Foram encontradas 1.104 questões.
Caso clínico para os itens de 50 a 60
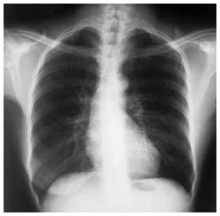
Uma mulher com 68 anos de idade foi atendida no ambulatório de um posto de saúde, com relato de tosse produtiva com
expectoração mucoide, que vem ocorrendo há mais de três anos. Informou ser tabagista (45 maços/ano) e que, nos últimos seis meses,
passou a ter dispneia progressiva aos esforços físicos. O exame físico mostrou: paciente dispneica leve, acianótica, pressão arterial de
120 mmHg × 80 mmHg, frequência cardíaca de 80 bpm, frequência respiratória de 22 irpm, com ritmo cardíaco regular em 2 tempos,
bulhas cardíacas hipofonéticas e ausência de sopros à ausculta cardíaca, diâmetro anteroposterior da caixa torácica aumentado, presença
de hipersonoridade à percussão do tórax e murmúrio vesicular reduzido de forma difusa, com roncos esparsos à ausculta pulmonar; o
restante do exame não apresentou anormalidades. Abaixo é reproduzida a radiografia do tórax em projeção posteroanterior realizada para
essa paciente.

Tendo por base as informações clínicas e a radiografia de tórax apresentadas, julgue os itens a seguir.
A principal hipótese diagnóstica dessa paciente é doença pulmonar obstrutiva crônica.Uma mulher com 68 anos de idade foi atendida no ambulatório de um posto de saúde, com relato de tosse produtiva com
expectoração mucoide, que vem ocorrendo há mais de três anos. Informou ser tabagista (45 maços/ano) e que, nos últimos seis meses,
passou a ter dispneia progressiva aos esforços físicos. O exame físico mostrou: paciente dispneica leve, acianótica, pressão arterial de
120 mmHg × 80 mmHg, frequência cardíaca de 80 bpm, frequência respiratória de 22 irpm, com ritmo cardíaco regular em 2 tempos,
bulhas cardíacas hipofonéticas e ausência de sopros à ausculta cardíaca, diâmetro anteroposterior da caixa torácica aumentado, presença
de hipersonoridade à percussão do tórax e murmúrio vesicular reduzido de forma difusa, com roncos esparsos à ausculta pulmonar; o
restante do exame não apresentou anormalidades. Abaixo é reproduzida a radiografia do tórax em projeção posteroanterior realizada para
essa paciente.

Tendo por base as informações clínicas e a radiografia de tórax apresentadas, julgue os itens a seguir.
Provas
Questão presente nas seguintes provas
O Dr. João, médico contratado por uma empresa
administradora de um plano de saúde privado, realizou uma
auditoria sobre as circunstâncias que levaram o Sr. Armando a
permanecer por mais de dez dias em uma enfermaria de clínica
médica. Tratava-se de internação hospitalar motivada por quadro
clínico constituído por pneumonia associada a derrame pleural.
Durante a entrevista com o paciente e seus familiares, o Dr. João
manifestou claramente sua discordância acerca do emprego dos
antimicrobianos prescritos, disse-se contrário à realização de uma
toracocentese indicada pela equipe assistente e, por considerar que
o paciente corria risco de morte, solicitou a imediata remoção deste
para uma rede hospitalar pertencente ao plano de saúde para o qual
presta serviço, fornecendo laudo médico circunstanciado sobre
dados clínicos para possibilitar a continuidade do tratamento. Na
oportunidade, ele disse não ser necessário contato com a equipe de
médicos que assistiam ao Sr. Armando, uma vez que, na condição
de contratado pelo plano de saúde, tinha plena autoridade para fazer
o que julgasse ser melhor para o paciente. Para provar o acerto de
sua decisão, permitiu aos familiares o manuseio e a obtenção de
cópia do prontuário do Sr. Armando. Por fim, informou que a
transferência deveria ser feita com o prontuário, pois esse
documento pertencia ao paciente.
Considerando a situação hipotética apresentada acima, julgue os
itens a seguir com base no Código de Ética Médica de 2009.
Na situação considerada, o auditor estava imbuído na função de médico, e, como tal, tinha todo o direito de externar suas opiniões ao paciente e a seus familiares.administradora de um plano de saúde privado, realizou uma
auditoria sobre as circunstâncias que levaram o Sr. Armando a
permanecer por mais de dez dias em uma enfermaria de clínica
médica. Tratava-se de internação hospitalar motivada por quadro
clínico constituído por pneumonia associada a derrame pleural.
Durante a entrevista com o paciente e seus familiares, o Dr. João
manifestou claramente sua discordância acerca do emprego dos
antimicrobianos prescritos, disse-se contrário à realização de uma
toracocentese indicada pela equipe assistente e, por considerar que
o paciente corria risco de morte, solicitou a imediata remoção deste
para uma rede hospitalar pertencente ao plano de saúde para o qual
presta serviço, fornecendo laudo médico circunstanciado sobre
dados clínicos para possibilitar a continuidade do tratamento. Na
oportunidade, ele disse não ser necessário contato com a equipe de
médicos que assistiam ao Sr. Armando, uma vez que, na condição
de contratado pelo plano de saúde, tinha plena autoridade para fazer
o que julgasse ser melhor para o paciente. Para provar o acerto de
sua decisão, permitiu aos familiares o manuseio e a obtenção de
cópia do prontuário do Sr. Armando. Por fim, informou que a
transferência deveria ser feita com o prontuário, pois esse
documento pertencia ao paciente.
Considerando a situação hipotética apresentada acima, julgue os
itens a seguir com base no Código de Ética Médica de 2009.
Provas
Questão presente nas seguintes provas
Um homem com 53 anos de idade, digitador, procurou um
serviço de pronto atendimento com queixa de, há 4 horas,
apresentar dor lombar em pontada, localizada à direita, de forte
intensidade. Ele informou que, há uma semana, está trabalhando em
um relatório considerado de suma importância pela sua chefia. A
jornada de trabalho tem sido de dez horas diárias, com intervalo de
uma hora para o almoço. O paciente negou a existência de sintomas
associados ou de episódios semelhantes anteriormente e de doenças
prévias.
Com base no caso clínico acima apresentado, julgue os próximos
itens.
O fato de o sintoma ser agudo em indivíduo previamente hígido isenta o médico de procurar inicialmente outras causas que não a de origem mecânica, se nada for encontrado no exame físico do paciente em apreço.serviço de pronto atendimento com queixa de, há 4 horas,
apresentar dor lombar em pontada, localizada à direita, de forte
intensidade. Ele informou que, há uma semana, está trabalhando em
um relatório considerado de suma importância pela sua chefia. A
jornada de trabalho tem sido de dez horas diárias, com intervalo de
uma hora para o almoço. O paciente negou a existência de sintomas
associados ou de episódios semelhantes anteriormente e de doenças
prévias.
Com base no caso clínico acima apresentado, julgue os próximos
itens.
Provas
Questão presente nas seguintes provas
Caso clínico para os itens de 50 a 60
Uma mulher com 68 anos de idade foi atendida no ambulatório de um posto de saúde, com relato de tosse produtiva com
expectoração mucoide, que vem ocorrendo há mais de três anos. Informou ser tabagista (45 maços/ano) e que, nos últimos seis meses,
passou a ter dispneia progressiva aos esforços físicos. O exame físico mostrou: paciente dispneica leve, acianótica, pressão arterial de
120 mmHg × 80 mmHg, frequência cardíaca de 80 bpm, frequência respiratória de 22 irpm, com ritmo cardíaco regular em 2 tempos,
bulhas cardíacas hipofonéticas e ausência de sopros à ausculta cardíaca, diâmetro anteroposterior da caixa torácica aumentado, presença
de hipersonoridade à percussão do tórax e murmúrio vesicular reduzido de forma difusa, com roncos esparsos à ausculta pulmonar; o
restante do exame não apresentou anormalidades. Abaixo é reproduzida a radiografia do tórax em projeção posteroanterior realizada para
essa paciente.

Tendo por base as informações clínicas e a radiografia de tórax apresentadas, julgue os itens a seguir.
A interrupção do ato de fumar — único procedimento terapêutico que altera o curso evolutivo da doença em tela —, a vacinação anual contra o vírus da influenza e o uso da vacina antipneumocócica (a cada 5 anos) são recomendados para a paciente em questão.Uma mulher com 68 anos de idade foi atendida no ambulatório de um posto de saúde, com relato de tosse produtiva com
expectoração mucoide, que vem ocorrendo há mais de três anos. Informou ser tabagista (45 maços/ano) e que, nos últimos seis meses,
passou a ter dispneia progressiva aos esforços físicos. O exame físico mostrou: paciente dispneica leve, acianótica, pressão arterial de
120 mmHg × 80 mmHg, frequência cardíaca de 80 bpm, frequência respiratória de 22 irpm, com ritmo cardíaco regular em 2 tempos,
bulhas cardíacas hipofonéticas e ausência de sopros à ausculta cardíaca, diâmetro anteroposterior da caixa torácica aumentado, presença
de hipersonoridade à percussão do tórax e murmúrio vesicular reduzido de forma difusa, com roncos esparsos à ausculta pulmonar; o
restante do exame não apresentou anormalidades. Abaixo é reproduzida a radiografia do tórax em projeção posteroanterior realizada para
essa paciente.

Tendo por base as informações clínicas e a radiografia de tórax apresentadas, julgue os itens a seguir.
Provas
Questão presente nas seguintes provas
Um homem com 53 anos de idade, digitador, procurou um
serviço de pronto atendimento com queixa de, há 4 horas,
apresentar dor lombar em pontada, localizada à direita, de forte
intensidade. Ele informou que, há uma semana, está trabalhando em
um relatório considerado de suma importância pela sua chefia. A
jornada de trabalho tem sido de dez horas diárias, com intervalo de
uma hora para o almoço. O paciente negou a existência de sintomas
associados ou de episódios semelhantes anteriormente e de doenças
prévias.
Com base no caso clínico acima apresentado, julgue os próximos
itens.
No caso considerado, a dor, se for de origem mecânica, deve ser agravada pelo movimento da coluna lombar e não se irradiar para os membros inferiores.serviço de pronto atendimento com queixa de, há 4 horas,
apresentar dor lombar em pontada, localizada à direita, de forte
intensidade. Ele informou que, há uma semana, está trabalhando em
um relatório considerado de suma importância pela sua chefia. A
jornada de trabalho tem sido de dez horas diárias, com intervalo de
uma hora para o almoço. O paciente negou a existência de sintomas
associados ou de episódios semelhantes anteriormente e de doenças
prévias.
Com base no caso clínico acima apresentado, julgue os próximos
itens.
Provas
Questão presente nas seguintes provas
Caso clínico para os itens de 50 a 60
Uma mulher com 68 anos de idade foi atendida no ambulatório de um posto de saúde, com relato de tosse produtiva com
expectoração mucoide, que vem ocorrendo há mais de três anos. Informou ser tabagista (45 maços/ano) e que, nos últimos seis meses,
passou a ter dispneia progressiva aos esforços físicos. O exame físico mostrou: paciente dispneica leve, acianótica, pressão arterial de
120 mmHg × 80 mmHg, frequência cardíaca de 80 bpm, frequência respiratória de 22 irpm, com ritmo cardíaco regular em 2 tempos,
bulhas cardíacas hipofonéticas e ausência de sopros à ausculta cardíaca, diâmetro anteroposterior da caixa torácica aumentado, presença
de hipersonoridade à percussão do tórax e murmúrio vesicular reduzido de forma difusa, com roncos esparsos à ausculta pulmonar; o
restante do exame não apresentou anormalidades. Abaixo é reproduzida a radiografia do tórax em projeção posteroanterior realizada para
essa paciente.

Tendo por base as informações clínicas e a radiografia de tórax apresentadas, julgue os itens a seguir.
Aumento dos espaços intercostais e da translucidez pulmonar, retificação das cúpulas diafragmáticas, dilatação do tronco da artéria pulmonar e cardiomegalia moderada (especialmente à custa do átrio direito) são anormalidades que podem ser vistas no radiograma torácico mostrado.Uma mulher com 68 anos de idade foi atendida no ambulatório de um posto de saúde, com relato de tosse produtiva com
expectoração mucoide, que vem ocorrendo há mais de três anos. Informou ser tabagista (45 maços/ano) e que, nos últimos seis meses,
passou a ter dispneia progressiva aos esforços físicos. O exame físico mostrou: paciente dispneica leve, acianótica, pressão arterial de
120 mmHg × 80 mmHg, frequência cardíaca de 80 bpm, frequência respiratória de 22 irpm, com ritmo cardíaco regular em 2 tempos,
bulhas cardíacas hipofonéticas e ausência de sopros à ausculta cardíaca, diâmetro anteroposterior da caixa torácica aumentado, presença
de hipersonoridade à percussão do tórax e murmúrio vesicular reduzido de forma difusa, com roncos esparsos à ausculta pulmonar; o
restante do exame não apresentou anormalidades. Abaixo é reproduzida a radiografia do tórax em projeção posteroanterior realizada para
essa paciente.

Tendo por base as informações clínicas e a radiografia de tórax apresentadas, julgue os itens a seguir.
Provas
Questão presente nas seguintes provas
Caso clínico para os itens de 50 a 60
Uma mulher com 68 anos de idade foi atendida no ambulatório de um posto de saúde, com relato de tosse produtiva com
expectoração mucoide, que vem ocorrendo há mais de três anos. Informou ser tabagista (45 maços/ano) e que, nos últimos seis meses,
passou a ter dispneia progressiva aos esforços físicos. O exame físico mostrou: paciente dispneica leve, acianótica, pressão arterial de
120 mmHg × 80 mmHg, frequência cardíaca de 80 bpm, frequência respiratória de 22 irpm, com ritmo cardíaco regular em 2 tempos,
bulhas cardíacas hipofonéticas e ausência de sopros à ausculta cardíaca, diâmetro anteroposterior da caixa torácica aumentado, presença
de hipersonoridade à percussão do tórax e murmúrio vesicular reduzido de forma difusa, com roncos esparsos à ausculta pulmonar; o
restante do exame não apresentou anormalidades. Abaixo é reproduzida a radiografia do tórax em projeção posteroanterior realizada para
essa paciente.

Tendo por base as informações clínicas e a radiografia de tórax apresentadas, julgue os itens a seguir.
Caso a principal hipótese diagnóstica seja confirmada, então a gasometria arterial (de amostra colhida sob ar ambiente) da referida paciente deve mostrar hipoxemia e hipercapnia moderadas, pois essas alterações estão obrigatoriamente presentes em todas as fases evolutivas dessa doença.Uma mulher com 68 anos de idade foi atendida no ambulatório de um posto de saúde, com relato de tosse produtiva com
expectoração mucoide, que vem ocorrendo há mais de três anos. Informou ser tabagista (45 maços/ano) e que, nos últimos seis meses,
passou a ter dispneia progressiva aos esforços físicos. O exame físico mostrou: paciente dispneica leve, acianótica, pressão arterial de
120 mmHg × 80 mmHg, frequência cardíaca de 80 bpm, frequência respiratória de 22 irpm, com ritmo cardíaco regular em 2 tempos,
bulhas cardíacas hipofonéticas e ausência de sopros à ausculta cardíaca, diâmetro anteroposterior da caixa torácica aumentado, presença
de hipersonoridade à percussão do tórax e murmúrio vesicular reduzido de forma difusa, com roncos esparsos à ausculta pulmonar; o
restante do exame não apresentou anormalidades. Abaixo é reproduzida a radiografia do tórax em projeção posteroanterior realizada para
essa paciente.

Tendo por base as informações clínicas e a radiografia de tórax apresentadas, julgue os itens a seguir.
Provas
Questão presente nas seguintes provas
Uma mulher com 68 anos de idade foi atendida no ambulatório de um posto de saúde, com relato de tosse produtiva com
expectoração mucoide, que vem ocorrendo há mais de três anos. Informou ser tabagista (45 maços/ano) e que, nos últimos seis meses,
passou a ter dispneia progressiva aos esforços físicos. O exame físico mostrou: paciente dispneica leve, acianótica, pressão arterial de
120 mmHg × 80 mmHg, frequência cardíaca de 80 bpm, frequência respiratória de 22 irpm, com ritmo cardíaco regular em 2 tempos,
bulhas cardíacas hipofonéticas e ausência de sopros à ausculta cardíaca, diâmetro anteroposterior da caixa torácica aumentado, presença
de hipersonoridade à percussão do tórax e murmúrio vesicular reduzido de forma difusa, com roncos esparsos à ausculta pulmonar; o
restante do exame não apresentou anormalidades. Abaixo é reproduzida a radiografia do tórax em projeção posteroanterior realizada para
essa paciente.

Em adição ao quadro clínico em apreço, considere que a paciente tenha procurado um pronto-socorro, duas semanas após o
primeiro atendimento, com queixas de palpitações taquicárdicas, sem sensação de escurecimento visual ou perda de consciência associadas,
e que o exame físico do atendimento atual tenha mostrado: paciente dispneica moderada, com acrocianose leve, pressão arterial de
118 mmHg × 78 mmHg, frequência cardíaca de 110 bpm, frequência respiratória de 23 irpm, com ritmo cardíaco irregular em 2 tempos,
bulhas cardíacas hipofonéticas e ausência de sopros à ausculta cardíaca; sem outras alterações em relação ao exame físico anterior.
Considere, ainda, que a paciente tenha sido submetida à monitorização eletrocardiográfica, cuja tira de eletrocardiograma (ECG) está
mostrada a seguir, na qual podem ser vistas as derivações MC1 (traçado superior), MC2 (traçado intermediário) e D2 modificada (traçado
inferior) — registros feitos com velocidade do papel = 25 mm/s e calibração de 1 cm = 1 mV.

Com base nessa nova condição clínica, julgue os itens seguintes.
Há evidências eletrocardiográficas de corrente de lesão subepicárdica na parede do septo alto do ventrículo esquerdo.expectoração mucoide, que vem ocorrendo há mais de três anos. Informou ser tabagista (45 maços/ano) e que, nos últimos seis meses,
passou a ter dispneia progressiva aos esforços físicos. O exame físico mostrou: paciente dispneica leve, acianótica, pressão arterial de
120 mmHg × 80 mmHg, frequência cardíaca de 80 bpm, frequência respiratória de 22 irpm, com ritmo cardíaco regular em 2 tempos,
bulhas cardíacas hipofonéticas e ausência de sopros à ausculta cardíaca, diâmetro anteroposterior da caixa torácica aumentado, presença
de hipersonoridade à percussão do tórax e murmúrio vesicular reduzido de forma difusa, com roncos esparsos à ausculta pulmonar; o
restante do exame não apresentou anormalidades. Abaixo é reproduzida a radiografia do tórax em projeção posteroanterior realizada para
essa paciente.

Em adição ao quadro clínico em apreço, considere que a paciente tenha procurado um pronto-socorro, duas semanas após o
primeiro atendimento, com queixas de palpitações taquicárdicas, sem sensação de escurecimento visual ou perda de consciência associadas,
e que o exame físico do atendimento atual tenha mostrado: paciente dispneica moderada, com acrocianose leve, pressão arterial de
118 mmHg × 78 mmHg, frequência cardíaca de 110 bpm, frequência respiratória de 23 irpm, com ritmo cardíaco irregular em 2 tempos,
bulhas cardíacas hipofonéticas e ausência de sopros à ausculta cardíaca; sem outras alterações em relação ao exame físico anterior.
Considere, ainda, que a paciente tenha sido submetida à monitorização eletrocardiográfica, cuja tira de eletrocardiograma (ECG) está
mostrada a seguir, na qual podem ser vistas as derivações MC1 (traçado superior), MC2 (traçado intermediário) e D2 modificada (traçado
inferior) — registros feitos com velocidade do papel = 25 mm/s e calibração de 1 cm = 1 mV.

Com base nessa nova condição clínica, julgue os itens seguintes.
Provas
Questão presente nas seguintes provas
O Dr. João, médico contratado por uma empresa
administradora de um plano de saúde privado, realizou uma
auditoria sobre as circunstâncias que levaram o Sr. Armando a
permanecer por mais de dez dias em uma enfermaria de clínica
médica. Tratava-se de internação hospitalar motivada por quadro
clínico constituído por pneumonia associada a derrame pleural.
Durante a entrevista com o paciente e seus familiares, o Dr. João
manifestou claramente sua discordância acerca do emprego dos
antimicrobianos prescritos, disse-se contrário à realização de uma
toracocentese indicada pela equipe assistente e, por considerar que
o paciente corria risco de morte, solicitou a imediata remoção deste
para uma rede hospitalar pertencente ao plano de saúde para o qual
presta serviço, fornecendo laudo médico circunstanciado sobre
dados clínicos para possibilitar a continuidade do tratamento. Na
oportunidade, ele disse não ser necessário contato com a equipe de
médicos que assistiam ao Sr. Armando, uma vez que, na condição
de contratado pelo plano de saúde, tinha plena autoridade para fazer
o que julgasse ser melhor para o paciente. Para provar o acerto de
sua decisão, permitiu aos familiares o manuseio e a obtenção de
cópia do prontuário do Sr. Armando. Por fim, informou que a
transferência deveria ser feita com o prontuário, pois esse
documento pertencia ao paciente.
Considerando a situação hipotética apresentada acima, julgue os
itens a seguir com base no Código de Ética Médica de 2009.
Na condição de auditor, o Dr. João tinha o dever de comunicar por escrito à equipe médica assistente acerca de alterações na conduta instituída, já que considerou que esta oferecia perigo de morte ao paciente.administradora de um plano de saúde privado, realizou uma
auditoria sobre as circunstâncias que levaram o Sr. Armando a
permanecer por mais de dez dias em uma enfermaria de clínica
médica. Tratava-se de internação hospitalar motivada por quadro
clínico constituído por pneumonia associada a derrame pleural.
Durante a entrevista com o paciente e seus familiares, o Dr. João
manifestou claramente sua discordância acerca do emprego dos
antimicrobianos prescritos, disse-se contrário à realização de uma
toracocentese indicada pela equipe assistente e, por considerar que
o paciente corria risco de morte, solicitou a imediata remoção deste
para uma rede hospitalar pertencente ao plano de saúde para o qual
presta serviço, fornecendo laudo médico circunstanciado sobre
dados clínicos para possibilitar a continuidade do tratamento. Na
oportunidade, ele disse não ser necessário contato com a equipe de
médicos que assistiam ao Sr. Armando, uma vez que, na condição
de contratado pelo plano de saúde, tinha plena autoridade para fazer
o que julgasse ser melhor para o paciente. Para provar o acerto de
sua decisão, permitiu aos familiares o manuseio e a obtenção de
cópia do prontuário do Sr. Armando. Por fim, informou que a
transferência deveria ser feita com o prontuário, pois esse
documento pertencia ao paciente.
Considerando a situação hipotética apresentada acima, julgue os
itens a seguir com base no Código de Ética Médica de 2009.
Provas
Questão presente nas seguintes provas
Uma mulher com 68 anos de idade foi atendida no ambulatório de um posto de saúde, com relato de tosse produtiva com
expectoração mucoide, que vem ocorrendo há mais de três anos. Informou ser tabagista (45 maços/ano) e que, nos últimos seis meses,
passou a ter dispneia progressiva aos esforços físicos. O exame físico mostrou: paciente dispneica leve, acianótica, pressão arterial de
120 mmHg × 80 mmHg, frequência cardíaca de 80 bpm, frequência respiratória de 22 irpm, com ritmo cardíaco regular em 2 tempos,
bulhas cardíacas hipofonéticas e ausência de sopros à ausculta cardíaca, diâmetro anteroposterior da caixa torácica aumentado, presença
de hipersonoridade à percussão do tórax e murmúrio vesicular reduzido de forma difusa, com roncos esparsos à ausculta pulmonar; o
restante do exame não apresentou anormalidades. Abaixo é reproduzida a radiografia do tórax em projeção posteroanterior realizada para
essa paciente.

Em adição ao quadro clínico em apreço, considere que a paciente tenha procurado um pronto-socorro, duas semanas após o
primeiro atendimento, com queixas de palpitações taquicárdicas, sem sensação de escurecimento visual ou perda de consciência associadas,
e que o exame físico do atendimento atual tenha mostrado: paciente dispneica moderada, com acrocianose leve, pressão arterial de
118 mmHg × 78 mmHg, frequência cardíaca de 110 bpm, frequência respiratória de 23 irpm, com ritmo cardíaco irregular em 2 tempos,
bulhas cardíacas hipofonéticas e ausência de sopros à ausculta cardíaca; sem outras alterações em relação ao exame físico anterior.
Considere, ainda, que a paciente tenha sido submetida à monitorização eletrocardiográfica, cuja tira de eletrocardiograma (ECG) está
mostrada a seguir, na qual podem ser vistas as derivações MC1 (traçado superior), MC2 (traçado intermediário) e D2 modificada (traçado
inferior) — registros feitos com velocidade do papel = 25 mm/s e calibração de 1 cm = 1 mV.

Com base nessa nova condição clínica, julgue os itens seguintes.
A situação clínica descrita, em associação com a alteração eletrocardiográfica observada na tira de ECG mostrada, requer que seja realizada imediata cardioversão elétrica sincronizada.expectoração mucoide, que vem ocorrendo há mais de três anos. Informou ser tabagista (45 maços/ano) e que, nos últimos seis meses,
passou a ter dispneia progressiva aos esforços físicos. O exame físico mostrou: paciente dispneica leve, acianótica, pressão arterial de
120 mmHg × 80 mmHg, frequência cardíaca de 80 bpm, frequência respiratória de 22 irpm, com ritmo cardíaco regular em 2 tempos,
bulhas cardíacas hipofonéticas e ausência de sopros à ausculta cardíaca, diâmetro anteroposterior da caixa torácica aumentado, presença
de hipersonoridade à percussão do tórax e murmúrio vesicular reduzido de forma difusa, com roncos esparsos à ausculta pulmonar; o
restante do exame não apresentou anormalidades. Abaixo é reproduzida a radiografia do tórax em projeção posteroanterior realizada para
essa paciente.

Em adição ao quadro clínico em apreço, considere que a paciente tenha procurado um pronto-socorro, duas semanas após o
primeiro atendimento, com queixas de palpitações taquicárdicas, sem sensação de escurecimento visual ou perda de consciência associadas,
e que o exame físico do atendimento atual tenha mostrado: paciente dispneica moderada, com acrocianose leve, pressão arterial de
118 mmHg × 78 mmHg, frequência cardíaca de 110 bpm, frequência respiratória de 23 irpm, com ritmo cardíaco irregular em 2 tempos,
bulhas cardíacas hipofonéticas e ausência de sopros à ausculta cardíaca; sem outras alterações em relação ao exame físico anterior.
Considere, ainda, que a paciente tenha sido submetida à monitorização eletrocardiográfica, cuja tira de eletrocardiograma (ECG) está
mostrada a seguir, na qual podem ser vistas as derivações MC1 (traçado superior), MC2 (traçado intermediário) e D2 modificada (traçado
inferior) — registros feitos com velocidade do papel = 25 mm/s e calibração de 1 cm = 1 mV.

Com base nessa nova condição clínica, julgue os itens seguintes.
Provas
Questão presente nas seguintes provas
Cadernos
Caderno Container