Foram encontradas 100 questões.
Após avanços tecnológicos, medicina deve mirar empatia
Médicos sempre ocuparam uma posição de prestígio na sociedade. Afinal, cuidar do maior bem do indivíduo – a vida – não é algo trivial. Embora a finalidade do ofício seja a mesma, o modus operandi mudou drasticamente com o tempo.
O que se pode afirmar é que o foco da atuação médica deve ser cada vez menos o controle sobre o destino do paciente e mais a mediação e a interpretação de tecnologias, incluindo a famigerada inteligência artificial. Já o lado humanístico, que perdeu espaço para os exames e as máquinas, tende a recuperar cada vez mais sua importância.
De meados do século 20 até agora, concomitantemente às novas especialidades, houve avanço tecnológico e a proliferação de modalidades de exames. Cresceu o catálogo dos laboratórios e também a dependência do médico em relação a exames. A impressão dos pacientes passou a ser a de que o cuidado é ruim, caso o médico não os solicite.
O tema é caro a Jayme Murahovschi, referência em pediatria no país. “Tem que haver progressão tecnológica, claro, mas mais importante que isso é a ligação emocional com o paciente. Hoje médicos pedem muitos exames e os pacientes também.”
Murahovschi está entre os que acreditam que a profissão está sofrendo uma nova reviravolta, quase que voltando às origens clássicas, hipocráticas: “Os médicos do futuro, os que sobrarem, vão ter que conhecer o paciente a fundo, dar toda a atenção que ele precisa, usando muita tecnologia, mas com foco no paciente.”
Alguns profissionais poderão migrar para uma medicina mais técnica, preveem analistas.
Esses doutores teriam uma função diferente, atuando na interface entre o conhecimento biomédico e a tecnologia por trás de plataformas de diagnóstico e reabilitação. Ou ainda atuariam alimentando com dados uma plataforma de inteligência artificial, tornando-a mais esperta.
Outra tecnologia já presente é a telemedicina, que descentraliza a realização de consultas e exames. Clínicas e médicos generalistas podem, rapidamente e pela internet, contar com laudos de especialistas situados em diferentes localidades; uma junta médica pode discutir casos de pacientes e seria possível até a realização, a distância, de consultas propriamente ditas, se não existissem restrições do CFM nesse sentido.
Até cirurgias podem ser feitas a distância, com o advento da robótica. O tema continua fascinando médicos e pacientes, mas, por enquanto, nada de droides médicos à la Star Wars – quem controla o robô ainda é o ser humano.
(Gabriela Alves. Folha de S.Paulo, 19.10.2018. Adaptado)
Considere os trechos do texto.
• Médicos sempre ocuparam uma posição de prestígio na sociedade. (1° parágrafo)
• Já o lado humanístico, que perdeu espaço para os exames e as máquinas... (2° parágrafo)
• Esses doutores teriam uma função diferente, atuando na interface... (7° parágrafo)
De acordo com a norma-padrão de emprego e colocação de pronomes, as expressões destacadas podem ser substituídas por:
Provas
Após avanços tecnológicos, medicina deve mirar empatia
Médicos sempre ocuparam uma posição de prestígio na sociedade. Afinal, cuidar do maior bem do indivíduo – a vida – não é algo trivial. Embora a finalidade do ofício seja a mesma, o modus operandi mudou drasticamente com o tempo.
O que se pode afirmar é que o foco da atuação médica deve ser cada vez menos o controle sobre o destino do paciente e mais a mediação e a interpretação de tecnologias, incluindo a famigerada inteligência artificial. Já o lado humanístico, que perdeu espaço para os exames e as máquinas, tende a recuperar cada vez mais sua importância.
De meados do século 20 até agora, concomitantemente às novas especialidades, houve avanço tecnológico e a proliferação de modalidades de exames. Cresceu o catálogo dos laboratórios e também a dependência do médico em relação a exames. A impressão dos pacientes passou a ser a de que o cuidado é ruim, caso o médico não os solicite.
O tema é caro a Jayme Murahovschi, referência em pediatria no país. “Tem que haver progressão tecnológica, claro, mas mais importante que isso é a ligação emocional com o paciente. Hoje médicos pedem muitos exames e os pacientes também.”
Murahovschi está entre os que acreditam que a profissão está sofrendo uma nova reviravolta, quase que voltando às origens clássicas, hipocráticas: “Os médicos do futuro, os que sobrarem, vão ter que conhecer o paciente a fundo, dar toda a atenção que ele precisa, usando muita tecnologia, mas com foco no paciente.”
Alguns profissionais poderão migrar para uma medicina mais técnica, preveem analistas.
Esses doutores teriam uma função diferente, atuando na interface entre o conhecimento biomédico e a tecnologia por trás de plataformas de diagnóstico e reabilitação. Ou ainda atuariam alimentando com dados uma plataforma de inteligência artificial, tornando-a mais esperta.
Outra tecnologia já presente é a telemedicina, que descentraliza a realização de consultas e exames. Clínicas e médicos generalistas podem, rapidamente e pela internet, contar com laudos de especialistas situados em diferentes localidades; uma junta médica pode discutir casos de pacientes e seria possível até a realização, a distância, de consultas propriamente ditas, se não existissem restrições do CFM nesse sentido.
Até cirurgias podem ser feitas a distância, com o advento da robótica. O tema continua fascinando médicos e pacientes, mas, por enquanto, nada de droides médicos à la Star Wars – quem controla o robô ainda é o ser humano.
(Gabriela Alves. Folha de S.Paulo, 19.10.2018. Adaptado)
Observe os trechos destacados nas frases do texto.
• A impressão dos pacientes passou a ser a de que o cuidado é ruim, caso o médico não os solicite. (3° parágrafo)
• Até cirurgias podem ser feitas a distância, com o advento da robótica. (último parágrafo)
Nesses trechos, notam-se, correta e respectivamente, as ideias de
Provas
Após avanços tecnológicos, medicina deve mirar empatia
Médicos sempre ocuparam uma posição de prestígio na sociedade. Afinal, cuidar do maior bem do indivíduo – a vida – não é algo trivial. Embora a finalidade do ofício seja a mesma, o modus operandi mudou drasticamente com o tempo.
O que se pode afirmar é que o foco da atuação médica deve ser cada vez menos o controle sobre o destino do paciente e mais a mediação e a interpretação de tecnologias, incluindo a famigerada inteligência artificial. Já o lado humanístico, que perdeu espaço para os exames e as máquinas, tende a recuperar cada vez mais sua importância.
De meados do século 20 até agora, concomitantemente às novas especialidades, houve avanço tecnológico e a proliferação de modalidades de exames. Cresceu o catálogo dos laboratórios e também a dependência do médico em relação a exames. A impressão dos pacientes passou a ser a de que o cuidado é ruim, caso o médico não os solicite.
O tema é caro a Jayme Murahovschi, referência em pediatria no país. “Tem que haver progressão tecnológica, claro, mas mais importante que isso é a ligação emocional com o paciente. Hoje médicos pedem muitos exames e os pacientes também.”
Murahovschi está entre os que acreditam que a profissão está sofrendo uma nova reviravolta, quase que voltando às origens clássicas, hipocráticas: “Os médicos do futuro, os que sobrarem, vão ter que conhecer o paciente a fundo, dar toda a atenção que ele precisa, usando muita tecnologia, mas com foco no paciente.”
Alguns profissionais poderão migrar para uma medicina mais técnica, preveem analistas.
Esses doutores teriam uma função diferente, atuando na interface entre o conhecimento biomédico e a tecnologia por trás de plataformas de diagnóstico e reabilitação. Ou ainda atuariam alimentando com dados uma plataforma de inteligência artificial, tornando-a mais esperta.
Outra tecnologia já presente é a telemedicina, que descentraliza a realização de consultas e exames. Clínicas e médicos generalistas podem, rapidamente e pela internet, contar com laudos de especialistas situados em diferentes localidades; uma junta médica pode discutir casos de pacientes e seria possível até a realização, a distância, de consultas propriamente ditas, se não existissem restrições do CFM nesse sentido.
Até cirurgias podem ser feitas a distância, com o advento da robótica. O tema continua fascinando médicos e pacientes, mas, por enquanto, nada de droides médicos à la Star Wars – quem controla o robô ainda é o ser humano.
(Gabriela Alves. Folha de S.Paulo, 19.10.2018. Adaptado)
No título do texto, a vírgula separa a expressão adverbial – Após avanços tecnológicos – da sequência do enunciado.
A vírgula foi empregada com essa mesma função na alternativa:
Provas
Provas
Após avanços tecnológicos, medicina deve mirar empatia
Médicos sempre ocuparam uma posição de prestígio na sociedade. Afinal, cuidar do maior bem do indivíduo – a vida – não é algo trivial. Embora a finalidade do ofício seja a mesma, o modus operandi mudou drasticamente com o tempo.
O que se pode afirmar é que o foco da atuação médica deve ser cada vez menos o controle sobre o destino do paciente e mais a mediação e a interpretação de tecnologias, incluindo a famigerada inteligência artificial. Já o lado humanístico, que perdeu espaço para os exames e as máquinas, tende a recuperar cada vez mais sua importância.
De meados do século 20 até agora, concomitantemente às novas especialidades, houve avanço tecnológico e a proliferação de modalidades de exames. Cresceu o catálogo dos laboratórios e também a dependência do médico em relação a exames. A impressão dos pacientes passou a ser a de que o cuidado é ruim, caso o médico não os solicite.
O tema é caro a Jayme Murahovschi, referência em pediatria no país. “Tem que haver progressão tecnológica, claro, mas mais importante que isso é a ligação emocional com o paciente. Hoje médicos pedem muitos exames e os pacientes também.”
Murahovschi está entre os que acreditam que a profissão está sofrendo uma nova reviravolta, quase que voltando às origens clássicas, hipocráticas: “Os médicos do futuro, os que sobrarem, vão ter que conhecer o paciente a fundo, dar toda a atenção que ele precisa, usando muita tecnologia, mas com foco no paciente.”
Alguns profissionais poderão migrar para uma medicina mais técnica, preveem analistas.
Esses doutores teriam uma função diferente, atuando na interface entre o conhecimento biomédico e a tecnologia por trás de plataformas de diagnóstico e reabilitação. Ou ainda atuariam alimentando com dados uma plataforma de inteligência artificial, tornando-a mais esperta.
Outra tecnologia já presente é a telemedicina, que descentraliza a realização de consultas e exames. Clínicas e médicos generalistas podem, rapidamente e pela internet, contar com laudos de especialistas situados em diferentes localidades; uma junta médica pode discutir casos de pacientes e seria possível até a realização, a distância, de consultas propriamente ditas, se não existissem restrições do CFM nesse sentido.
Até cirurgias podem ser feitas a distância, com o advento da robótica. O tema continua fascinando médicos e pacientes, mas, por enquanto, nada de droides médicos à la Star Wars – quem controla o robô ainda é o ser humano.
(Gabriela Alves. Folha de S.Paulo, 19.10.2018. Adaptado)
Provas
Após avanços tecnológicos, medicina deve mirar empatia
Médicos sempre ocuparam uma posição de prestígio na sociedade. Afinal, cuidar do maior bem do indivíduo – a vida – não é algo trivial. Embora a finalidade do ofício seja a mesma, o modus operandi mudou drasticamente com o tempo.
O que se pode afirmar é que o foco da atuação médica deve ser cada vez menos o controle sobre o destino do paciente e mais a mediação e a interpretação de tecnologias, incluindo a famigerada inteligência artificial. Já o lado humanístico, que perdeu espaço para os exames e as máquinas, tende a recuperar cada vez mais sua importância.
De meados do século 20 até agora, concomitantemente às novas especialidades, houve avanço tecnológico e a proliferação de modalidades de exames. Cresceu o catálogo dos laboratórios e também a dependência do médico em relação a exames. A impressão dos pacientes passou a ser a de que o cuidado é ruim, caso o médico não os solicite.
O tema é caro a Jayme Murahovschi, referência em pediatria no país. “Tem que haver progressão tecnológica, claro, mas mais importante que isso é a ligação emocional com o paciente. Hoje médicos pedem muitos exames e os pacientes também.”
Murahovschi está entre os que acreditam que a profissão está sofrendo uma nova reviravolta, quase que voltando às origens clássicas, hipocráticas: “Os médicos do futuro, os que sobrarem, vão ter que conhecer o paciente a fundo, dar toda a atenção que ele precisa, usando muita tecnologia, mas com foco no paciente.”
Alguns profissionais poderão migrar para uma medicina mais técnica, preveem analistas.
Esses doutores teriam uma função diferente, atuando na interface entre o conhecimento biomédico e a tecnologia por trás de plataformas de diagnóstico e reabilitação. Ou ainda atuariam alimentando com dados uma plataforma de inteligência artificial, tornando-a mais esperta.
Outra tecnologia já presente é a telemedicina, que descentraliza a realização de consultas e exames. Clínicas e médicos generalistas podem, rapidamente e pela internet, contar com laudos de especialistas situados em diferentes localidades; uma junta médica pode discutir casos de pacientes e seria possível até a realização, a distância, de consultas propriamente ditas, se não existissem restrições do CFM nesse sentido.
Até cirurgias podem ser feitas a distância, com o advento da robótica. O tema continua fascinando médicos e pacientes, mas, por enquanto, nada de droides médicos à la Star Wars – quem controla o robô ainda é o ser humano.
(Gabriela Alves. Folha de S.Paulo, 19.10.2018. Adaptado)
Considere os trechos do texto.
• Afinal, cuidar do maior bem do indivíduo – a vida – não é algo trivial. (1° parágrafo)
• ... e mais a mediação e a interpretação de tecnologias, incluindo a famigerada inteligência artificial. (2° parágrafo)
• Esses doutores teriam uma função diferente, atuando na interface entre o conhecimento biomédico e a tecnologia... (7° parágrafo)
Os termos destacados podem ser substituídos, respectivamente e sem alteração do sentido do texto, por:
Provas
O presidente da França, Emmanuel Macron, e a chanceler federal alemã, Angela Merkel, protagonizaram neste sábado (10/11) um encontro histórico em Compiègne, ao norte de Paris. Esta é a primeira vez que os líderes máximos dos dois países visitam juntos o local.
(Folha de S.Paulo, 10 nov.18. Disponível em:<https://goo.gl/aGzBPS> . Adaptado)
Os dois estiveram juntos por ocasião da comemoração de aniversário
Provas
O perfil dos candidatos que concorreram a uma vaga no Poder Legislativo aponta para maior participação feminina e jovem. Os primeiros resultados da eleição mostram o novo perfil eleito: o país elegeu as duas primeiras deputadas federais muçulmanas, a primeira mulher indígena, além da deputada mais jovem da história.
(Estado de S.Paulo, 6 nov.18. Disponível em:<https://goo.gl/RS5a8g> . Adaptado)
A notícia citada está relacionada às eleições
Provas
O presidente da Turquia, Recep Tayyip Erdogan, disse neste sábado (10 de novembro) que seu país compartilhou as gravações com Arábia Saudita, Estados Unidos, Reino Unido, França e Alemanha. “Demos os registros. Eles estão escutando as conversas”, disse Erdogan, antes de embarcar para Paris, mas sem dar mais detalhes.
(G1, 10 nov.18. Disponível em: <https://goo.gl/CaU8ok> . Adaptado)
As afirmações de Erdogan estão relacionadas
Provas
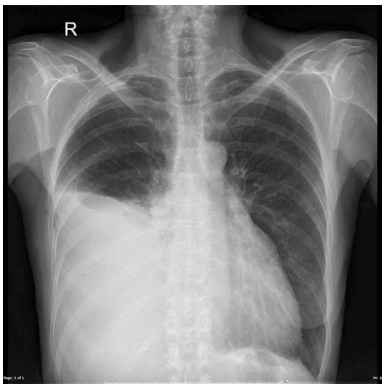
Homem, 35 anos, procura atendimento médico com queixa de tosse seca persistente e emagrecimento de 5 kg nos últimos 3 meses. Realizada radiografia de tórax que está ilustrada a seguir.

Realizada análise do líquido pleural, após toracocentese diagnóstica, que evidenciou: proteínas totais = 5,2 g/dL; DHL pleural = 380 U/L, glicose = 40 mg%, pH = 7,19, ADA = 59 UI/L. Dosagem sérica de proteínas totais = 6,8 g/dL; DHL sérico = 440 U/L. Realizada ainda biópsia pleural que evidenciou a presença de granulomas e pontos de necrose caseosa central.
Assinale a alternativa correta.
Provas
Caderno Container