Foram encontradas 3.053 questões.
Segundo a diretriz nacional mais recente sobre o tema, a melhor
recomendação para a utilização de biópsia endomiocárdica no
contexto de miocardite, é:
Provas
Questão presente nas seguintes provas
Baseado na Diretriz de Miocardites da Sociedade Brasileira de
Cardiologia, de 2022, em um paciente com suspeita diagnóstica
baixa para miocardite e baixo risco, a conduta mais adequada é:
Provas
Questão presente nas seguintes provas
Paciente homem, 57 anos, previamente hipertenso, diabético,
tabagista, com dor retroesternal em caráter de queimação,
irradiando para membro superior esquerdo, iniciada em repouso
há 30 minutos, atenuada parcialmente após uso de dinitrato de
isossorbida. Durante o atendimento no prontoatendimento,
troponina ultrassenssível com curva enzimática positiva.
Durante a internação realizou cineangiocoronariografia:

BRAUNWALD. Tratado de Doenças Cardiovasculares. 9ª Ed. Fig. 58-10; pág.1309.
O diagnóstico e a artéria acometida são, respectivamente.
Durante a internação realizou cineangiocoronariografia:

BRAUNWALD. Tratado de Doenças Cardiovasculares. 9ª Ed. Fig. 58-10; pág.1309.
O diagnóstico e a artéria acometida são, respectivamente.
Provas
Questão presente nas seguintes provas
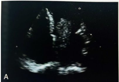
Paciente mulher, de 40 anos, sem comorbidades conhecidas,
chega à avaliação cardiológica com relato de tontura, tosse e
dispneia aos pequenos esforços iniciados há aproximadamente 1
mês.
Na consulta, traz imagem de ecocardiograma transtorácico, corte quatro câmaras, com descrição de massa em átrio esquerdo com densidade homogênea, contornos irregulares, móvel, com fixação em septo interatrial, projetando-se para cavidade do ventrículo esquerdo:

BRAUNWALD. Tratado de Doenças Cardiovasculares. 9ª Ed. Figura 74-1; página 1681.
Baseado no quadro clínico, na imagem apresentada e no diagnóstico mais provável, para as afirmativas a seguir, assinale (V) para a verdadeira e (F) para a falsa.
( ) É o tipo mais comum de tumor cardíaco primário. ( ) 90% dos casos está associado à ocorrência em pessoas da mesma família. ( ) A maioria dos pacientes se apresenta de forma assintomática. ( ) A maioria das lesões ocorre em mulheres.
As afirmativas são, respectivamente,
Na consulta, traz imagem de ecocardiograma transtorácico, corte quatro câmaras, com descrição de massa em átrio esquerdo com densidade homogênea, contornos irregulares, móvel, com fixação em septo interatrial, projetando-se para cavidade do ventrículo esquerdo:

BRAUNWALD. Tratado de Doenças Cardiovasculares. 9ª Ed. Figura 74-1; página 1681.
Baseado no quadro clínico, na imagem apresentada e no diagnóstico mais provável, para as afirmativas a seguir, assinale (V) para a verdadeira e (F) para a falsa.
( ) É o tipo mais comum de tumor cardíaco primário. ( ) 90% dos casos está associado à ocorrência em pessoas da mesma família. ( ) A maioria dos pacientes se apresenta de forma assintomática. ( ) A maioria das lesões ocorre em mulheres.
As afirmativas são, respectivamente,
Provas
Questão presente nas seguintes provas
Sobre as síndromes aórticas agudas, é indicação de terapia
cirúrgica
Provas
Questão presente nas seguintes provas
Segundo a Diretriz Brasileira de Dispositivos Cardíacos Eletrônicos
Implantáveis – 2023, assinale a melhor indicação para terapia de
ressincronização cardíaca, entre as listadas a seguir.
Provas
Questão presente nas seguintes provas
Chega à emergência paciente mulher, de 70 anos, previamente
coronariopata, doença renal crônica, hipertensão de difícil
controle, diabética, queixando-se de “fraqueza muscular e
cansaço”. Alega que em última consulta, o médico assistente
aumentou da dose de alguma medicação e introdução de outra
para tentar melhor controle de níveis pressóricos, porém não se
recorda quais.
Eletrocardiograma de admissão (Dia 1) e de 1 dia após medidas terapêuticas (Dia 2).

BRAUNWALD . Tratado de Doenças Cardiovasculares. 9ª Ed. Fig. 13-49; pág. 169.
Com base no traçado eletrocardiográfico, o distúrbio hidroeletrolítico mais provável desse paciente, é
Eletrocardiograma de admissão (Dia 1) e de 1 dia após medidas terapêuticas (Dia 2).

BRAUNWALD . Tratado de Doenças Cardiovasculares. 9ª Ed. Fig. 13-49; pág. 169.
Com base no traçado eletrocardiográfico, o distúrbio hidroeletrolítico mais provável desse paciente, é
Provas
Questão presente nas seguintes provas
Durante investigação de um paciente com episódios de síncopes,
temos o seguinte padrão de Teste de inclinação (Tilt Test):

BRAUNWALD. Tratado de Doenças Cardiovasculares. 9ª Ed. Figura 94-2; página 2008.
Com o padrão apresentando, o diagnóstico mais provável é

BRAUNWALD. Tratado de Doenças Cardiovasculares. 9ª Ed. Figura 94-2; página 2008.
Com o padrão apresentando, o diagnóstico mais provável é
Provas
Questão presente nas seguintes provas
Paciente com estenose aórtica e ecocardiograma transtorácico
demonstra área valvar aórtica de 0,7cm²; FE: 40% e gradiente
médio de 35mmHg.
O mais importante exame complementar a ser solicitado para prosseguimento de elucidação da valvopatia, é:
O mais importante exame complementar a ser solicitado para prosseguimento de elucidação da valvopatia, é:
Provas
Questão presente nas seguintes provas
Paciente do ambulatório de valvopatias, homem, de 82 anos,
possui um rico exame físico: sopro auscultado em todos os focos,
porém com maior intensidade em foco aórtico acessório, sendo
ejetivo com pico telessistólico, reduzindo de intensidade com
manobra de Valsalva; pulso carotídeo de baixa amplitude, porém
duradouro, e hipofonese de B2.
Com base no exame físico cardiológico desse paciente, provavelmente trata-se de valvopatia
Com base no exame físico cardiológico desse paciente, provavelmente trata-se de valvopatia
Provas
Questão presente nas seguintes provas
Cadernos
Caderno Container