Foram encontradas 493 questões.
Paciente, 31 anos, quartigesta, na 6ª semana de gravidez com queixa de sangramento genital há 20 dias, com piora
há 12 horas. Ao exame encontrava-se com estado geral bom, hipocorada (+/4+), acianótica, consciente e orientada.
Pressão arterial de 120 x 80 mmHg. Frequência cardíaca de 98 bpm. Abdome plano depressível e indolor, sem
massas palpáveis e ausência de sinais de irritação peritoneal. Submetida a exame ultrassonográfico transvaginal
com a imagem abaixo, revelando saco gestacional dentro de cavidade uterina, de contorno regular, em topografia de
istmocele.
Assinale a alternativa que representa um fator de risco para a hipótese diagnóstica.
Assinale a alternativa que representa um fator de risco para a hipótese diagnóstica.
Provas
Questão presente nas seguintes provas
Assinale a alternativa que representa a mais frequente e principal característica do estreito superior da bacia
ginecoide.
Provas
Questão presente nas seguintes provas
No cuidado peri-operatório, é importante entender a distribuição e volumes dos líquidos corporais. Num paciente
de 70 kg, qual o volume de água extracelular no espaço intersticial (fora dos vasos)?
Provas
Questão presente nas seguintes provas
Em qual das situações de trauma abaixo, devemos indicar a aposição cirúrgica de uma bolsa de Bogotá? Fratura de múltiplas costelas
Provas
Questão presente nas seguintes provas
Na avaliação cirúrgica de um paciente com doença do refluxo, qual dos sintomas abaixo NÃO se configura um sinal
de alerta?
Provas
Questão presente nas seguintes provas
Em qual dos tumores abaixo, é necessário solicitar a pesquisa do CD 117 para escolher o melhor tratamento?
Provas
Questão presente nas seguintes provas
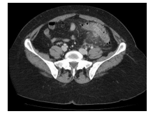
Homem 66 anos, dor em abdome inferior e febre. Leuco – 17.100. Analisando a TC de abdome abaixo, podemos
identificar


Provas
Questão presente nas seguintes provas
Em relação ao tratamento cirúrgico dos carcinomas escamosos de canal anal, podemos afirmar que
Provas
Questão presente nas seguintes provas
Ainda sobre os hepatocarcinomas, qual das assertivas abaixo NÃO faz parte dos critérios de Milão para indicação
de transplante nesses pacientes?
Provas
Questão presente nas seguintes provas
Qual é o paciente ideal para a ressecção de um hepatocarcinoma?
Provas
Questão presente nas seguintes provas
Cadernos
Caderno Container