Foram encontradas 1.980 questões.
Mulher, 50 anos, procurando atendimento médico ambulatorial com queixa de dor em choque na face à direita. Relata que a dor é desencadeada pelo ato de mastigar ou escovar os dentes. Iniciado tratamento com carbamazepina 900mg/dia sem resposta clínica adequada. A respeito do quadro descrito, assinale a alternativa correta a respeito da artéria mais frequentemente envolvida nos quadros compressivos trigeminais.
Provas
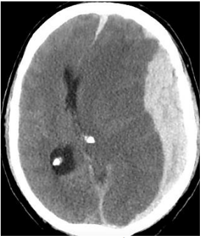
Homem, 70 anos vítima de queda do telhado (3 metros de altura) com trauma craniano seguido de perda da consciência no local. Trazido pelo Serviço de Atendimento Médico de Urgência (SAMU) à sala de trauma de hospital terciário. Admitido pela equipe do trauma em Glasgow 10, anisocoria com pupila esquerda maior que direita. Frente o quadro do paciente e a tomografia de crânio abaixo (figura 4), assinale a alternativa que contenha a conduta correta a ser tomada.

Figura 4 tomografia de crânio sem contraste
Provas
Criança, 18 meses, levada a consulta de rotina na Unidade Básica de Saúde.
Durante a avaliação a mãe relata que a criança estava se desenvolvendo bem, andando, no entanto, há 2 meses parou de andar, está inapetente e por vezes vomita.
Em seu histórico de saúde: nascido a termo, parto vaginal, apgar 9/10, sem intercorrências gestacionais ou periparto. Vacinação adequada para a idade.
Durante o exame físico criança alerta, chorosa, fontanela anterior abaulada, aumento do perímetro cefálico.
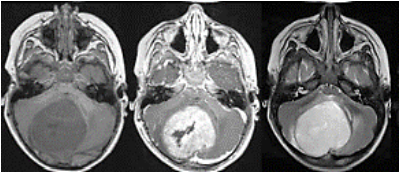
Encaminhado a um pronto socorro pediátrico aonde foi submetido a ressonância nuclear magnética (RNM – figura 3):

Figura 3 RNM de crânio
Assinale a alternativa correta a respeito do quadro da paciente.
Provas
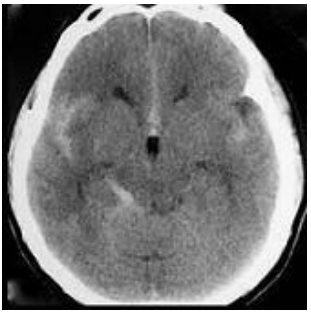
Homem, 33 anos, atleta, apresentando mal estar após cefaléia súbita intensa (escore 8/10) durante prática de salto com vara. Foi trazido ao pronto socorro por sua equipe, já recuperado do mal estar, porém com desorientação temporo-espacial e leve rigidez de nuca. Negavam trauma cranioencefálico. Os exames laboratoriais não demonstraram nenhuma alteração. Submetido a tomografia de crânio que demonstra hemorragia subaracnóidea (HSA) (figura 2).

Figura 2 Tomografia de crânio
Diante do exposto, assinale a alternativa que apresenta a classificação clínica e radiológica desse paciente.
Provas
Mulher, 69 anos, previamente diabética e hipertensa, procurando atendimento médico ambulatorial ao apresentar tremor, dificuldade para andar e infecções urinárias de repetição devido a incontinência urinária há 6 meses. Ao exame: PA: 120x70mmHg, FC 88bpm, SatO2 96%, corada, hidratada, eupneica, Vigil, desorientada no tempo e orientada no espaço, marcha magnética, tremor de predomínio a direita. Assinale a alternativa que representa a hipótese diagnóstica correta.
Provas
Paciente, 32 anos, vítima de acidente automobilístico carro versus caminhão com trauma de crânio grave. Foi intubado e transportado para o pronto socorro. Admitido em sala de emergência sob sedação e ventilação mecânica, com pupilas isocóricas e mióticas. TC de crânio mostrou hemorragia subaracnoidea traumática. Optado pela realização uma cirurgia de emergência para implante de monitor de Pressão Intracraniana (PIC) intraparenquimatosa. Paciente apresentava uma Pressão Arterial Média (PAM) de 80mmHg e uma pressão intracraniana de 30mmHg. Assinale a alternativa correta a respeito da conduta mais adequada a ser tomada.
Provas
Desde o advento da radioterapia de crânio total até o surgimento da radiocirurgia diversas patologias intracranianas tem indicação de tratamento através dessas técnicas. A previne .
Assinale a alternativa que preencha correta e respectivamente as lacunas.
Provas
Mulher, 70 anos, recentemente diagnosticada com meningioma de goteira olfatória, sendo encaminhada para avaliação neurocirúrgica.
Assinale a alternativa que apresenta achados clínicos frequentemente encontrados em pacientes com esse diagnóstico.
Provas
Homem, 68 anos, apresentando tetraparesia grau IV com sinais de liberação piramidal, submetido a Ressonância Nuclear Magnética (RNM) a qual demonstra patologia disco osteofitária C5-C6 e C6-C7 com mielopatia adjacente, associada a perda retificação da coluna cervical. A respeito da via de acesso cirúrgico indicada para tratamento dessa mielopatia espondilótica cervical, assinale a alternativa correta.
Provas
Paciente vítima de politrauma durante salto de paraquedas. Apresenta na admissão Glasgow 15, paraparesia com força muscular grau II, nível sensitivo T12, reflexo bulbo cavernoso ausente. Submetido a tomografia de colunas cervical, torácica e lombar. A respeito dos critérios de instabilidade de coluna vertebral, assinale a alternativa incorreta.
Provas
Caderno Container