Foram encontradas 100 questões.
Provas
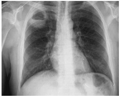
Homem, 49 anos, alcoolista e desnutrido, apresenta quadro de febre diária e expectoração purulenta abundante há 3 semanas. Refere que, associado ao quadro clínico, também está inapetente. Exame físico: regular estado geral, eupneico em ar ambiente. O exame do aparelho respiratório revela a presença de macicez à percussão do ápice pulmonar D, além de redução do murmúrio vesicular nessa topografia. A radiografia de tórax está ilustrada a seguir.

Em relação ao caso exposto, assinale a alternativa correta.
Provas
Assinale a alternativa que apresenta a conduta terapêutica imediata correta.
Provas
Homem, 66 anos, sem antecedentes mórbidos, refere cansaço aos médios esforços, que se iniciou há 3 meses. Nega sintomas associados, dor abdominal, melena ou enterorragia. Ao exame físico, nota-se o paciente descorado 3+/4+ e eupneico em ar ambiente. PA = 110 x 70 mmHg. As auscultas cardíaca e pulmonar são normais. Os exames laboratoriais relevantes estão ilustrados a seguir.

Assinale a alternativa que contém a abordagem correta nesse caso.
Provas
Homem, 82 anos, procura unidade básica de saúde próximo à sua residência com queixa de náuseas, vômitos e dor retroesternal de forte intensidade irradiada para membro superior esquerdo, associada a sudorese de início há 2 horas. Refere ser hipertenso, diabético e ex-tabagista. Faz uso de insulina NPH, losartana, metformina e sinvastatina. Exame físico: regular estado geral, pálido, sudoreico, PA = 80x60 mmHg, FR = 18 ipm, estase jugular bilateral. Ausculta cardíaca: bulhas rítmicas normofonéticas sem sopros; ausculta pulmonar: murmúrio vesicular presente e simétrico sem ruídos adventícios. O eletrocardiograma realizado na admissão está ilustrado a seguir.

No atendimento inicial desse paciente, além da administração de AAS e da pronta remoção para serviço habilitado para reperfusão coronária, o paciente deve receber prontamente
Provas
Provas
Provas
Homem, 57 anos, obeso, diabético tipo II, submetido à angioplastia coronária com implante de stent há 2 anos, comparece em consulta de rotina com pressão arterial de 170 x 100 mmHg. A medida é repetida e confirmada e coincide com medidas residenciais do paciente. Está assintomático, o exame físico é normal e os exames laboratoriais mostram a função renal normal. A análise do exame de urina indica a presença de proteinúria +/4+.
A conduta correta em relação ao tratamento da hipertensão arterial é prescrever
Provas
Homem, 46 anos, refere tuberculose tratada, corretamente, aos 27 anos, com cura após acompanhamento regular com seu pneumologista. Desde então, apresenta catarro matinal, não diário, em razoável volume. Relata que tal ocorrência não afeta sua vida e consegue manter atividades laboral e física normais. Há três dias, está expectorando com laivos de sangue, sem febre e sem queda do estado geral.
Assinale a alternativa que apresenta o conjunto correto de medidas terapêuticas para esse paciente, neste momento, com base na história clínica e principal hipótese diagnóstica.
Provas
Provas
Caderno Container