Foram encontradas 492 questões.
O endotélio é uma monocamada do epitélio pavimentoso, localizado entre o sangue circulante e a camada média do músculo liso vascular. Utiliza essa posição estratégica para manter a homeostase da parede vascular e regulação da circulação. Possui inúmeras funções, das quais destaca-se a função endócrina. Em resposta a estímulos humorais, neurais e mecânicos, sintetiza e libera substâncias vasoativas que modulam o tônus, favorecem o calibre vascular e o fluxo sanguíneo, desempenhando papel fundamental na regulação da circulação. Dentre elas, são substâncias vasodilatadoras:
Provas
A oxigenioterapia consiste na administração de oxigênio em concentrações maiores do que aquelas encontradas no ar ambiente com a intenção de tratar ou prevenir sinais e sintomas da hipoxemia. A suplementação de oxigênio pode ser ofertada por meio de:
Provas
A epicondilite lateral ou ´´cotovelo de tenista" é uma condição dos tendões extensores comuns do punho ao longo do epicôndilo lateral e da articulação radioumeral. Atividades, como a prática do tênis, requerem estabilidade firme de punho, podem inflamar a unidade musculotendínea e provocar sintomas. O tratamento fisioterapêutico no estágio subagudo e crônico recomendado é:
Provas
A oxigenação por membrana extracorpórea é também conhecida por ECMO e tem como principal objetivo manter a melhor relação ventilação/perfusão possível. Para tanto, é necessário melhorar a oxigenação de pacientes que cursam com aumento da resistência vascular pulmonar. Quais são algumas das aplicações clínicas para casos de ECMO?
Provas
A alta incidência de enfermidades pulmonares na infância exige uma terapêutica respiratória bem especifica. Cabe ao fisioterapeuta conhecer a criança, identificar sua historia, analisar seus exames e traçar o tratamento que mais se adapta ao caso, lembrando que cada criança é única. Sobre patologias que acometem a criança, tem-se a síndrome do bebê chiador, que consiste em:
Provas
Observe os gráficos que seguem. Eles são chamados de loops e fornecem informações rápidas sobre mudanças mecânicas na função respiratória.

Provas
A gravidez é uma ocasião de intensas alterações musculoesqueléticas físicas e emocionais e, ainda assim, uma condição de saúde. O fisioterapeuta é capaz de avaliar e ajudar a mulher grávida com queixas musculoesqueléticas especificas, incorporando o conhecimento de lesão e cicatrização dos tecidos com o conhecimento das mudanças. Uma gestante, a partir do quarto mês da gestação, pode ser orientada para:
Provas
Posicionar a criança em decúbito dorsal, tendo as mãos do fisioterapeuta sobre o tórax e o abdome, e, ao final de uma expiração espontânea, fazer pressão manual sobre o tórax no sentido caudal e sobre o abdome no sentido cefálico, mantendo a pressão por dois a três ciclos respiratórios. Ao término, retirar as mãos e aguardar nova expiração para novamente realizar a técnica, se necessário. Esta descrição refere-se a qual técnica de desobstrução de vias aéreas usada em lactentes?
Provas
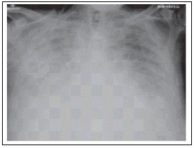
Observe a radiografia de tórax a seguir.

Provas
No setor de pronto atendimento, considerando que o procedimento de instalação de via aérea definitiva deva ser de emergência, é necessário que o fisioterapeuta emergencista tenha conhecimento das técnicas de via aérea difícil, para dar auxílio aos profissionais quando esta se fizer necessária. Diante do exposto, qual é o papel do fisioterapeuta em uma sala de reanimação durante um procedimento de intubação orotraqueal?
Provas
Caderno Container