Magna Concursos

Foram encontradas 100 questões.

3897545 Ano: 2024
Disciplina: Medicina
Banca: IADES
Orgão: SES-DF

Caso clínico para responder à questão.



Enunciado 4721109-1



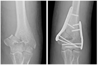
Um paciente de 30 anos de idade foi vítima de queda de árvore há cerca de um dia, sofrendo trauma no cotovelo esquerdo. Foi atendido no pronto-socorro e solicitadas as radiografias retratadas nas figuras.


O processo de consolidação óssea ocorre do(a)
 

Provas

Questão presente nas seguintes provas
3897544 Ano: 2024
Disciplina: Medicina
Banca: IADES
Orgão: SES-DF

Caso clínico para responder à questão.



Enunciado 4721108-1



Um paciente de 30 anos de idade foi vítima de queda de árvore há cerca de um dia, sofrendo trauma no cotovelo esquerdo. Foi atendido no pronto-socorro e solicitadas as radiografias retratadas nas figuras.


Considerando o princípio utilizado, espera-se que a consolidação obtida seja
 

Provas

Questão presente nas seguintes provas
3897543 Ano: 2024
Disciplina: Medicina
Banca: IADES
Orgão: SES-DF

Caso clínico para responder à questão.



Enunciado 4721107-1



Um paciente de 30 anos de idade foi vítima de queda de árvore há cerca de um dia, sofrendo trauma no cotovelo esquerdo. Foi atendido no pronto-socorro e solicitadas as radiografias retratadas nas figuras.


No referido caso clínico, para estabilização absoluta, foi utilizada a compressão interfragmentária usando parafuso
 

Provas

Questão presente nas seguintes provas
3897542 Ano: 2024
Disciplina: Medicina
Banca: IADES
Orgão: SES-DF

Caso clínico para responder à questão.



Enunciado 4721106-1



Um paciente de 30 anos de idade foi vítima de queda de árvore há cerca de um dia, sofrendo trauma no cotovelo esquerdo. Foi atendido no pronto-socorro e solicitadas as radiografias retratadas nas figuras.


No acesso cirúrgico lateral ao úmero distal, o nervo radial está localizado entre o músculo
 

Provas

Questão presente nas seguintes provas
3897541 Ano: 2024
Disciplina: Medicina
Banca: IADES
Orgão: SES-DF

Caso clínico para responder à questão.



Enunciado 4721105-1



Um paciente de 30 anos de idade foi vítima de queda de árvore há cerca de um dia, sofrendo trauma no cotovelo esquerdo. Foi atendido no pronto-socorro e solicitadas as radiografias retratadas nas figuras.


Assinale a alternativa que indica a principal ação do músculo braquial.
 

Provas

Questão presente nas seguintes provas
3897540 Ano: 2024
Disciplina: Medicina
Banca: IADES
Orgão: SES-DF

Caso clínico para responder à questão.



Enunciado 4721104-1



Um paciente de 30 anos de idade foi vítima de queda de árvore há cerca de um dia, sofrendo trauma no cotovelo esquerdo. Foi atendido no pronto-socorro e solicitadas as radiografias retratadas nas figuras.


O músculo braquial é inervado pelos nervos
 

Provas

Questão presente nas seguintes provas
3897539 Ano: 2024
Disciplina: Medicina
Banca: IADES
Orgão: SES-DF

Caso clínico para responder à questão.



Enunciado 4721103-1



Um paciente de 30 anos de idade foi vítima de queda de árvore há cerca de um dia, sofrendo trauma no cotovelo esquerdo. Foi atendido no pronto-socorro e solicitadas as radiografias retratadas nas figuras.


A inserção do músculo braquial ocorre na(o)
 

Provas

Questão presente nas seguintes provas
3897538 Ano: 2024
Disciplina: Medicina
Banca: IADES
Orgão: SES-DF

Caso clínico para responder à questão.



Enunciado 4721102-1



Um paciente de 30 anos de idade foi vítima de queda de árvore há cerca de um dia, sofrendo trauma no cotovelo esquerdo. Foi atendido no pronto-socorro e solicitadas as radiografias retratadas nas figuras.


No úmero, o músculo braquial tem origem nos dois terços
 

Provas

Questão presente nas seguintes provas
3897537 Ano: 2024
Disciplina: Medicina
Banca: IADES
Orgão: SES-DF

Caso clínico para responder à questão.



Enunciado 4721101-1



Um paciente de 30 anos de idade foi vítima de queda de árvore há cerca de um dia, sofrendo trauma no cotovelo esquerdo. Foi atendido no pronto-socorro e solicitadas as radiografias retratadas nas figuras.


No acesso cirúrgico posterior para o tratamento dessa fratura, a estrutura anatômica que deve ser dissecada e afastada para evitar sua tração é o nervo
 

Provas

Questão presente nas seguintes provas
3897536 Ano: 2024
Disciplina: Medicina
Banca: IADES
Orgão: SES-DF

Caso clínico para responder à questão.



Enunciado 4721100-1



Um paciente de 30 anos de idade foi vítima de queda de árvore há cerca de um dia, sofrendo trauma no cotovelo esquerdo. Foi atendido no pronto-socorro e solicitadas as radiografias retratadas nas figuras.


De acordo com a classificação AO, trata-se de uma fratura
 

Provas

Questão presente nas seguintes provas