Foram encontradas 50 questões.
Assinale a alternativa que apresenta uma causa de
hipercalcemia PTH independente.
Provas
Questão presente nas seguintes provas
Após três dias, hemoculturas solicitadas na
admissão vieram com resultado positivo para pseudomonas.
A paciente completou o esquema terapêutico adequado
à bactéria e foi de alta hospitalar afebril, com leucócitos e
PCR normais, sem queixas clínicas.
Após cinco dias da alta hospitalar, ela retornou com sonolência, febre, mal-estar e dispneia. E foi realizada uma nova radiografia de tórax com infiltrado pulmonar à esquerda, na qual se apontou que a paciente estava sem sinais de abscesso ou derrame pleural. Os exames laboratoriais indicaram aumento de leucócitos e PCR. A equipe hospitalar iniciou meropenem e solicitou novas hemoculturas. Após três dias, ocorreu, novamente, o crescimento de pseudomonas em dois pares, com crescimento, também, nos dois pares coletados no dia posterior. Foi realizado ecocardiograma transtorácico, sem vegetações, e, alguns dias depois, um transesofágico, com apontamento de ausência de vegetações e fundo de olho com retinopatia hipertensiva. Tomografia de tórax, abdômen e pelve com contraste e sem achado de coleções.
Com base nessa situação hipotética, assinale a alternativa correta.
Após cinco dias da alta hospitalar, ela retornou com sonolência, febre, mal-estar e dispneia. E foi realizada uma nova radiografia de tórax com infiltrado pulmonar à esquerda, na qual se apontou que a paciente estava sem sinais de abscesso ou derrame pleural. Os exames laboratoriais indicaram aumento de leucócitos e PCR. A equipe hospitalar iniciou meropenem e solicitou novas hemoculturas. Após três dias, ocorreu, novamente, o crescimento de pseudomonas em dois pares, com crescimento, também, nos dois pares coletados no dia posterior. Foi realizado ecocardiograma transtorácico, sem vegetações, e, alguns dias depois, um transesofágico, com apontamento de ausência de vegetações e fundo de olho com retinopatia hipertensiva. Tomografia de tórax, abdômen e pelve com contraste e sem achado de coleções.
Com base nessa situação hipotética, assinale a alternativa correta.
Provas
Questão presente nas seguintes provas
Uma mulher de 76 anos de idade, previamente
funcional e independente para ABVDs, apresentava os
seguintes antecedentes pessoais: hipertensão arterial
sistêmica; dislipidemia; diabetes tipo 2; insuficiência
cardíaca de fração de ejeção preservada; aneurisma de
aorta abdominal operado com endoprótese vascular há
três meses; adenocarcinoma colorretal com tratamento
cirúrgico há 15 anos; arritmia e lombalgia crônica por hérnia
de disco com artrodese lombar há 10 anos. A paciente
foi ao pronto-socorro, trazida pelo filho, com história de
confusão mental, sonolência e mal-estar. O filho relatou
que o quadro iniciou-se há três dias, com importante piora
hoje. Ele associou essa progressão negativa ao aumento de
dose de opioides, dos quais a mãe faz uso devido a uma
dor lombar.
Ao exame físico admissional: sonolenta; ausência
de resposta a estímulo verbal; resposta frustrada a estímulo
doloroso; FC de 127 bpm; sat. 88% em CN O2 a 4l/min; PA
de 85 x 55 mmHg; enchimento capilar de 4 segundos; e
temperatura de 38,7 °C.
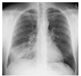
Além disso, observaram-se eletrocardiograma em
ritmo de fibrilação atrial, ausculta pulmonar com estertores
de base até terço médio bilateralmente, FR de 33 irpm,
edema bilateral de membros inferiores e estase jugular. Um
raio X do tórax está disposto a seguir.

Provas
Questão presente nas seguintes provas
Uma mulher de 76 anos de idade, previamente
funcional e independente para ABVDs, apresentava os
seguintes antecedentes pessoais: hipertensão arterial
sistêmica; dislipidemia; diabetes tipo 2; insuficiência
cardíaca de fração de ejeção preservada; aneurisma de
aorta abdominal operado com endoprótese vascular há
três meses; adenocarcinoma colorretal com tratamento
cirúrgico há 15 anos; arritmia e lombalgia crônica por hérnia
de disco com artrodese lombar há 10 anos. A paciente
foi ao pronto-socorro, trazida pelo filho, com história de
confusão mental, sonolência e mal-estar. O filho relatou
que o quadro iniciou-se há três dias, com importante piora
hoje. Ele associou essa progressão negativa ao aumento de
dose de opioides, dos quais a mãe faz uso devido a uma
dor lombar.
Ao exame físico admissional: sonolenta; ausência
de resposta a estímulo verbal; resposta frustrada a estímulo
doloroso; FC de 127 bpm; sat. 88% em CN O2 a 4l/min; PA
de 85 x 55 mmHg; enchimento capilar de 4 segundos; e
temperatura de 38,7 °C.
Além disso, observaram-se eletrocardiograma em
ritmo de fibrilação atrial, ausculta pulmonar com estertores
de base até terço médio bilateralmente, FR de 33 irpm,
edema bilateral de membros inferiores e estase jugular. Um
raio X do tórax está disposto a seguir.

Provas
Questão presente nas seguintes provas
Assinale a alternativa que apresenta uma etiologia de
anemia que não curse com microcitose.
Provas
Questão presente nas seguintes provas
Acerca da policitemia vera, assinale a alternativa correta.
Provas
Questão presente nas seguintes provas
Assinale a alternativa que apresenta uma doença que não
cursa com o granuloma pulmonar.
Provas
Questão presente nas seguintes provas
Um paciente de 55 anos de idade, hígido, internado
devido à infecção do trato urinário, estava, na admissão no
hospital, com temperatura de 38,5 °C e Giordano negativo.
Encontrava-se em boa resposta terapêutica com uso de
ceftriaxone endovenoso. No terceiro dia de internação, já
afebril e assintomático. TC de abdome e pelve com contraste
sem alterações. Foram realizados exames na internação,
e o paciente trazia consigo uma pasta de exames de dois
meses atrás, solicitados em seu seguimento ambulatorial.
Internação: Hb 14,5; leucócitos 12.560; plaquetas 257.000;
ureia 34; creatinina 0,8; PCR 7,7; PSA 18 ng/ml; sódio 135;
e potássio 3,7. Exames ambulatoriais: Hb 15,3; leucócitos
8.550; ureia 30; creatinina 0,7; PCR 0,8; PSA 2 ng/ml;
sódio 135; potássio 4,5. Urocultura na internação: E. coli
sensível à amoxicilina, bactrim, ciprofloxacino, cefalexina,
ceftriaxone, cefuroxima, tazocin, meropenem, amicacina,
nitrofurantoina e fosfomicina.
Provas
Questão presente nas seguintes provas
Um paciente de 55 anos de idade, hígido, internado
devido à infecção do trato urinário, estava, na admissão no
hospital, com temperatura de 38,5 °C e Giordano negativo.
Encontrava-se em boa resposta terapêutica com uso de
ceftriaxone endovenoso. No terceiro dia de internação, já
afebril e assintomático. TC de abdome e pelve com contraste
sem alterações. Foram realizados exames na internação,
e o paciente trazia consigo uma pasta de exames de dois
meses atrás, solicitados em seu seguimento ambulatorial.
Internação: Hb 14,5; leucócitos 12.560; plaquetas 257.000;
ureia 34; creatinina 0,8; PCR 7,7; PSA 18 ng/ml; sódio 135;
e potássio 3,7. Exames ambulatoriais: Hb 15,3; leucócitos
8.550; ureia 30; creatinina 0,7; PCR 0,8; PSA 2 ng/ml;
sódio 135; potássio 4,5. Urocultura na internação: E. coli
sensível à amoxicilina, bactrim, ciprofloxacino, cefalexina,
ceftriaxone, cefuroxima, tazocin, meropenem, amicacina,
nitrofurantoina e fosfomicina.
Provas
Questão presente nas seguintes provas
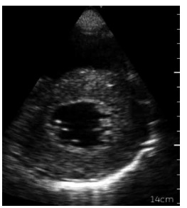
Uma paciente de 55 anos de idade, hipertensa, diabética e tabagista, foi ao pronto-socorro com dispneia, edema de
membros inferiores, estase jugular e estertores bibasais. O quadro iniciou-se junto com disúria, polaciúria e dor lombar, há
três dias. Na admissão: FC de 122 bpm; PA de 83 x 44 mmHg; FR de 24 irpm; sat. a 89 % em ar ambiente; TEC de 4 segundos;
temperatura 38,7 °C; e Giordano positivo à direita.
Considere-se a imagem a seguir.

Assinale a alternativa que apresenta a janela ecocardiográfica à qual a imagem corresponde.
Provas
Questão presente nas seguintes provas
Cadernos
Caderno Container