Foram encontradas 220 questões.
Considere as afirmações sobre a técnica de compressão mamária em exames de mamografia.
I. Diminui o movimento da mama durante a exposição aos raios X.
II. Reduz a espessura através da qual o feixe passa, reduzindo a radiação dispersada, diminuindo o contraste.
III. Se realizada de forma correta, não há necessidade da utilização de grade.
IV. O tecido mamário normal, geralmente, espalha-se enquanto as massas verdadeiras persistem em sua posição.
V. Permite uma redução significativa na dose de radiação.
Está correto, apenas, o contido em
Provas
Questão presente nas seguintes provas
A encefalomielite equina a vírus possui ciclo epidemiológico complexo, envolvendo reservatórios naturais, vetores e hospedeiros terminais. O conhecimento da história natural da doença é fundamental para que se estabeleçam medidas de controle dessa enfermidade que se torna ainda mais importante por se tratar de uma zoonose.
Nesse sentido, é correto que se afirme que
Provas
Questão presente nas seguintes provas
997357
Ano: 2012
Disciplina: Saúde Pública
Banca: VUNESP
Orgão: Pref. São José dos Campos-SP
Disciplina: Saúde Pública
Banca: VUNESP
Orgão: Pref. São José dos Campos-SP
Provas:
O texto a seguir foi retirado do portal do Ministério da Saúde (http://www.webradio.saude.gov.br/noticia.php?codigo_ noticia=PDMS120177 > acesso em 14.02.2012) e deve ser considerado para responder à questão.
Embora os homens representem 90% dos acidentes fatais com motocicleta no Brasil, a quantidade de mulheres que perdem a vida nesse tipo de acidente vem aumentando cada vez mais. O SIM, Sistema de Informações de Mortalidade do Ministério da Saúde, revela que, de 1996 a 2010, a quantidade de vítimas fatais do sexo feminino em acidentes cresceu 16 vezes. Já o número de homens que morreram nesses acidentes aumentou 13 vezes no mesmo período. O Ministro da Saúde, Alexandre Padilha, afirma que o País está passando por uma epidemia de acidentes de trânsito.
Levando-se em conta exclusivamente as informações contidas no texto, pode-se afirmar que, no Brasil,
Provas
Questão presente nas seguintes provas
Uma vaca adulta, de alta produção leiteira, foi levada ao hospital veterinário apresentando falta de apetite, diminuição da produção leiteira e distensão abdominal observada no quadrante superior esquerdo, cranialmente à fossa paralombar. Com base no exame físico, composto por palpação retal, percussão e auscultação do flanco esquerdo, durante a qual um som metálico “ping” pôde ser ouvido, o veterinário fechou o diagnóstico e logo iniciou o tratamento. Para tanto, realizou a descompressão abdominal por meio de punção da região do flanco esquerdo, seguida por abomasopexia. Essa cirurgia ocorreu com o animal na posição quadrupedal e o acesso foi realizado por meio da abordagem da região do flanco esquerdo.
Considerando tais informações, é possível determinar que a técnica anestésica utilizada foi a
Provas
Questão presente nas seguintes provas
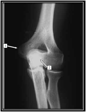
Observe a imagem.

Na radiografia do cotovelo em AP, as estruturas sinalizadas são, correta e respectivamente,
Provas
Questão presente nas seguintes provas
A investigação de hábitos alimentares, em especial aos aspectos voltados para o consumo de açúcar, pode contribuir para o direcionamento de ações voltadas à preservação da saúde bucal.
Sendo assim, assinale a alternativa correta em relação à dieta.
Provas
Questão presente nas seguintes provas
986546
Ano: 2012
Disciplina: Saúde Pública
Banca: VUNESP
Orgão: Pref. São José dos Campos-SP
Disciplina: Saúde Pública
Banca: VUNESP
Orgão: Pref. São José dos Campos-SP
Provas:
O modelo de atenção à saúde com fundamentos na vigilância da saúde tem como característica, entre outras,
Provas
Questão presente nas seguintes provas
No controle da tuberculose em animais, o Ministério da Agricultura, Pecuária e Abastecimento (MAPA) do Brasil estabelece, por meio do Programa Nacional de Controle e Erradicação da Brucelose e da Tuberculose, que a certificação das propriedades é de adesão voluntária, porém as formas de diagnóstico são definidas pelo
Provas
Questão presente nas seguintes provas
Sobre o fracionamento de medicamentos, de acordo com o art. 9.º do Decreto n.° 793, de 5 de Abril de 1993, que altera os Decretos n.º 74.170, de 10 de junho de 1974 e n.º 79.094, de 5 de janeiro de 1977, que regulamentam, respectivamente, as Leis n.º 5.991, de 17 de janeiro de 1973, e n.º 6.360, de 23 de setembro de 1976, e dá outras providências, pode-se afirmar que
Provas
Questão presente nas seguintes provas
Considere o texto para responder à questão.
Ladrão invade casas em Osasco só para “assaltar” geladeiras
Nada de dinheiro, joias ou eletrodomésticos. O bandido que tem despertado preocupação e também admiração nos moradores da Vila Quitaúna, bairro de Osasco (Grande São Paulo), quer saber mesmo é de furtar guloseimas das geladeiras de suas vítimas. Pelas contas dos moradores da região, cerca de dez casas já foram invadidas pelo ladrão esfomeado.
O jeito de agir é sempre o mesmo. Ele entra, come, troca de roupas e depois vai embora, deixando a casa desarrumada e muitos bens de valor para trás. Quando encontra alguém em casa, não é violento. Termina sua refeição e vai embora.
Na manhã de ontem, o ladrão de geladeiras pulou o muro da casa de uma bancária e entrou mesmo com o filho dela, de 10 anos, lá dentro. Chegou, abriu o refrigerador, tomou um suco direto da jarra. Depois, foi até o quarto.
“Ele disse para o meu filho que ia se trocar. Mas o menino disse que não, que no meu quarto só tinha roupas de mulher. Então, o ladrão simplesmente desistiu sem reclamar”. “Existiam coisas de valor, mas ele nem se interessou”, afirma surpresa a bancária.
Um dia antes, o excêntrico bandido havia entrado na casa do vizinho da bancária. Ele pulou um muro alto, foi à cozinha para fritar um ovo e foi embora. “Descobrimos só depois, porque ele deixou um pedaço de ovo jogado no quintal, embrulhado em um guardanapo igual aos que uso”, diz o analista de crédito. Segundo ele, no mesmo dia, o invasor foi mais uma vez até sua casa. Desta vez, abriu exceção e acabou levando R$ 20.
O criminoso passou dois dias em uma outra casa da vizinhança. Lá, ele comeu, bebeu e até chegou a sentar na laje da casa, de frente para a rua. Foi agarrado por um morador, mas fugiu.
Segundo vítimas, ele é branco, tem 1,60 m e aparenta 25 anos. A Polícia Civil não tem pistas do ladrão de geladeiras. Segundo o delegado, nenhuma das vítimas fez boletim de ocorrência.
O delegado diz que a suspeita é que o ladrão de geladeiras seja um morador de rua. “A Polícia Militar foi avisada e tem feito rondas na região”, diz o delegado.
(Folha de S. Paulo, 08.02.2008. Adaptado)
Assinale a alternativa correta sobre o texto.
Provas
Questão presente nas seguintes provas
Cadernos
Caderno Container