Magna Concursos

Foram encontradas 100 questões.

3897515 Ano: 2024
Disciplina: Medicina
Banca: IADES
Orgão: SES-DF

Enunciado 4721079-1

Essa figura mostra um exemplo de implante para osteotomia

 

Provas

Questão presente nas seguintes provas
3897514 Ano: 2024
Disciplina: Medicina
Banca: IADES
Orgão: SES-DF

Caso clínico para responder à questão.


Enunciado 4721078-1

Uma paciente de 63 anos de idade compareceu ao consultório queixando-se de dor nos joelhos há cerca de cinco anos. Nega trauma. Refere que a dor começou a piorar nos últimos três meses. Relata ainda diabetes mellitus, e que seu joelho começou a entortar (sic) e que, quando acorda, o seu joelho frequentemente está rígido.

Qual é a medida aproximada do ângulo formado entre o eixo mecânico do membro inferior e o eixo anatômico do fêmur?
 

Provas

Questão presente nas seguintes provas
3897513 Ano: 2024
Disciplina: Medicina
Banca: IADES
Orgão: SES-DF

Caso clínico para responder à questão.


Enunciado 4721077-1

Uma paciente de 63 anos de idade compareceu ao consultório queixando-se de dor nos joelhos há cerca de cinco anos. Nega trauma. Refere que a dor começou a piorar nos últimos três meses. Relata ainda diabetes mellitus, e que seu joelho começou a entortar (sic) e que, quando acorda, o seu joelho frequentemente está rígido.

O realinhamento do membro inferior é muito importante para o sucesso do tratamento cirúrgico. Normalmente o eixo mecânico do membro inferior é formado por uma linha que passa pelo centro
 

Provas

Questão presente nas seguintes provas
3897512 Ano: 2024
Disciplina: Medicina
Banca: IADES
Orgão: SES-DF

Caso clínico para responder à questão.


Enunciado 4721076-1

Uma paciente de 63 anos de idade compareceu ao consultório queixando-se de dor nos joelhos há cerca de cinco anos. Nega trauma. Refere que a dor começou a piorar nos últimos três meses. Relata ainda diabetes mellitus, e que seu joelho começou a entortar (sic) e que, quando acorda, o seu joelho frequentemente está rígido.

Assinale a alternativa que corresponde ao tratamento mais apropriado para o caso clínico exposto.
 

Provas

Questão presente nas seguintes provas
3897511 Ano: 2024
Disciplina: Medicina
Banca: IADES
Orgão: SES-DF

Caso clínico para responder à questão.


Enunciado 4721075-1

Uma paciente de 63 anos de idade compareceu ao consultório queixando-se de dor nos joelhos há cerca de cinco anos. Nega trauma. Refere que a dor começou a piorar nos últimos três meses. Relata ainda diabetes mellitus, e que seu joelho começou a entortar (sic) e que, quando acorda, o seu joelho frequentemente está rígido.

Outra classificação muito difundida dessa doença é a descrita por Ahlbäck. Segundo esse autor, classifica-se a radiografia representada na figura da questão 25 como grau:
 

Provas

Questão presente nas seguintes provas
3897510 Ano: 2024
Disciplina: Medicina
Banca: IADES
Orgão: SES-DF

Caso clínico para responder à questão.


Enunciado 4721074-1

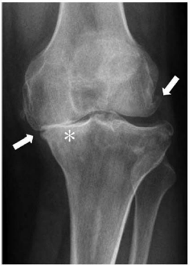
Uma paciente de 63 anos de idade compareceu ao consultório queixando-se de dor nos joelhos há cerca de cinco anos. Nega trauma. Refere que a dor começou a piorar nos últimos três meses. Relata ainda diabetes mellitus, e que seu joelho começou a entortar (sic) e que, quando acorda, o seu joelho frequentemente está rígido.

Enunciado 4721074-2

Considere que a paciente do caso clínico relatado realizou o exame representado na figura. De acordo com a classificação de Kellgren e Lawrence, trata-se do grau
 

Provas

Questão presente nas seguintes provas
3897509 Ano: 2024
Disciplina: Medicina
Banca: IADES
Orgão: SES-DF

Caso clínico para responder à questão.


Enunciado 4721073-1

Uma paciente de 63 anos de idade compareceu ao consultório queixando-se de dor nos joelhos há cerca de cinco anos. Nega trauma. Refere que a dor começou a piorar nos últimos três meses. Relata ainda diabetes mellitus, e que seu joelho começou a entortar (sic) e que, quando acorda, o seu joelho frequentemente está rígido.

A classificação radiográfica Kellgren e Lawrence se baseia em três parâmetros que são
 

Provas

Questão presente nas seguintes provas
3897508 Ano: 2024
Disciplina: Medicina
Banca: IADES
Orgão: SES-DF

Caso clínico para responder à questão.


Enunciado 4721072-1

Uma paciente de 63 anos de idade compareceu ao consultório queixando-se de dor nos joelhos há cerca de cinco anos. Nega trauma. Refere que a dor começou a piorar nos últimos três meses. Relata ainda diabetes mellitus, e que seu joelho começou a entortar (sic) e que, quando acorda, o seu joelho frequentemente está rígido.

No caso clínico descrito, o sintoma mais frequentemente encontrado é
 

Provas

Questão presente nas seguintes provas
3897507 Ano: 2024
Disciplina: Medicina
Banca: IADES
Orgão: SES-DF

Caso clínico para responder à questão.


Enunciado 4721071-1

Uma paciente de 63 anos de idade compareceu ao consultório queixando-se de dor nos joelhos há cerca de cinco anos. Nega trauma. Refere que a dor começou a piorar nos últimos três meses. Relata ainda diabetes mellitus, e que seu joelho começou a entortar (sic) e que, quando acorda, o seu joelho frequentemente está rígido.

Assinale a alternativa que indica o exame de imagem de escolha para avaliação inicial desse caso clínico.
 

Provas

Questão presente nas seguintes provas
3897506 Ano: 2024
Disciplina: Medicina
Banca: IADES
Orgão: SES-DF

Caso clínico para responder à questão.


Enunciado 4721070-1

Uma paciente de 63 anos de idade compareceu ao consultório queixando-se de dor nos joelhos há cerca de cinco anos. Nega trauma. Refere que a dor começou a piorar nos últimos três meses. Relata ainda diabetes mellitus, e que seu joelho começou a entortar (sic) e que, quando acorda, o seu joelho frequentemente está rígido.

Nesse caso clínico, a principal hipótese diagnóstica é
 

Provas

Questão presente nas seguintes provas