas
O arco costal bífido de von Luschka, é caracterizado por uma duplicidade na sua porção anterior, nos seus aspectos ósseos e/ou cartilaginosos, geralmente acometendo o:
Provas
Leia:
“(...) termo mais utilizado na TC, mas que deve também ser utilizado no RX, representando uma área indistinta de opacificação do parênquima pulmonar que oblitera parcialmente a vasculatura e a via aérea, menos opaca que a consolidação.”
O excerto define:
Provas
Relacionado à consolidação na radiografia de tórax, o sinal de ______ está relacionado à perda da definição da borda ou margem de uma estrutura indicando que esta estrutura está em contato com a opacidade de atenuação semelhante, em geral uma consolidação ou massa.
Assinale a alternativa que preenche, corretamente, a lacuna do texto:
Provas
A radiografia de tórax em decúbito lateral com raios horizontais, deve ser solicitada pela técnica de:
Provas
Caderno Container