Foram encontradas 305 questões.
Um senhor, portador de hipertensão arterial, faz acompanhamento em um ambulatório de especialidades com o geriatra e o cardiologista. De acordo com a Portaria n.o 2.048/GM de 2002, em caso de crise hipertensiva (pressão arterial de 160 X 90 mmHg), esse senhor deverá ser orientado a recorrer, preferencialmente,
Provas
Questão presente nas seguintes provas
Para implantação de uma obra de saneamento, executou-se um aterro. Após a sua conclusão, foi feito o levantamento topográfico, determinando-se a área das seções transversais do maciço, conforme a tabela.
| Estaca | Área da seção (m²) |
| Aterro | |
| 369 | 272,84 |
| 370 | 521,94 |
| 371 | 353,48 |
Considerando-se um afastamento de 20 m entre as seções, o volume total executado do aterro foi de
Provas
Questão presente nas seguintes provas
Segundo a ABNT NBR 14.931, na execução de estruturas de concreto, pode-se citar, entre as tolerâncias dimensionais:
Provas
Questão presente nas seguintes provas
A questão refere-se à Portaria n.º 2 048/GM (Gabinete do Ministro) e seu Anexo, de 2002.
Durante a simulação de atendimento a uma tentativa de suicídio por envenenamento com agrotóxico, no Núcleo de Educação em Urgências, os profissionais de enfermagem são treinados para
Provas
Questão presente nas seguintes provas
A norma brasileira define os seguintes tipos de aterramentos construídos para a proteção de estruturas contra descarga atmosférica, considerando que o Arranjo “A” é reservado a estruturas pequenas, com perímetro de até 25 m, e o Arranjo “B” é adotado para estruturas com perímetro superior a 25 m.
Provas
Questão presente nas seguintes provas
Ao desenvolver cuidados de higiene e vestuário, o terapeuta ocupacional orienta a pessoa a usar a gravidade, como forma de ajuda, e ensina métodos de alavancagem corporal e uso de utensílios leves quando o paciente apresenta
Provas
Questão presente nas seguintes provas
Considerando que, para um vão de 10,00 m, teve de ser adotada uma viga de concreto armado com 0,20 m de base e 0,50 m de altura, essa deve ser calculada com
Provas
Questão presente nas seguintes provas
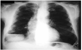
Paciente etilista, com dentes em mau estado de conservação, apresenta quadro de febre e tosse. O RX encontra-se a seguir. O tratamento mais indicado, nesse momento, é feito com

Provas
Questão presente nas seguintes provas
A Portaria n.º 1.522, de 19 de dezembro de 1989, do IBAMA, considera ameaçadas de extinção, dentre outras, as seguintes espécies:
1. Chiropotes satanas satanas (Hoffmansegg, 1807) – Família Cebidae – Nome popular: cuxiu.
2. Phaethornis superciliosus margarettae (Ruschi, 1972) – Família Trochilidae – Nome popular: besourão-de-rabobranco.
3. Eudocimus ruber (Linnaeus, 1758) – Família Threskiornithidae – Nome popular: guará.
4. Lachesis muta rhombeata (Wied, 1825) – Família Viperidae – Nome popular: surucucu.
2. Phaethornis superciliosus margarettae (Ruschi, 1972) – Família Trochilidae – Nome popular: besourão-de-rabobranco.
3. Eudocimus ruber (Linnaeus, 1758) – Família Threskiornithidae – Nome popular: guará.
4. Lachesis muta rhombeata (Wied, 1825) – Família Viperidae – Nome popular: surucucu.
Elas pertencem, respectivamente, às seguintes classes:
Provas
Questão presente nas seguintes provas
1708328
Ano: 2010
Disciplina: Engenharia Cartográfica
Banca: VUNESP
Orgão: Pref. Sorocaba-SP
Disciplina: Engenharia Cartográfica
Banca: VUNESP
Orgão: Pref. Sorocaba-SP
Provas:
A soma dos ângulos internos de uma poligonal fechada resultou 720°01’00”. Para a correta distribuição do erro de fechamento angular de 1’, será necessário, em cada vértice,
Provas
Questão presente nas seguintes provas
Cadernos
Caderno Container