Foram encontradas 50 questões.
No tratamento do Tabagismo é correto afirmar que
Provas
Assinale a alternativa correta em relação aos agentes infecciosos relacionados às exacerbações de bronquiectasia:
Provas
Em pacientes com Síndrome de Imunodeficiência Adquirida e Tuberculose,
Provas
Na síndrome do desconforto respiratório agudo (SDRA), é correto afirmar que
Provas
Nos pacientes com Câncer de pulmão não pequenas células, a investigação de rotina dos doentes assintomáticos inclui a solicitação de
Provas
É uma das síndromes paraneoplásicas mais comuns associadas ao câncer do pulmão; embora sua presença esteja associada à neoplasia pulmonar em mais de 80% dos casos, principalmente ao carcinoma escamoso e ao adenocarcinoma, ela pode ser encontrada também em doenças não-neoplásicas, como processos pulmonares supurativos, fibrose pulmonar idiopática, tuberculose, proteinose alveolar, pneumoconioses e fibrose cística:
Provas
Assinale a alternativa correta em relação a pacientes com Fibrose Cística.
Provas
É correto afirmar, em relação ao tratamento para Tuberculose:
Provas
Durante o 4º Simpósio Mundial de Hipertensão Arterial Pulmonar (HAP) ocorrido em 2008, em DANA POINT (Califórnia, USA), ficou decidido considerar-se portadores de HAP e, portanto, candidatos ao Protocolo de Tratamento, aquela devido ou associada à:
Provas
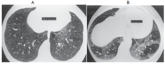
Analise as imagens abaixo, de uma mesma paciente, e asinale a opção com a patologia que melhor as representam
a) Imagem em inspiração revela discreta atenuação em mosaico. B) Imagem em expiração mostra melhor as anormalidades.

Provas
Caderno Container