Foram encontradas 1.040 questões.

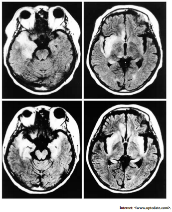
Um paciente com vinte e cinco anos de idade foi admitido em um hospital apresentando, havia cinco dias, febre persistente, cefaleia holocraniana, oscilações de humor e alterações no seu comportamento habitual. O paciente fez uso de analgésicos e antitérmicos, em casa, administrados pela própria família, mas a resposta aos medicamentos foi parcial e temporária. No quinto dia, o paciente estava excessivamente sonolento, e apresentou crise convulsiva tônico-clônica, sendo então levado para atendimento médico de urgência. Acerca desse caso clínico, julgue o item a seguir considerando o exame de imagem mostrado. O agente etiológico da infecção é do mesmo tipo que causa a meningite linfocítica recorrente, também conhecida com meningite recorrente de Mollaret.
Provas

Um paciente com vinte e cinco anos de idade foi admitido em um hospital apresentando, havia cinco dias, febre persistente, cefaleia holocraniana, oscilações de humor e alterações no seu comportamento habitual. O paciente fez uso de analgésicos e antitérmicos, em casa, administrados pela própria família, mas a resposta aos medicamentos foi parcial e temporária. No quinto dia, o paciente estava excessivamente sonolento, e apresentou crise convulsiva tônico-clônica, sendo então levado para atendimento médico de urgência. Acerca desse caso clínico, julgue o item a seguir considerando o exame de imagem mostrado. O tratamento do paciente em questão realiza-se à base de corticoide e anticonvulsivante. Em casos de presença de DNA viral no líquor, aplica-se aciclovir.
Provas
No que se refere a esse caso clínico, julgue o item subsecutivo.
O tratamento indicado para a paciente desse caso clínico é a prescrição de ferro elementar na dose de 2 mg/kg/dia pelo período de quarenta e cinco dias.
Provas
Provas
Considerando esse caso clínico, julgue o item a seguir.
O reflexo de Moro já deveria ter desaparecido nessa criança, que deveria ser capaz de fixar o olhar e apresentar sorriso social.
Provas
Considerando esse caso clínico, julgue o item a seguir.
O paciente apresenta indícios de hipovitaminose A, sendo indicada uma biópsia na lesão bucal.
Provas
Considerando esse caso clínico, julgue o item a seguir.
A presença de crânio tabes pode indicar raquitismo e sífilis congênita.
Provas
Considerando esse caso clínico, julgue o item a seguir.
O lactante é considerado obeso, sendo indicada intervenção nutricional com a administração de suco de frutas.
Provas
De acordo com as diretrizes de vacinação recomendadas pela Sociedade Brasileira de Pediatria (SBP) e ao calendário básico de vacinação do Ministério da Saúde (MS) em 2015, julgue o item subsequente.
A vacinação contra hepatite A não faz parte do calendário básico de vacinação do MS, porém a SBP orienta que, a partir dos doze meses de idade, a criança deve receber duas doses dessa vacina em um intervalo mínimo de seis meses.
Provas
Um menino de dois anos e seis meses de idade chegou ao pronto-socorro sudoreico, agitado, com dificuldade respiratória moderada e fazendo uso da musculatura acessória. A criança apresentava ainda retrações sub e intercostais e de fúrcula esternal, murmúrio vesicular diminuído, sibilos difusos, frequência cardíaca igual a 135 bpm, frequência respiratória de 60 irpm e saturação de oxigênio de 91%.
Considerando esse quadro clínico, julgue o item que se segue.
O provável diagnóstico para essa criança é de bronquiolite viral aguda, não sendo possível fazer o diagnóstico de asma devido a sua idade.
Provas
Caderno Container