Foram encontradas 1.605 questões.
Segundo SPAULDING, as áreas físicas relacionadas ao atendimento odontológico de forma direta ou indireta foram classificadas de acordo com o grau de risco. Os laboratórios de prótese são considerados:
Provas
Com relação a doença cárie julgue as proposições abaixo:
I Pode ser definida como a destruição localizada dos tecidos dentários causada pela ação bacteriana.
II A cárie não é um evento linear que leva consequentemente à cavidade ou a perda do dente. Esse processo pode ser interrompido em qualquer uma das etapas.
III O único fator considerado imprescindível para a ocorrência da doença, é a presença de um biofilme cariogênico.
Provas
Ao observar a imagem radiográfica marque qual das alternativas está incorreta:

Provas
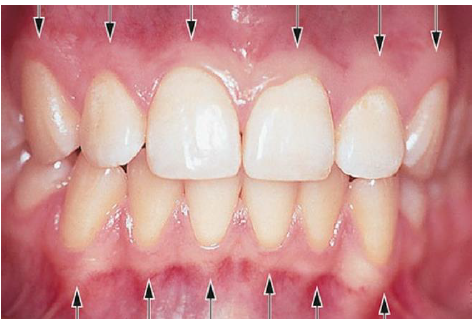
Com auxilio da figura abaixo, assinale a alternativa correta a respeito das proposições de I a IV.

I - A gengiva é a parte da mucosa mastigatória que cobre o processo alveolar e circunda a porção cervical dos dentes.
II - A gengiva consiste em uma camada epitelial e um tecido conjuntivo subjacente, chamado de lâmina própria.
III - A gengiva assume sua forma e textura definitivas em associação com a formação dos dentes. Em direção à coroa, a gengiva de cor rósea termina na margem gengival livre, que possui um contorno festonado.
IV - No sentido apical, a gengiva é contínua com a mucosa alveolar, que é frouxa e de cor vermelha mais escura, da qual em geral é separada por uma linha limitante facilmente reconhecida, chamada de junção mucogengival.
Provas
Vários fatores diferentes influenciam a etiopatogenia da periodontite crônica. A composição da microbiota oral é um fator etiológico importante que leva à destruição periodontal. Nesse contexto, o grau de destruição periodontal depende da competência imune do hospedeiro e também das predisposições genéticas que influenciam a suscetibilidade individual à doença.
Considerando os aspéctos microbiológicos relacionados as doenças periodontais, marque a alternativa correta:
Provas
As membranas são fabricadas a partir de materiais biocompatíveis, que podem ser não reabsorvíveis ou reabsorvíveis. São propriedades ideais de uma membrana EXCETO:
Provas
Condições agudas como os abscessos periodontais em paciente sem periodontite ocorrem em casos de:
Provas
A fase cirúrgica da terapia periodontal tem os seguintes objetivos principais:
Provas
Doenças ou condições sistêmicas que afetam os tecidos de suporte periodontal:
Provas
Após o diagnóstico e prognóstico terem sido estabelecidos, o tratamento é planejado. O plano de tratamento deve compreender objetivos a curto e longo prazos. Podem ser considerados objetivos a serem alcançados a curto prazo:
I A reconstrução de uma dentição saudável que preencha todas as exigências estéticas e funcionais.
II A eliminação de todo o processo infeccioso e inflamatório que causa a doença periodontal, além de outros problemas orais que prejudiquem a saúde sistêmica do paciente.
III A eliminação da inflamação gengival e na correção de condições que as causam e as perpetuam permitindo que a cavidade oral retorne ao estado dito saudável.
Assinale a alternativa correta a respeito das proposições de I a III:
Provas
Caderno Container