Foram encontradas 54 questões.
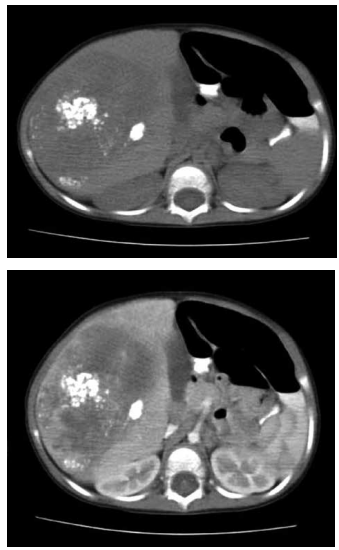
Criança, 18 meses, apresentando massa indolor
palpável no quadrante superior direito do abdome e perda de peso. Solicitados exames laboratoriais demonstrando anemia e elevação de alfafetoproteina (AFP) e
exame de imagem conforme demonstrado abaixo.

A partir do quadro clínico e exame de imagem, pode-se afirmar, EXCETO:

A partir do quadro clínico e exame de imagem, pode-se afirmar, EXCETO:
Provas
Questão presente nas seguintes provas
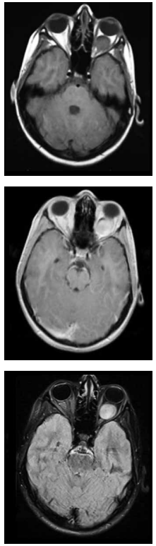
Adolescente, 14 anos, com queixa de perda progressiva da acuidade visual à esquerda.

Após a realização do exame de imagem, pode-se afirmar que:
Provas
Questão presente nas seguintes provas
Considerando a osteomielite crônica, alguns
achados são usualmente encontrados nos exames de imagem, EXCETO:
Provas
Questão presente nas seguintes provas
Criança de 8 anos, sexo masculino, vem apresentando história de infecção do trato urinário de repetição com relato de internação há 2 meses por febre
alta e dor lombar. Foi encaminhada ao setor de
radiologia pediátrica para investigação.

Após a análise do exame, pode-se afirmar que:

Após a análise do exame, pode-se afirmar que:
Provas
Questão presente nas seguintes provas
Paciente de 15 anos, sexo masculino, IMC = 38
kg/m2, vem apresentando dor na coxa e região
púbica a esquerda há 4 semanas e queixa de claudicação intermitente. Nega trauma e não refere a
prática de atividades físicas. Foi encaminhado ao
ortopedista que solicitou exame radiográfico.

Considerando o quadro clínico e o exame radiográfico, pode-se afirmar que:

Considerando o quadro clínico e o exame radiográfico, pode-se afirmar que:
Provas
Questão presente nas seguintes provas
Mãe relata que lactente de 2 meses, alimentando-se exclusivamente de leite materno, vem
apresentando quadro clínico de vômitos em jatos,
não-biliosos, sem ganho de peso, com sinais
de irritação após a amamentação. Ao exame
físico encontra-se levemente desidratado +/+4,
anictérico, acianótico, com pequeno abaulamento
e massa palpável no quadrante superior direito.
Pediatra solicitou exame laboratoriais e avaliação
por imagem.

Considerando o quadro clínico e o exame de imagem, pode-se afirmar que:

Considerando o quadro clínico e o exame de imagem, pode-se afirmar que:
Provas
Questão presente nas seguintes provas
Uma mulher de 72 anos há 6 meses anda mais
devagar e seu tom de voz está mais baixo. Seu
marido reclama que ela está falando enquanto
dorme e o chuta várias vezes. Alguns dias, ela fica
mais distraída e apresentou duas quedas nos últimos 2 meses. Há 4 semanas tem dito que uma
criança fica entrando na sua casa e correndo na
sala. No MEEM, o desempenho na cópia dos pentágonos entrelaçados foi particularmente ruim em
comparação aos outros domínios cognitivos. Assinale a hipótese diagnóstica para o caso descrito.
Provas
Questão presente nas seguintes provas
Um homem de 30 anos é atendido na emergência com febre, dor abdominal, náuseas, vômitos e
diarreia aguda com sangue. Evoluiu com melhora
rápida após hidratação e antibióticos e recebeu alta
com omeprazol e ciprofloxacina após 48 horas.
Exames laboratoriais apresentavam normalidade,
exceto por leucocitose. Uma semana depois da
alta, apresenta febre baixa, erupção cutânea maculopapular no tronco e artralgia. Novos exames evidenciam creatinina 3,4, hemograma com eosinofilia
e EAS com leucocitúria e cilindros leucocitários.
Para a situação descrita o diagnóstico provável é:
Provas
Questão presente nas seguintes provas
Uma mulher de 48 anos está em tratamento para
hipertensão arterial a qual persiste sem controle
adequado apesar do uso de três anti-hipertensivos
em dose adequada (enalapril, clortalidona e anlodipina). Ela nega outras doenças e não apresenta
acometimento de órgãos alvo. Para este contexto,
a conduta indicada é acrescentar:
Provas
Questão presente nas seguintes provas
Uma mulher de 20 anos procura emergência
com forte dor de cabeça de caráter pulsátil, localizada em região frontoparietal direita, associada a
náuseas e vômitos. Na sala de espera, mantém-se
quieta e de olhos fechados, pois a claridade e o
barulho a incomodam. Há 2 anos apresenta episódios semelhantes de dor com duração de 2 dias,
que acometem um dos lados da cabeça (às vezes
o direito, às vezes o esquerdo) e são frequentemente precipitados por jejum. Há 3 meses os episódios ficaram mais frequentes quando começou
a trabalhar durante a noite e a dormir pouco. O
diagnóstico provável para a situação descrita é:
Provas
Questão presente nas seguintes provas
Cadernos
Caderno Container