Foram encontradas 698 questões.
O consumo regular de alimentos ricos em cálcio e a manutenção do peso saudável são fatores protetores do câncer de
Provas
Questão presente nas seguintes provas
A recomendação proteica de 1,5 a 2,0 gramas/kg peso corporal/dia para praticantes de atividade física, com o objetivo de
manter balanço nitrogenado positivo, evitar o catabolismo de proteínas e melhorar a recuperação, é indicada para indivíduos:
Provas
Questão presente nas seguintes provas
Desmopressina (DDAVP) intranasal será prescrita com maior probabilidade a um paciente que apresenta
Provas
Questão presente nas seguintes provas
Artrite séptica se refere a infecção em uma articulação; é geralmente causada por bactéria, mas também por fungos e
micobactérias. Entre os fatores que predispõem a este tipo de infecção NÃO se inclui
Provas
Questão presente nas seguintes provas
São diferenças entre retocolite ulcerativa inespecífica (RCUI) e doença de Crohn (DC):
Provas
Questão presente nas seguintes provas
Um homem de 56 anos portador de hipertensão leve em tratamento procura o pronto-socorro com queixa de forte dor precordial,
sem irradiação, de intensidade progressiva há 8 horas. Está ansioso, T = 37 ºC, pálido, sudoreico, com pulso rítmico
= 88 bat/min, PA = 134 × 84 mmHg, ausculta pulmonar e cardíaca normais. O ECG é mostrado abaixo:

O local não dispõe de serviço de hemodinâmica. São colhidos exames laboratoriais. A conduta inicial mais adequada é

O local não dispõe de serviço de hemodinâmica. São colhidos exames laboratoriais. A conduta inicial mais adequada é
Provas
Questão presente nas seguintes provas
Dos abaixo, é considerado altamente agressivo, o linfoma do tipo
Provas
Questão presente nas seguintes provas
São características da doença renal crônica:
Provas
Questão presente nas seguintes provas
Lúpus eritematoso sistêmico pode provocar uma série de aliterações cardíacas, sendo mais frequente a ocorrência de
Provas
Questão presente nas seguintes provas
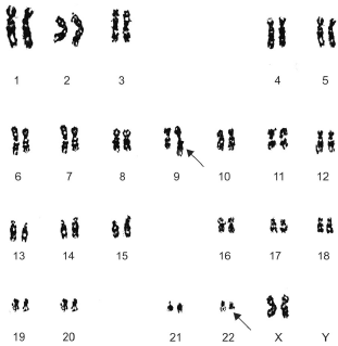
A figura abaixo mostra um cariótipo feminino com translocação recíproca e equilibrada entre os braços longos dos cromossomos
9 e 22.

É mais provável que esta paciente apresente leucemia

É mais provável que esta paciente apresente leucemia
Provas
Questão presente nas seguintes provas
Cadernos
Caderno Container