Foram encontradas 3.053 questões.
Paciente de 48 anos acompanhado no ambulatório de valvopatias,
com história prévia de prolapso de valva mitral, evoluindo com
dispneia ao regar as plantas de seu jardim e colocar as roupas no
varal, apesar de tratamento clínico otimizado e os seguintes
achados no ecocardiograma:
Prolapso mitral com acometimento de folheto posterior; aparato valvar sem calcificação; área de orifício regurgitante de 0,4cm²; vena contracta 0,7cm; área do jato/área do AE de 45%; FE: 55% (Simpson).
Baseado no quadro descrito, a melhor conduta terapêutica a aprogramar, seria
Prolapso mitral com acometimento de folheto posterior; aparato valvar sem calcificação; área de orifício regurgitante de 0,4cm²; vena contracta 0,7cm; área do jato/área do AE de 45%; FE: 55% (Simpson).
Baseado no quadro descrito, a melhor conduta terapêutica a aprogramar, seria
Provas
Questão presente nas seguintes provas
Você está de plantão em um grande serviço de emergência e chega
uma paciente com a seguinte história: mulher, 64 anos,
previamente hipertensa, dislipidêmica, com queixa de dor
retroesternal, de caráter opressivo, associada à dispneia. Refere
discussão com familiares ocorrida há dois dias.
Eletrocardiograma de admissão: ritmo sinusal; eixo QRS normal; com supradesnivelamento do segmento ST de 1mm em D1, aVF, V5 e V6.
Ecocardiograma transtorácico demonstrou acinesia apical e hipocinesia dos segmentos médios, com hipercinesia de segmentos basais, além de disfunção moderada à grave do ventrículo esquerdo.
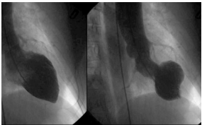
Ventriculografia a seguir:
CARABALLO, K Editoriales Sociedad Interamericana de Cardiología. 15.04.19.
Sobre o caso clínico apresentado e a principal hipótese diagnóstica, para as afirmações a seguir, assinale (V) para a verdadeira e (F) para a falsa.
( ) As anormalidades de parede, ao ecocardiograma, podem acometer território de mais de uma coronária. ( ) Pode ocorrer aumento dos níveis da troponina sérica. ( ) Um gatilho de estresse físico ou emocional está presente na maioria dos pacientes, mas não é obrigatório para o diagnóstico. ( ) A ressonância magnética cardíaca é necessária para o diagnóstico.
As afirmativas são, respectivamente,
Eletrocardiograma de admissão: ritmo sinusal; eixo QRS normal; com supradesnivelamento do segmento ST de 1mm em D1, aVF, V5 e V6.
Ecocardiograma transtorácico demonstrou acinesia apical e hipocinesia dos segmentos médios, com hipercinesia de segmentos basais, além de disfunção moderada à grave do ventrículo esquerdo.
Ventriculografia a seguir:

CARABALLO, K Editoriales Sociedad Interamericana de Cardiología. 15.04.19.
Sobre o caso clínico apresentado e a principal hipótese diagnóstica, para as afirmações a seguir, assinale (V) para a verdadeira e (F) para a falsa.
( ) As anormalidades de parede, ao ecocardiograma, podem acometer território de mais de uma coronária. ( ) Pode ocorrer aumento dos níveis da troponina sérica. ( ) Um gatilho de estresse físico ou emocional está presente na maioria dos pacientes, mas não é obrigatório para o diagnóstico. ( ) A ressonância magnética cardíaca é necessária para o diagnóstico.
As afirmativas são, respectivamente,
Provas
Questão presente nas seguintes provas
Mulher de 39 anos, negra, história prévia de hipertensão arterial e
obesidade, com dispneia progressiva aos esforços há duas
semanas. Teve um parto cesáreo há 2 meses por complicações. Ao
exame físico edema periférico 2+/4+, estertores pulmonares em
bases. Perfil laboratorial com peptídeo natriurético (NT-proBNP) é
de 5.200 pg/mL (valor normal: < 300 pg/mL) e ecocardiograma
com dilatação do ventrículo esquerdo e fração de ejeção de VE de
25%. Levantou-se hipótese de miocardiopatia periparto.
Sobre este diagnóstico, para possíveis fatores de risco (independentemente da presença no caso clínico descrito), assinale (V) para o verdadeiro e (F) para o falso.
( ) Idade materna > 35 anos. ( ) Multiparidade (> 3 partos). ( ) Raça negra. ( ) Cesariana.
Os fatores de risco listados são, respectivamente,
Sobre este diagnóstico, para possíveis fatores de risco (independentemente da presença no caso clínico descrito), assinale (V) para o verdadeiro e (F) para o falso.
( ) Idade materna > 35 anos. ( ) Multiparidade (> 3 partos). ( ) Raça negra. ( ) Cesariana.
Os fatores de risco listados são, respectivamente,
Provas
Questão presente nas seguintes provas
Paciente de 47 anos, homem, sem acompanhamento médico
regular, apresenta há 1 mês e meio edema de membros inferiores
3+/4+, dispneia progressiva aos esforços, no momento aos
mínimos esforços. Há 2 semanas apresenta “tontura” ao se
levantar rapidamente da cama. Hoje, refere palpitação e procura
serviço de pronto atendimento.
Ao Exame físico: ritmo cardíaco irregular, com FC: 115 bpm; PA: 106 x 68 mmHg; FR 22 irpm; SpO2: 98%. Presença de turgência jugular patológica, estertores crepitantes em bases pulmonares. Ao exame do abdome: fígado palpável a 4,0 cm do rebordo costal e ascite.
Eletrocardiograma: fibrilação atrial, complexo QRS de baixa voltagem.
Ecocardiograma transtorácico com as seguintes imagens:

Braunwald – Tratado de Doenças Cardiovasculares – 9ª Ed. Cap. 15. Figura 15-78.
Baseado no caso clínico descrito, o diagnóstico mais provável é
Ao Exame físico: ritmo cardíaco irregular, com FC: 115 bpm; PA: 106 x 68 mmHg; FR 22 irpm; SpO2: 98%. Presença de turgência jugular patológica, estertores crepitantes em bases pulmonares. Ao exame do abdome: fígado palpável a 4,0 cm do rebordo costal e ascite.
Eletrocardiograma: fibrilação atrial, complexo QRS de baixa voltagem.
Ecocardiograma transtorácico com as seguintes imagens:

Braunwald – Tratado de Doenças Cardiovasculares – 9ª Ed. Cap. 15. Figura 15-78.
Baseado no caso clínico descrito, o diagnóstico mais provável é
Provas
Questão presente nas seguintes provas
Paciente homem, 21 anos, encaminhado pela dermatologista para
o ambulatório de cardiologia por presença de lesões tuberosas, de
coloração amarelada, em cotovelos e calcanhares, além de
colesterol total de 370mg/dL e LDL-c 185mg/dL.
Baseado no caso clínico e no critério diagnóstico Dutch Lipid Clinic Network, para diagnóstico de certeza da suspeita diagnóstica mais provável, precisa-se de
Baseado no caso clínico e no critério diagnóstico Dutch Lipid Clinic Network, para diagnóstico de certeza da suspeita diagnóstica mais provável, precisa-se de
Provas
Questão presente nas seguintes provas
No infarto agudo do miocárdio com supradesnivelamento do
segmento ST, é contraindicação absoluta para o uso de
fibrinolítico:
Provas
Questão presente nas seguintes provas
Sobre Suporte Avançado de Vida Cardiovascular, analise os itens a
seguir.
I. Durante as manobras de reanimação cardiopulmonar (RCP), deve-se comprimir o tórax com força (pelo menos 5,0cm) e rapidez (100-120/min). II. Quando houver via aérea avançada, deve-se manter relação compressão-ventilação de 30:2. III. Durante a RCP de um ritmo chocável, após o terceiro choque deve-se manter as manobras e administrar 300mg de amiodarona. IV. Durante uma parada cardiorrespiratória, assim que se determina um ritmo chocável, deve-se realizar a cardioversão elétrica.
Está correto o que se afirma em
I. Durante as manobras de reanimação cardiopulmonar (RCP), deve-se comprimir o tórax com força (pelo menos 5,0cm) e rapidez (100-120/min). II. Quando houver via aérea avançada, deve-se manter relação compressão-ventilação de 30:2. III. Durante a RCP de um ritmo chocável, após o terceiro choque deve-se manter as manobras e administrar 300mg de amiodarona. IV. Durante uma parada cardiorrespiratória, assim que se determina um ritmo chocável, deve-se realizar a cardioversão elétrica.
Está correto o que se afirma em
Provas
Questão presente nas seguintes provas
Homem, 50 anos, assintomático, com a seguinte história
patológica pregressa: diabetes melito tipo 2, aneurisma de aorta
abdominal, com última dosagem sérica de LDL-c de 150mg/dL.
Baseado nesse caso clínico e nos seus conhecimentos sobre as Diretrizes Brasileiras mais recentes de Dislipidemia e Prevenção da Aterosclerose, o alvo sérico de LDL-c e o melhor esquema terapêutico dos expostos são, respectivamente,
Baseado nesse caso clínico e nos seus conhecimentos sobre as Diretrizes Brasileiras mais recentes de Dislipidemia e Prevenção da Aterosclerose, o alvo sérico de LDL-c e o melhor esquema terapêutico dos expostos são, respectivamente,
Provas
Questão presente nas seguintes provas
Um paciente homem, de 22 anos, vem à consulta para esclarecer
até quando necessitará fazer profilaxia por ter história prévia de
febre reumática, diagnosticada há 1 ano atrás. Traz um laudo de
ecocardiograma transtorácico da data do diagnóstico com relato
de regurgitação mitral moderada, com cavidades normais, função
biventricular dentro da normalidade.
Exame físico atual dentro da normalidade, ausculta cardíaca normal, sem sopros. Ecocardiograma transtorácico, realizado durante a consulta, dentro da normalidade.
A resposta correta que você deve dar ao paciente sobre o tempo total, após o surto, que ele necessita de profilaxia secundária é:
Exame físico atual dentro da normalidade, ausculta cardíaca normal, sem sopros. Ecocardiograma transtorácico, realizado durante a consulta, dentro da normalidade.
A resposta correta que você deve dar ao paciente sobre o tempo total, após o surto, que ele necessita de profilaxia secundária é:
Provas
Questão presente nas seguintes provas
As alterações hemodinâmicas durante a gravidez são profundas e já começam no primeiro trimestre.
Sobre as alterações hemodinâmicas esperadas durante a gravidez, assinale a afirmativa correta.
Provas
Questão presente nas seguintes provas
Cadernos
Caderno Container