Foram encontradas 1.555 questões.
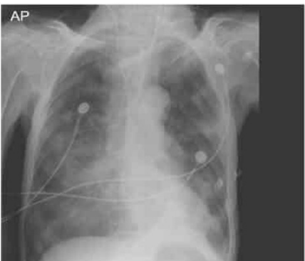
Paciente masculino, 70 anos, internado na UTI há 4 dias
com acidente vascular cerebral isquêmico, apresentou episódio
importante de aspiração alimentar. A radiografia de tórax foi
solicitada e realizada cerca de 12h após o ocorrido, sendo
observado o resultado com a imagem a seguir:

O quadro pulmonar apresentado é compatível com:

O quadro pulmonar apresentado é compatível com:
Provas
Questão presente nas seguintes provas
A.L.J., sexo masculino, 35 anos, refere dor em flanco direito
de alta intensidade com irradiação para bolsa escrotal ipsilateral
associada a calafrios, febre não aferida, náusea e vômito. Em
tomografia computadorizada, evidenciou-se cálculo de 8 mm
em estreito do cruzamento da artéria ilíaca à direita. A medida
terapêutica de escolha para esse caso é:
Provas
Questão presente nas seguintes provas
Um paciente, masculino, 65 anos, chega à emergência
com dor lancinante em região epigástrica. Ao exame: ansioso,
diaforético, assimetria de pulso radial direito e esquerdo, PA em
membro superior direito 160x100 mmHg e esquerdo de 130x80
mmHg. RX de tórax demonstra alargamento do mediastino e ECG
não apresenta alterações. Diante de um quadro de dissecção
aórtica, podemos classificar o caso desse quadro clínico como
tipo:
Provas
Questão presente nas seguintes provas
Um paciente foi submetido a intubação orotraqueal devido
a uma insuficiência respiratória decorrente de uma pneumonia
grave. Ele apresenta, no momento, lesão infecciosa em remissão,
capacidade de respirar de forma espontânea, PEEP 7cmH2O,
FiO2 0,3, PAM: 94 mmHg, FC: 78 bpm, e está há 48 h sem drogas
vasopressoras. Em relação à ventilação mecânica, a conduta
mais adequada é:
Provas
Questão presente nas seguintes provas
L. J., 37 anos, sexo feminino, hipertensa, portadora de
hipotireoidismo, chega à emergência por apresentar, há 6
dias, diplopia e ptose palpebral que pioram ao passar do dia e
melhoram ao acordar. Hoje ela referiu dificuldade para deglutição
e dificuldade para pentear o cabelo com o membro superior
esquerdo. O quadro clínico é sugestivo de:
Provas
Questão presente nas seguintes provas
O médico da unidade de terapia intensiva está diante de um
paciente jovem vítima de um TCE grave, com afundamento de
calota craniana e desvio da linha média, e deseja iniciar protocolo
de morte encefálica. Para isso, fez uma avaliação inicial em que
observou um tempo de internação hospitalar de 36h, suspensão
de drogas sedativas e vasoativas há 25h; os exames laboratoriais
demostraram hipernatremia refratária, sem demais distúrbios
hidroeletrolíticos ou ácidobásicos, e temperatura retal 32°C. O
parâmetro que precisa ser ajustado para início do protocolo de
morte encefálica é:
Provas
Questão presente nas seguintes provas
Uma criança, 11 anos, portadora de diabetes mellitus tipo
1, chega à unidade de pronto atendimento com rebaixamento
do nível de consciência, respiração de Kussmaul e hipotensão.
Prontamente, foi realizada uma gasometria arterial, sendo
compatível o seguinte resultado:
Provas
Questão presente nas seguintes provas
Pacientes em tratamento com uso de anticoagulantes, pelas
mais diversas indicações, estão sujeitos a sangramentos, desde
leves até fatais. O antídoto utilizado no paciente que faz uso de
heparina de baixo peso molecular é:
Provas
Questão presente nas seguintes provas
Ao realizar uma toracocentese de alívio, podemos aproveitar
o líquido pleural coletado para uma análise diagnóstica. A
classificação do líquido como transudativo é considerada quando
o/a:
Provas
Questão presente nas seguintes provas
Um paciente, masculino, 68 anos, diabético, hipertenso,
IAM prévio, etilista crônico, apresenta hematêmese e náusea
persistente há 02 horas iniciada após episódio intenso de vômito.
PA: 100x80 mmHg e FC: 121 bpm. Faz uso de metformina,
captopril, hidroclorotiazida, espironolactona e metoprolol.
Familiares relatam que há boa adesão à terapia medicamentosa,
mas que o paciente não segue as medidas comportamentais
indicadas pelo cardiologista, em especial relacionadas ao
consumo de álcool, sendo constantes os episódios em que o
paciente é encontrado pela manhã com as roupas cobertas de
vômitos. Podemos dizer que a principal etiologia da hematêmese
e a conduta inicial adequada são, respectivamente:
Provas
Questão presente nas seguintes provas
Cadernos
Caderno Container