Foram encontradas 40 questões.
Assinale a alternativa CORRETA, com relação às radiografias digitais.
Provas
Questão presente nas seguintes provas
Quanto à técnica radiográfica mais adequada para a detecção de cáries secundárias sob restaurações e processos de cáries nas fases iniciais em molares, a alternativa CORRETA é:
Provas
Questão presente nas seguintes provas
______ brinquedo para menina e para menino? Cansada de ver as meninas se divertindo com bonecas e xícaras, Debbie Sterling, uma engenheira formada em Stanford, _______ criar sua própria linha de brinquedos para garotas. Em lugar de bonecas, ______ livros interativos, blocos e ferramentas de construção. Tudo animado pela personagem Goldie, uma pequena inventora. O objetivo, segundo Debie, é estimular a imaginação das garotas e mostrar que, se ______, elas _____ ser engenheiras e inventoras também.
A alternativa que apresenta as formas verbais adequadas para completar os espaços vazios no texto acima é:
Provas
Questão presente nas seguintes provas
Lesões proximais de cáries são detectáveis radiograficamente apenas quando já houve 30% – 40% de desmineralização, permitindo, então, que a lesão seja diferenciada de esmalte e dentina normais. (Whaites, 2006).
Assinale a alternativa CORRETA.
Provas
Questão presente nas seguintes provas
Assinale a alternativa CORRETA, com relação à Tomografia Computadorizada de Feixe Cônico.
Provas
Questão presente nas seguintes provas
São indicações da tomografia odontológica, considerando a relação custo-benefício:
Provas
Questão presente nas seguintes provas
Sepulturas sem sossego
AUGUSTO NUNES, Revista Veja online, 20/11/2013
Três anos e quatro meses depois de aberta por Hugo Chávez com a exumação de Simón Bolívar, a temporada de caça ao veneno chegou à etapa brasileira no interior gaúcho. Em sossego desde dezembro de 1976, no cemitério de São Borja, cidade onde nasceu e até agora jazia em paz, o presidente João Goulart foi transformado na bola da vez pelos praticantes da política dos mortos. Eles vivem à procura de pretextos para algum acerto de contas com o passado que permita reescrever a história com a mão esquerda. Os organizadores do resgate da última quarta-feira, por exemplo, sonham provar que Jango sucumbiu não ao infarto mais que previsível, mas a uma florentina troca de remédios tramada por envenenadores a serviço das ditaduras que infestavam o subcontinente. Aconselhados pelo que lhes resta de juízo, os celebrantes do rito fúnebre no Rio Grande do Sul substituíram por um velório pelo avesso a carnavalesca recepção armada por Hugo Chávez, em julho de 2010, para homenagear El Libertador à saída do seu mausoléu.
Segundo o texto, é possível afirmar que:
Provas
Questão presente nas seguintes provas
Analise as afirmativas abaixo.
I) Para pesquisar nódulos e calcificações pulpares, fraturas, anomalias e reabsorções, a radiografia periapical é indicada.
II) Para visualizar a relação dos germes dos permanentes com os dentes decíduos e a avaliação pós-operatória de implantes, a radiografia “bite wing” é a mais indicada.
III) A técnica do paralelismo ou do cone curto é associada às radiografias interproximais.
IV) A visualização de dentes supranumerários, caninos não-erupcionados, odontomas e projeções axiais da mandíbula e maxila podem ser obtidas com radiografias oclusais.
Está(ão) CORRETA(s):
Provas
Questão presente nas seguintes provas
Assinale a alternativa CORRETA quanto às características clínicas e radiográficas do cisto dentígero.
Provas
Questão presente nas seguintes provas
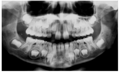
Em relação à imagem, assinale a alternativa que contém a afirmativa CORRETA.

(Fonte: FORMIGA FILHO, A. L. N. Interpretação radiográfica de lesões nos maxilares por alunos de odontologia da UFPB. Trabalho de conclusão de curso. UFPR. João Pessoa, 2009)
Provas
Questão presente nas seguintes provas
Cadernos
Caderno Container