Foram encontradas 40 questões.
Os danos ambientais resultantes do desenvolvimento econômico e do crescimento populacional têm levado a humanidade repensar
o seu modo de vida. Para isso, autoridades de muitos países se reuniram em fóruns mundiais dedicados a tratar globalmente dos
problemas ambientais e das possíveis soluções, que levaram ao surgimento do conceito, desenvolvimento sustentável. Uma das
ações de desenvolvimento sustentável é investir em estudos de fontes de energia renováveis para substituir gradativamente:
Provas
Questão presente nas seguintes provas
“A cadeia respiratória ocorre associada _____________________. Por meio desse processo, há transferência de hidrogênios
transportados pelo ________ e pelo _________ para o gás _______________ formando _________ e produzindo ATP.”
Assinale a alternativa que completa correta e sequencialmente a afirmativa anterior.
Provas
Questão presente nas seguintes provas
Analise as alternativas a seguir.
I. Mammalia.
II. Chordata.
III. Hominídeos.
IV. Primatas.
Os itens anteriores se referem, respectivamente, a quais categorias dentro da classificação biológica, segundo Lineu, da espécie humana?
Provas
Questão presente nas seguintes provas
Certo agricultor estava perdendo boa parte da sua plantação de feijão, devido a uma intoxicação por um composto em
excesso no solo. Ele procurou um profissional da área que o orientou ajustar o solo para que não perdesse toda a sua
plantação. Esse fato ocorreu com o agricultor, porque o solo da plantação estava com ausência de bactérias do gênero:
Provas
Questão presente nas seguintes provas
Há bactérias capazes de sintetizar substâncias orgânicas a partir de gás carbônico, água e outras substâncias inorgânica com
ausência de energia luminosa. São espécies que vivem no solo e provocam a oxidação de substâncias encontradas tanto onde
vivem quanto na água, e assim aproveitam a energia liberada para sintetizar açúcares que serão utilizados para produzir
outras substâncias orgânicas. Esse processo é conhecido por:
Provas
Questão presente nas seguintes provas
Determinado professor sorteou quatro alunos para escreverem os nomes de quatro espécies, conforme classificação de
Lineu. O aluno 1 escreveu o nome da espécie do cachorro; o aluno 2 escreveu o nome da espécie do gato; o aluno 3 escreveu
o nome da espécie do urso; e o aluno 4 o nome da espécie do cavalo; Observe:
Aluno 1: canis Familiaris Aluno 2: Felis catus Aluno 3: Ursus Maritimus Aluno 4: Equus caballus
Os alunos que escreveram corretamente os nomes das espécies, segundo a classificação de Lineu, foram:
Aluno 1: canis Familiaris Aluno 2: Felis catus Aluno 3: Ursus Maritimus Aluno 4: Equus caballus
Os alunos que escreveram corretamente os nomes das espécies, segundo a classificação de Lineu, foram:
Provas
Questão presente nas seguintes provas
A agroecologia utiliza como estratégia vários elementos básicos, uma delas é a reciclagem dos nutrientes e matéria orgânica,
como, por exemplo, a biomassa de plantas que inclui, EXCETO:
Provas
Questão presente nas seguintes provas
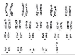
A figura apresenta um cariótipo com banda G representando uma constituição cromossômica:

Diante do exposto, assinale a afirmativa correta.
Provas
Questão presente nas seguintes provas
Um fotossistema é formado por um complexo do centro de reação, cercado por vários complexos dos coletores de luz. Sobre
esse contexto, analise as afirmativas a seguir.
I. Cada complexo do coletor de luz consiste em uma molécula de clorofila a ligada a proteínas. II. O complexo do centro de reação é uma associação de proteínas organizadas que aprisionam um par especial de moléculas de clorofila a e clorofila b. III. O complexo do centro de reação também possui uma molécula capaz de receber elétrons e tornar-se reduzida, sendo chamada de aceptor primário de elétrons.
Está correto o que se afirma apenas em
I. Cada complexo do coletor de luz consiste em uma molécula de clorofila a ligada a proteínas. II. O complexo do centro de reação é uma associação de proteínas organizadas que aprisionam um par especial de moléculas de clorofila a e clorofila b. III. O complexo do centro de reação também possui uma molécula capaz de receber elétrons e tornar-se reduzida, sendo chamada de aceptor primário de elétrons.
Está correto o que se afirma apenas em
Provas
Questão presente nas seguintes provas
O controle da respiração celular é feito por enzimas alostéricas que, em certos pontos da rota respiratória, respondem a inibidores e a ativadores que ajudam a controlar a velocidade da glicólise e do ciclo do ácido cítrico, e uma dessas enzimas é a
fosfofrutocinase:
A partir dos dados anteriores, analise as afirmativas a seguir.
I. Fosfofrutocinase é uma importante enzima que catalisa a etapa 4 da glicólise. II. À medida que o ATP acumula, há inibição da enzima fosfofrutocinase e aceleração da glicólise. III. Conforme o citrato é acumulado, a glicólise diminui e a oferta de grupos acetila ao ciclo do ácido cítrico diminui. IV. A enzima torna-se ativa novamente quando o trabalho celular converte ATP em ADP (e AMP) mais rápido do que o ATP está sendo regenerado.
Está INCORRETO o que se afirma apenas em
A partir dos dados anteriores, analise as afirmativas a seguir.
I. Fosfofrutocinase é uma importante enzima que catalisa a etapa 4 da glicólise. II. À medida que o ATP acumula, há inibição da enzima fosfofrutocinase e aceleração da glicólise. III. Conforme o citrato é acumulado, a glicólise diminui e a oferta de grupos acetila ao ciclo do ácido cítrico diminui. IV. A enzima torna-se ativa novamente quando o trabalho celular converte ATP em ADP (e AMP) mais rápido do que o ATP está sendo regenerado.
Está INCORRETO o que se afirma apenas em
Provas
Questão presente nas seguintes provas
Cadernos
Caderno Container