Magna Concursos

Foram encontradas 648 questões.

3530051 Ano: 2024
Disciplina: Medicina
Banca: QUADRIX
Orgão: SES-SP
Quanto ao tratamento das tromboses venosas profundas (TVP), assinale a alternativa que apresenta os anticoagulantes orais que não precisam de ponte com anticoagulante parenteral (heparina).
 

Provas

Questão presente nas seguintes provas
3530050 Ano: 2024
Disciplina: Medicina
Banca: QUADRIX
Orgão: SES-SP
A púrpura trombocitopênica trombótica e a neutropenia são efeitos colaterais incomuns, mas quando presentes ocorrem principalmente pelo uso de um antiagregante plaquetário denominado
 

Provas

Questão presente nas seguintes provas
3530048 Ano: 2024
Disciplina: Medicina
Banca: QUADRIX
Orgão: SES-SP
Uma paciente, 37 anos de idade, vem apresentando edema endurado em todo o membro inferior direito há 3 anos. Durante o exame físico, observou-se pele íntegra, ausência de depressão cutânea a digitopressão, assim como a não redução do edema ao elevar os membros e ao se manter em repouso por mais de um dia.

Com base nessa situação hipotética, o diagnóstico e o grau segundo a classificação de Mowlen desse quadro deve ser
 

Provas

Questão presente nas seguintes provas
3530037 Ano: 2024
Disciplina: Medicina
Banca: QUADRIX
Orgão: SES-SP
Estudos apontam que a insuficiência venosa crônica acomete de 50-85% da população ocidental associada à elevada prevalência. Com base nessa informação, assinale a alternativa correta.
 

Provas

Questão presente nas seguintes provas
3530019 Ano: 2024
Disciplina: Medicina
Banca: QUADRIX
Orgão: SES-SP
A respeito das fístulas arteriovenosas, assinale a alternativa incorreta.
 

Provas

Questão presente nas seguintes provas
3530017 Ano: 2024
Disciplina: Medicina
Banca: QUADRIX
Orgão: SES-SP
Quanto à síndrome de May-Thurner, assinale a alternativa correta.
 

Provas

Questão presente nas seguintes provas
3530014 Ano: 2024
Disciplina: Medicina
Banca: QUADRIX
Orgão: SES-SP
Em relação aos acessos para a hemodiálise, assinale a alternativa correta.
 

Provas

Questão presente nas seguintes provas
3530006 Ano: 2024
Disciplina: Medicina
Banca: QUADRIX
Orgão: SES-SP
O sinal da cimitarra pode ser encontrado nas arteriografias dos pacientes com diagnóstico de
 

Provas

Questão presente nas seguintes provas
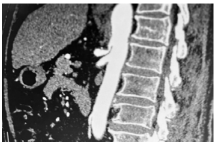
3530001 Ano: 2024
Disciplina: Medicina
Banca: QUADRIX
Orgão: SES-SP
Uma paciente de 48 anos de idade compareceu ao pronto atendimento com dor abdominal epigástrica, que piorou no período pós-prandial, há aproximadamente 12 meses. Ela relatou ter procurado atendimento por múltiplas vezes, sem elucidação adequada do quadro. Já foi realizada a colecistectomia, sem indícios de melhora. Houve perda de 10 kg nos últimos 3 meses devido a esse quadro. Relatou piora da dor nos últimos dias, o que a fez procurar o atendimento de urgência. A paciente estava em bom estado, lactato 0,9. Exames cardiológicos estavam normais. Foi realizada angiotomografia, que evidenciou a imagem a seguir.

Enunciado 4079244-1

Com base nessa situação hipotética e na imagem acima, assinale a alternativa que apresenta o diagnóstico e a conduta adequados para o caso.
 

Provas

Questão presente nas seguintes provas
3529966 Ano: 2024
Disciplina: Medicina
Banca: QUADRIX
Orgão: SES-SP
Assinale a alternativa que apresenta uma patologia com possibilidade de tratamento conservador inicial e outra que, geralmente, requer tratamento cirúrgico.
 

Provas

Questão presente nas seguintes provas