Foram encontradas 280 questões.
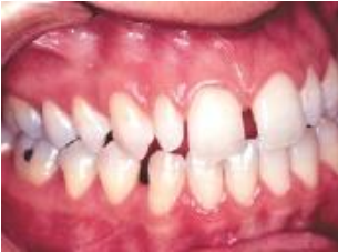
Observe a imagem, abaixo:

Fonte:
https://www.researchgate.net/publication/281574669
_Etiologia_das_mas_oclusoes_Causas_hereditarias
_e_congenitas_adquiridas_gerais_locais_e_proximai
s_habitos_bucais
À imagem, observa-se, microdontia do elemento
dental:
Provas
Disciplina: Direito Educacional e Tecnológico
Banca: CONTEMAX
Orgão: Pref. Vista Serrana-PB
Com base na lei 11497/2009, em seu artigo 16, competem à União, por meio do Fundo Nacional de Desenvolvimento da Educação - FNDE, autarquia responsável pela coordenação do Programa Nacional de Alimentação Escolar - PNAE, as seguintes atribuições:
- ________ no processo de capacitação dos recursos humanos envolvidos na execução do PNAE e no controle social.
- ________ a adoção de diretrizes e metas estabelecidas nos pactos e acordos internacionais, com vistas na melhoria da qualidade de vida dos alunos da rede pública da educação básica;
- ________ as normas gerais de planejamento, execução, controle, monitoramento e avaliação do PNAE.
Assinale a alternativa que preenche, correta e respectivamente, as lacunas dos itens:
Provas
I - Remover adesivos medicamentosos/ hormonais, caso estiverem, no local, onde são posicionadas as pás do DEA. II - Para adultos em Parada Cardiorrespiratória - PCR testemunhada quando um DEA estiver disponível de imediato, é aceitável de que o desfibrilador seja utilizado o mais cedo possível. III - Para crianças de 1 a 8 anos, recomenda-se utilizar atenuador de carga, se disponível.
Tem nível de evidência A, as recomendações apresentadas em:
Provas
Provas
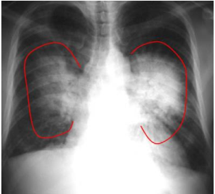
Observe a radiografia, abaixo:

Fonte: https://dapi.com.br/wp-content/uploads/2018/11/bases-radiologicas-das-doencas-toracicas.pdf
Acima, temos uma radiografia frontal de paciente portador de insuficiência cardíaca congestiva. Observa-se aumento da área cardíaca e consolidações bilaterais com padrão de “asa de borboleta”, que indica:
Provas
Provas
Provas
Provas
Com relação à Parotidite Epidêmica, considere os excertos, abaixo:
I - Doença bacteriana aguda, caracterizada por febre, dor e aumento de volume de uma ou mais glândulas salivares, com predileção pelas parótidas.
II - É doença de distribuição universal, de baixa morbidade e alta letalidade, aparecendo sob a forma endêmica ou em surtos.
III - A parotidite infecciosa costuma apresentar-se sob a forma de surtos, que acometem mais adultos e pessoas idosas.
Está correto o que se afirma em:
Provas
Provas
Caderno Container