Foram encontradas 1.370 questões.
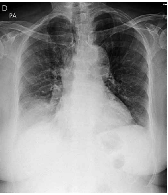
Analise a radiografia de tórax a seguir.

(Arquivo pessoal; imagem usada com autorização)
A radiografia apresenta a seguinte alteração compatível com o envelhecimento:
Provas
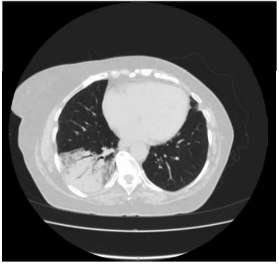
Uma paciente procura auxílio médico com uma queixa de tosse seca há 1 semana. Tem antecedente de hipertensão arterial. Entretanto, há muito tempo não procura controle médico. Ela costuma medir sua pressão arterial por meio de um esfigmomanômetro de pulso. Quando estava normal, não fez uso de hidroclorotiazida 25 mg. Regularmente toma losartana 50 mg à noite e anlodipino 5 mg pela manhã.
Ela realizou uma tomografia computadorizada de tórax:

(Arquivo pessoal; imagem usada com autorização)
Assinale a alternativa correta quanto à prescrição a ser realizada.
Provas
O valor numérico da fração algébrica \( \dfrac{x^3+2x^2-15x}{x^3-9x} \) para x = 9997 é
Provas
Sejam dois números naturais diferentes de zero, denotados por P e Q, e seja Q um múltiplo de 5. Comparando-se a quinta parte de Q, multiplicada por 15P, com o produto de P por Q, haverá, em relação a P ⋅ Q, um aumento de:
Provas
Em Polya há uma descrição do significado de demonstração por absurdo e de demonstração indireta, que são procedimentos diferentes, porém correlatos. No primeiro caso, deve-se mostrar a falsidade de uma suposição derivando dela um absurdo flagrante e, no segundo, deve-se estabelecer a verdade de uma afirmativa por revelar a falsidade da suposição oposta.
Uma demonstração matemática que tradicionalmente é feita na escola básica por absurdo é a
Provas
No livro intitulado Investigações Matemáticas na sala de aula, Ponte, Brocado e Oliveira explicitam, no capítulo sobre “A avaliação do trabalho de investigação”, dois dos diversos objetivos curriculares dos trabalhos de investigação em matemática. São eles: pretende-se que o aluno
Provas
Em Pavanello e Nogueira, as autoras citam que, na obra clássica de Caraça, são apresentadas duas formas diferentes de se conceber a matemática. São elas, a matemática como
Provas
Em Didática da Matemática, Parra e Saiz afirmam que, segundo crianças pequenas, um número é maior do que o outro porque ‘tem mais algarismos’(I) ou porque ‘o primeiro algarismo da esquerda é quem manda’(II). Tais visões das crianças, ainda que, equivocadas de forma geral no nosso sistema de numeração posicional, seriam válidas em circunstâncias específicas como, por exemplo, na comparação de números naturais
Provas
No livro Resolução de Problemas, Onuchic e outras autoras apresentam e analisam as possibilidades do seguinte problema:
Desenhe um triângulo ABC qualquer e façaoque se pede:
a) Trace uma paralela B’C’ ao lado BC internamente ao triângulo.
b) Construa, usando régua, compasso e transferidor, um triângulo PQR cujos lados medem, respectivamente, o dobro dos lados do triângulo ABC.
Que conclusões se pode tirar dos itens (a) e (b) em relação aos ângulos e lados dos triângulos ABC, AB’C’ e PQR?
(ONUCHIC, Lourdes de la Rosa; ALLEVATO, Norma Suely Gomes; NOGUTI, Fabiane Cristina Höper; JUSTULIN, Andresa Maria (org.). Resolução de Problemas: Teoria e Prática. Jundiaí: Paco, 2014)
O objetivo central da atividade proposta, segundo as autoras, é o de trabalhar com temas relacionados à
Provas
Assinale a alternativa que corresponde a uma alteração fisiológica do envelhecimento que favorece a recirculação de medicamentos.
Provas
Caderno Container