Magna Concursos

Foram encontradas 125 questões.

1256705 Ano: 2018
Disciplina: Medicina
Banca: AOCP
Orgão: SES-DF
Provas:
O escroto agudo, ou síndrome escrotal aguda, é caracterizado por dor súbita, com aumento do volume e hiperemia da região escrotal. Sobre as doenças que compõem essa síndrome, assinale a alternativa correta.
 

Provas

Questão presente nas seguintes provas
1256704 Ano: 2018
Disciplina: Medicina
Banca: AOCP
Orgão: SES-DF
Provas:
Paciente de 7 anos é atendido no pronto atendimento por quadro de febre, cefaleia e hipoatividade. Durante o atendimento, apresentou uma crise convulsiva e foi levado à sala de emergência, onde foi medicado, havendo melhora da crise. Foram realizadas tomografia de crânio, com alterações nas áreas dos lobos temporais, e punção liquórica, com liquor sugestivo de meningite viral. Quanto ao caso, assinale a alternativa correta.
 

Provas

Questão presente nas seguintes provas
1256703 Ano: 2018
Disciplina: Medicina
Banca: AOCP
Orgão: SES-DF
Em relação ao caso clínico apresentado na questão nº 26, é fundamental estratificar a gravidade da hepatite. A respeito do tema, assinale a alternativa correta.
 

Provas

Questão presente nas seguintes provas
1256702 Ano: 2018
Disciplina: Medicina
Banca: AOCP
Orgão: SES-DF
Paciente masculino de 60 anos, extabagista e etilista crônico, é admitido no CTI devido a quadro de inapetência, queda do estado geral, dor abdominal e icterícia. Apresenta, ao exame físico, Glasgow 13, mucosas ictéricas ++/IV e ascite leve. Pressão arterial 100x70, FC 110, FR 18. Foram solicitados exames de laboratório com os seguintes resultados: bilirrubina total 5, bilirrubina direta 4, INR 3. TGO 750; TGP 200. Creatinina 1,5. Sódio 138, Potássio 5. Sobre o caso clínico e o abuso de álcool, é correto afirmar que
 

Provas

Questão presente nas seguintes provas
1256701 Ano: 2018
Disciplina: Medicina
Banca: AOCP
Orgão: SES-DF
Provas:
RN, masculino, aparentemente a termo, nasceu de parto normal. A mãe não fez pré-natal. No atendimento na sala de parto, o RN demora para corar, permanecendo cianótico, apresenta abdome escafoide, desconforto respiratório, com murmúrio vesicular diminuído à esquerda. Quanto ao caso, é correto afirmar que
 

Provas

Questão presente nas seguintes provas
1256700 Ano: 2018
Disciplina: Medicina
Banca: AOCP
Orgão: SES-DF
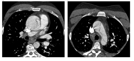
Foi admitido na UTI um paciente masculino de 53 anos devido à dor torácica de forte intensidade, dispneia, palidez e sudorese. O paciente tinha história prévia de hipertensão arterial sistêmica com uso irregular da medicação e tabagismo ativo. Dentre os exames iniciais, foi realizada uma tomografia de tórax, conforme a seguinte figura. Sobre o caso clínico, é correto afirmar que
enunciado 1256700-1
 

Provas

Questão presente nas seguintes provas
1256699 Ano: 2018
Disciplina: Medicina
Banca: AOCP
Orgão: SES-DF

Monitorização e otimização hemodinâmica sempre foram fatores importantes para o intensivista. A seguinte figura representa a inserção de um cateter de artéria pulmonar para monitorização hemodinâmica. Sobre o assunto, assinale a alternativa correta.

enunciado 1256699-1

 

Provas

Questão presente nas seguintes provas
1256698 Ano: 2018
Disciplina: Medicina
Banca: AOCP
Orgão: SES-DF

O ecocardiograma à beira leito (ECO) pode ser muito útil na sala de emergência, durante a parada cardiorrespiratória (PCR) ou na fase da perirressuscitação, sendo que o uso do ECO na avaliação inicial de pacientes com hipotensão aumenta o potencial e a rapidez de percepção entre possíveis diagnósticos diferenciais, podendo auxiliar na escolha terapêutica mais adequada e, assim, resultar em melhores resultados. O ECO já é considerado classe I para avaliação de pacientes que desenvolvem ou persistem com instabilidade hemodinâmica, e o último guideline da American Heart Association colocou o ECO como classe IIb, para avaliação inicial dos pacientes com PCR.

A figura a seguir representa qual provável etiologia para justificar uma PCR?

enunciado 1256698-1

 

Provas

Questão presente nas seguintes provas
1256697 Ano: 2018
Disciplina: Medicina
Banca: AOCP
Orgão: SES-DF
O domínio da ventilação mecânica é um dos requisitos básicos do médico intensivista. Assincronia paciente-ventilador é a incoordenação entre os esforços e as necessidades ventilatórias do paciente em relação ao que é ofertado pelo ventilador. São eventos frequentes, presentes em 10% a 80% de todos os ciclos e que se associam a prolongamento da ventilação mecânica e da internação na unidade de terapia intensiva. Sobre o assunto e a seguinte figura, assinale a alternativa correta. enunciado 1256697-1
 

Provas

Questão presente nas seguintes provas
1256696 Ano: 2018
Disciplina: Medicina
Banca: AOCP
Orgão: SES-DF
Provas:
Lactente de 8 meses iniciou quadro de rinorreia, tosse e febre baixa. Evoluiu com taquipneia, tiragem subcostal e intercostal, ausculta com sibilos e crepitações. Rx de tórax mostra hiperinsuflação torácica difusa. Há suspeita de bronquiolite aguda. Quanto ao quadro, assinale a alternativa correta.
 

Provas

Questão presente nas seguintes provas