Foram encontradas 50 questões.
As lesões com manifestações bucais fortemente relacionadas à infecção pelo HIV são:
Provas
Questão presente nas seguintes provas
Paciente do sexo masculino, com 55 anos de idade, apresenta ao exame radiográfico as seguintes características: área radiolúcida uninocular bem delimitada com cerca de 0,8 mm de diâmetro, localizada ao longo da superfície lateral das raízes dos dentes 43 e 44. As lâminas duras destes dentes apresentam-se íntegras e os mesmos respondem positivamente ao teste de vitalidade pulpar. São características clínicas e radiográficas do cisto:
Provas
Questão presente nas seguintes provas
TEXTO –
OS COITADINHOS
SÃO PAULO – Anestesiada e derrotada, a sociedade nem está percebendo a enorme inversão de valores em curso. Parece aceitar como normal que um grupo de criminosos estenda faixas pela cidade e nelas fale de paz.
Que paz? Não foram esses mesmos adoráveis senhores que decapitaram ou mandaram decapitar seus próprios companheiros de comunidade durante as recentes rebeliões?
A sociedade ouve em silêncio o juiz titular da Vara de Execuções Penais, Otávio Augusto Barros Filho, dizer que não vai resolver nada a transferência e isolamento dos líderes do PCC (Primeiro Comando da Capital ou Partido do Crime.)
Digamos que não resolva. Qual é a alternativa oferecida pelo juiz? Libertá-los todos? Devolvê-los aos presídios dos quais gerenciam livremente seus negócios e determinam quem deve viver e quem deve morrer?
Vamos, por um momento que seja, cair na real: os presos, por mais hediondos que tenham sido seus crimes, merecem, sim, tratamento digno e humano. Mas não merecem um micrograma que seja de privilégios, entre eles o de determinar onde cada um deles fica preso.
Há um coro, embora surdo, que tenta retratar criminosos como coitadinhos, vítimas do sistema. Calma lá. Coitadinhos e vítimas do sistema, aqui, são os milhões de brasileiros que sobrevivem com salários obscenamente baixos (ou sem salário algum) e, não obstante, mantêm-se teimosamente honestos.
Coitadinhos e vítimas de um sistema ineficiente, aqui, são os parentes dos abatidos pela violência, condenados à prisão perpétua que é a dor pela perda de alguém querido, ao passo que o criminoso não fica mais que 30 anos na cadeia.
Parafraseando Millôr Fernandes: ou restaure-se a dignidade para todos, principalmente para os coitadinhos de verdade, ou nos rendamos de uma vez à Crime Incorporation.
Clóvis Rossi – Folha de São Paulo, 25/02/01
"os... os presos, por mais hediondos que tenham sido seus crimes, merecem sim tratamento digno e humano. Mas não merecem um micrograma que seja de privilégios, entre eles o de determinar onde cada um deles fica preso."; nesse segmento do texto há uma série de vocábulos que se referem a elementos anteriores. O item em que a correspondência entre os dois NÃO está perfeita é:
Provas
Questão presente nas seguintes provas
Janela imunológica é:
Provas
Questão presente nas seguintes provas
Paciente de 4 anos, acompanhado da mãe apresenta-se à clínica após traumatismo causado por, queda. Ao exame clínico observa-se a intrusão das coroas dos incisivos centrais superiores decíduos. O exame radiográfico mostrou que não houve comprometimento dos dentes permanentes. O tratamento de escolha para esse caso é:
Provas
Questão presente nas seguintes provas
As ligas de amálgama com baixo conteúdo de cobre possuem um escoamento maior que as ligas de fase dispersa e de composição única ricas em cobre. Isto se deve a maior creep devido a:
Provas
Questão presente nas seguintes provas
TEXTO –
OS COITADINHOS
SÃO PAULO – Anestesiada e derrotada, a sociedade nem está percebendo a enorme inversão de valores em curso. Parece aceitar como normal que um grupo de criminosos estenda faixas pela cidade e nelas fale de paz.
Que paz? Não foram esses mesmos adoráveis senhores que decapitaram ou mandaram decapitar seus próprios companheiros de comunidade durante as recentes rebeliões?
A sociedade ouve em silêncio o juiz titular da Vara de Execuções Penais, Otávio Augusto Barros Filho, dizer que não vai resolver nada a transferência e isolamento dos líderes do PCC (Primeiro Comando da Capital ou Partido do Crime.)
Digamos que não resolva. Qual é a alternativa oferecida pelo juiz? Libertá-los todos? Devolvê-los aos presídios dos quais gerenciam livremente seus negócios e determinam quem deve viver e quem deve morrer?
Vamos, por um momento que seja, cair na real: os presos, por mais hediondos que tenham sido seus crimes, merecem, sim, tratamento digno e humano. Mas não merecem um micrograma que seja de privilégios, entre eles o de determinar onde cada um deles fica preso.
Há um coro, embora surdo, que tenta retratar criminosos como coitadinhos, vítimas do sistema. Calma lá. Coitadinhos e vítimas do sistema, aqui, são os milhões de brasileiros que sobrevivem com salários obscenamente baixos (ou sem salário algum) e, não obstante, mantêm-se teimosamente honestos.
Coitadinhos e vítimas de um sistema ineficiente, aqui, são os parentes dos abatidos pela violência, condenados à prisão perpétua que é a dor pela perda de alguém querido, ao passo que o criminoso não fica mais que 30 anos na cadeia.
Parafraseando Millôr Fernandes: ou restaure-se a dignidade para todos, principalmente para os coitadinhos de verdade, ou nos rendamos de uma vez à Crime Incorporation.
Clóvis Rossi – Folha de São Paulo, 25/02/01
"...merecem, sim, tratamento digno e humano.”"; o uso do vocábulo sim significa que:
Provas
Questão presente nas seguintes provas
Alguns AINEs(antinflamatório não esteroidal) como Feldene (PFIZER), Feldox (FARMION) e Felnan (E.M.S.) são comumente utilizados em Odontologia e já são encontrados à venda como genérico. O principal componente ativo desses produtos é o sal:
Provas
Questão presente nas seguintes provas
São lesões causadas por Sífilis no seu estágio secundário:
Provas
Questão presente nas seguintes provas
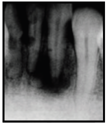
Analise a figura a seguir:

Radiograficamente, pode-se visualizar:
Provas
Questão presente nas seguintes provas
Cadernos
Caderno Container