Foram encontradas 1.980 questões.
Sobre os pólipos da vesícula biliar, assinale a alternativa incorreta.
Provas
Sobre a avaliação nutricional na doença renal crônica, assinale a alternativa incorreta.
Provas
Com base no caso clínico abaixo, responda as questões 70,71 e 72.
__Paciente de 4 anos com encefalopatia anóxica não progressiva, apresenta sialorréia importante. Você é chamado para avaliá-lo quanto às terapêuticas a serem instituídas.
O mesmo paciente foi avaliado por você e você verifica que ela se sente no chão quando colocada, mas tem dificuldade de manter alinhamento sem o uso das mãos para apoio. Locomove-se em curtas distâncias engatinhando. Assinale a alternativa correta quanto a sua classificação GMFCS (Gross Motor Function Scale).
Provas
Assinale a alternativa que melhor descreve os achados tomográficos do acometimento hepático pela sarcoidose.
Provas
Com base no caso clínico abaixo, responda as questões 70,71 e 72.
__Paciente de 4 anos com encefalopatia anóxica não progressiva, apresenta sialorréia importante. Você é chamado para avaliá-lo quanto às terapêuticas a serem instituídas.
Dentre as várias medidas possíveis de tratamento, analise as afirmativas abaixo e dê valores Verdadeiro (V) ou Falso (F).
( ) Amitriptilina.
( ) Escopolamina transdérmica.
( ) Atropina.
( ) Toxina botulínica do tipo A.
Assinale a alternativa que apresenta a sequência correta de cima para baixo.
Provas
Assinale a alternativa que apresenta a tríade clássica da hemoglobinúria paroxística noturna.
Provas
Sobre suplementação vitamínica na doença renal crônica, analise as afirmativas abaixo. Considere as mais recentes diretrizes do Kidney Disease Outcomes Quality Initiative (KDOQI).
I. Em adultos com DRC 1-5D ou pós-transplante que têm em risco de deficiência de vitamina C, é razoável considerar a suplementação para atender à ingestão recomendada de pelo menos 90 mg/d para homens e 75 mg/d para mulheres.
II. Em adultos com DRC 3-5D ou pós-transplante que têm hiperomocisteinemia associada à doença renal, recomenda-se suplementar rotineiramente o folato.
III. Recomenda-se não suplementar rotineiramente vitaminas do complexo B, uma vez que não há evidências que demonstrem redução de desfechos adversos.
Estão corretas as afirmativas:
Provas
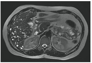
Analise a imagem de ressonância magnética ponderada em T2 e assinale o diagnóstico mais provável:

Provas
Assinale a alternativa que apresenta o mecanismo de ação do anticoagulante dabigatrana.
Provas
As doses alvo diárias das medicações para tratamento efetivo de Demência da Doença de Alzheimer em fase moderada são:
Provas
Caderno Container