Foram encontradas 187 questões.
'POKEMON GO' NÃO É DESTINADO ÀS CRIANÇAS
Rosely Sayão
Muitos pais se afetam tanto com os caprichos dos filhos. O capricho atual é jogar "Pokemon Go". Então vamos enfrentar a fera, já que inúmeros pais querem saber se deixam o filho ter o jogo, qual a idade para começar, se pode prejudicar, se pode beneficiar, qual o tempo que se deve permitir que a criança se dedique ao jogo, como fazer para ela aceitar o limite de tempo etc.
Um pai pegou um táxi só para que o filho conseguisse caçar uma determinada criatura do jogo, outro deixou a filha de 11 anos ir até um lugar que considera perigoso porque ela estava acompanhada de outras colegas e "precisava" muito ganhar um ovo virtual. O pai ficou preocupado, mas permitiu. Assim fica difícil!
Meus caros pais, um jogo é um jogo, apenas isso. As características desse em particular revelam que ele não é destinado às crianças. Quantas delas saem para o espaço público desacompanhadas de um adulto na "vida real"? Como 9 nossas crianças são jovens desde os primeiros anos de vida, porém, foram capturadas pela sensação do momento. Mas os pais devem ter suas referências, e não abdicar delas só porque a atividade virou febre social.
O primeiro passo é conhecer o jogo: como funciona, quais as metas, o que o filho deve fazer para alcançá-las. Se, para a família, ele não é inconveniente, não transgride os princípios priorizados, não apresenta imagens ou atos que ela não aceite, ela pode permitir que o filho brinque. Não é preciso aprender a jogar ou apreciar, mas é necessário conhecer os princípios básicos do aplicativo antes de permiti-lo.
O segundo passo é avaliar o tempo que o filho tem em seu cotidiano para ajudá-lo a administrar isso entre todas as atividades e ainda ter tempo para ficar sem fazer nada. Como há crianças mais rápidas e outras que dedicam mais tempo a cada atividade, não é possível determinar um tempo padrão. Aqueles que fazem tudo mais rapidamente não podem dedicar tanto tempo ao jogo; os que fazem tudo mais tranquilamente, porém, podem brincar mais, por exemplo.
Uma coisa é certa: a criança e o jovem têm muito o que fazer e pensar, por isso não podem se limitar a uma atividade específica. Caros pais, observem o tamanho e a complexidade do mundo que eles precisam conhecer!
Quando uma criança ou jovem gosta muito de algo, seja por iniciativa pessoal ou por adesão do grupo, é fácil para ele ficar horas e horas só naquilo, prejudicando todo o resto. Os pais não devem permitir. Para tanto, devem fazer valer sua autoridade, dizendo "agora chega". Isso vale para tudo, porque os mais novos ainda não têm ou estão desenvolvendo seu índice de saciedade. E o "agora chega" dos pais ajuda muito a estabelecer esse limite.
Os filhos vão reclamar, choramingar, brigar, implorar, insistir, tentar negociar, seduzir, propor trocas, chantagear. São as estratégias que têm para alcançar o que querem. E são, portanto, legítimas.
Os pais precisam bancar tudo isso e firmar sua decisão, mesmo que seja para aguentar cara feia. Aliás, os filhos sabem muito bem que isso costuma funcionar. Mas cara feia passa, lembram disso?
Por fim, é importante ensinar, nas entrelinhas, que não é bom se tornar escravo de um capricho, de um gosto, de uma diversão. É muito melhor prepará-los para que sejam autônomos e livres, não é?.
Disponível em: http://www1.folha.uol.com.br/colunas/
roselysayao/2016/08/1803351-pokemon-go-nao-e-destinado-as-criancas.shtml. Acessado em 24 setembro 2016.
A frase Caros pais, observem o tamanho e a complexidade do mundo que eles precisam conhecer! , no contexto em que se encontra, significa um alerta da autora do texto para que os pais
Provas
Questão presente nas seguintes provas
A ISO (International Organization for Standardization) – Organização Internacional para Padronização –, é uma entidade de padronização e normatização, e foi criada em Genebra, na Suiça, em 1947. Como em cada país de línguas diferentes existiria uma sigla diferente, os fundadores decidiram escolher uma só sigla para todos os países: ISO. Esta foi a sigla escolhida porque em grego isos significa "igual", o que se enquadra no propósito da organização em questão. Sobre a ISO, podemos afirmar que
Provas
Questão presente nas seguintes provas
- Linguagens e Suportes MidiáticosProdução AudiovisualTeorias, Conceitos e Terminologia de Audiovisual e Cinema
Sobre movimentos no quadro, da câmera e da objetiva, profundidade de campo em linguagem cinematográfica:
I) Em movimentos de objetiva, quando se utiliza uma lente do tipo zoom, modifica-se o ângulo visual durante a tomada. Quando “aproxima” a imagem temos o zoom-in, quando “afasta”, o zoom-out.
II) Profundidade de campo é um efeito que descreve até que ponto objetos que estão mais ou menos perto do plano de foco aparentam estar nítidos. Este efeito é dado por um fenômeno ótico denominado de círculos de confusão, que aumentam progressivamente conforme os objetos se afastam do plano de foco.
III) Para registrar um personagem ou objeto e isolá-lo do fundo em um enquadramento, usa-se a maior profundidade de campo.
IV) A abertura de um diafragma na hora da captação da imagem não interfere na profundidade de campo.
Está(ão)correta(s),
Provas
Questão presente nas seguintes provas
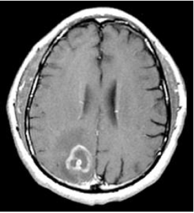
Paciente masculino, 32 anos, AIDS (CD4=98), chega ao PS com queixa de cefaleia há 2 semanas, com diminuição da força em MSE e febre. Realizada tomografia computadorizada de crânio, evidencia a imagem abaixo.

Qual hipótese diagnóstica é a mais provável?
Provas
Questão presente nas seguintes provas
'POKEMON GO' NÃO É DESTINADO ÀS CRIANÇAS
Rosely Sayão
Muitos pais se afetam tanto com os caprichos dos filhos. O capricho atual é jogar "Pokemon Go". Então vamos enfrentar a fera, já que inúmeros pais querem saber se deixam o filho ter o jogo, qual a idade para começar, se pode prejudicar, se pode beneficiar, qual o tempo que se deve permitir que a criança se dedique ao jogo, como fazer para ela aceitar o limite de tempo etc.
Um pai pegou um táxi só para que o filho conseguisse caçar uma determinada criatura do jogo, outro deixou a filha de 11 anos ir até um lugar que considera perigoso porque ela estava acompanhada de outras colegas e "precisava" muito ganhar um ovo virtual. O pai ficou preocupado, mas permitiu. Assim fica difícil!
Meus caros pais, um jogo é um jogo, apenas isso. As características desse em particular revelam que ele não é destinado às crianças. Quantas delas saem para o espaço público desacompanhadas de um adulto na "vida real"? Como nossas crianças são jovens desde os primeiros anos de vida, porém, foram capturadas pela sensação do momento. Mas os pais devem ter suas referências, e não abdicar delas só porque a atividade virou febre social.
O primeiro passo é conhecer o jogo: como funciona, quais as metas, o que o filho deve fazer para alcançá-las. Se, para a família, ele não é inconveniente, não transgride os princípios priorizados, não apresenta imagens ou atos que ela não aceite, ela pode permitir que o filho brinque. Não é preciso aprender a jogar ou apreciar, mas é necessário conhecer os princípios básicos do aplicativo antes de permiti-lo.
O segundo passo é avaliar o tempo que o filho tem em seu cotidiano para ajudá-lo a administrar isso entre todas as atividades e ainda ter tempo para ficar sem fazer nada. Como há crianças mais rápidas e outras que dedicam mais tempo a cada atividade, não é possível determinar um tempo padrão. Aqueles que fazem tudo mais rapidamente não podem dedicar tanto tempo ao jogo; os que fazem tudo mais tranquilamente, porém, podem brincar mais, por exemplo.
Uma coisa é certa: a criança e o jovem têm muito o que fazer e pensar, por isso não podem se limitar a uma atividade específica. Caros pais, observem o tamanho e a complexidade do mundo que eles precisam conhecer!
Quando uma criança ou jovem gosta muito de algo, seja por iniciativa pessoal ou por adesão do grupo, é fácil para ele ficar horas e horas só naquilo, prejudicando todo o resto. Os pais não devem permitir. Para tanto, devem fazer valer sua autoridade, dizendo "agora chega". Isso vale para tudo, porque os mais novos ainda não têm ou estão desenvolvendo seu índice de saciedade. E o "agora chega" dos pais ajuda muito a estabelecer esse limite.
Os filhos vão reclamar, choramingar, brigar, implorar, insistir, tentar negociar, seduzir, propor trocas, chantagear. São as estratégias que têm para alcançar o que querem. E são, portanto, legítimas.
Os pais precisam bancar tudo isso e firmar sua decisão, mesmo que seja para aguentar cara feia. Aliás, os filhos sabem muito bem que isso costuma funcionar. Mas cara feia passa, lembram disso?
Por fim, é importante ensinar, nas entrelinhas, que não é bom se tornar escravo de um capricho, de um gosto, de uma diversão. É muito melhor prepará-los para que sejam autônomos e livres, não é?.
Disponível em: http://www1.folha.uol.com.br/colunas/
roselysayao/2016/08/1803351-pokemon-go-nao-e-destinado-as-criancas.shtml. Acessado em 24 setembro 2016.
As palavras abdicar, transgride e adesão podem ser substituídas, sem alterar o conteúdo do texto, por
Provas
Questão presente nas seguintes provas
Homem de 23 anos é trazido por amigos com depressão do sistema nervoso central após crises de vômito. Acompanhantes informam que o quadro foi de início súbito. Ao exame encontra-se febril com temperatura axilar de 38° C, taquipneico e taquicárdico, sem rigidez de nuca ou alterações de pele. HGT 176 mg/dL, PA 110/60 mmHG e saturação de O2 96% Tem hálito alcoólico e odor de combustível. Neste caso, a principal suspeita é de:
Provas
Questão presente nas seguintes provas
Durante a fase de estudos preliminares de uma construção, é de extrema importância o conhecimento das características do terreno onde esta será executada, como exemplo, as diferenças de níveis que este terreno apresenta. Assim, o procedimento que nos permite verificar as diferenças de níveis em um terreno é chamado de
Provas
Questão presente nas seguintes provas
Analise as seguintes afirmações sobre equalizadores:
I) Equalizadores gráficos possuem “Q” variável.
II) Equalizadores paramétricos possuem controles de frequência, ganho e Q ajustáveis.
III) Filtros tipo “notch” possuem Q muito elevado e atenuação muito forte, sendo bastante empregados na remoção de ruídos de faixa estreita.
IV) O “de-esser” é um tipo de equalizador que atenua frequências onde o/a vocalista tende a anasalar o vocal.
Está(ão) correta(s),
Provas
Questão presente nas seguintes provas
DIFERENÇAS ESTRUTURAIS ENTRE CÉREBRO DE HOMENS E MULHERES PODE SER MITO, SUGERE ESTUDO COM NEUROIMAGENS
“O cérebro masculino é mais racional; o feminino, mais emotivo.” Quem já não ouviu esse senso comum? E, além disso, há quem diga que homens são biologicamente mais propensos a seguir carreira na área das exatas e, as mulheres, no campo das humanas. Um estudo feito na Universidade de Tel-Aviv, no entanto, sugere que essas percepções são superficiais e, muito possivelmente, carregadas de vieses culturais. Com base no estudo de imagens do cérebro de mais de 1.400 pessoas, os cientistas descobriram que cérebros de homens e de mulheres compartilham uma miscelânea de formas, que pareceriam variar mais de indivíduo para indivíduo do que de sexo para sexo.
Os neurocientistas encontraram algumas poucas diferenças estruturais. O hipocampo esquerdo – área associada com a memória – costumava ser maior em homens, por exemplo. No entanto, houve uma quantidade significativa de cérebros femininos em que essa região era do tamanho típico de um cérebro masculino. Por outro lado, em diversos cérebros masculinos o hipocampo esquerdo era menor do que a média dos femininos.
Mas então por que homens e mulheres agem de forma tão diferente? Há base neurobiológica para isso? Segundo a chefe de pesquisa, Daphna Joel, isso parece ser um mito. Sua equipe analisou dados sobre comportamentos estereotipados de cada gênero, como jogar videogame e fazer artesanato. Os resultados também foram muito variados: apenas 0,1% dos indivíduos tinha apenas comportamentos considerados femininos ou apenas comportamentos considerados masculinos. Joel acredita que os resultados, publicados no Proceedings of the National Academy of Sciences, são um primeiro passo para revolucionar a forma como o cérebro é compreendido pela comunidade científica e as percepções sobre gênero.
A análise da estrutura sintática da passagem “Com base no estudo de imagens do cérebro de mais de 1.400 pessoas, os cientistas descobriram que cérebros de homens e de mulheres compartilham uma miscelânea de formas, que pareceriam variar mais de indivíduo para indivíduo do que de sexo para sexo” nos permite afirmar que as palavras “que” destacadas em negrito são, respectivamente,
Provas
Questão presente nas seguintes provas
- Linguagens e Suportes MidiáticosProdução AudiovisualRoteiro, Produção e Edição de Conteúdo Audiovisual e Cinematográfico
Quando falamos de compressores, sabemos que o parâmetro que determina o tempo em que um compressor leva para reagir ao fato do sinal ter ultrapassado o ponto de threshold é:
Provas
Questão presente nas seguintes provas
Cadernos
Caderno Container