Foram encontradas 50 questões.
Os aneurismas de aorta abdominal (AAA), quando deixados evoluir sem tratamento adequado, podem conduzir a diversas complicações, sendo a principal delas a ruptura, motivo pelo qual se dáa maior parte das indicações cirúrgicas.
Com relação à indicação cirúrgica dos AAA, assinale a alternativa INCORRETA.
Provas
Antigamente, a reconstrução tridimensional (3D) estava restrita aos computadores dedicados (workstations), muito caros e de uso exclusivo do departamento de radiologia. Entretanto, com a evolução dos computadores pessoais, é possível ter, em casa, em um pronto socorro, no consultório, no ambulatório, ou mesmo no celular um computador quase tão poderoso quanto uma Workstation, dedicada às imagens médicas e capaz de viabilizar a criação de imagens com qualidade e velocidade impressionantes.
No caso específico da cirurgia vascular, essas imagens podem ser utilizadas para programação de procedimento endovascular, que requerem precisão absoluta nas medidas. Dentre os vários softwares existentes, qual é o que funciona na plataforma OS e tem melhor avaliação?
Provas
A endarterectomia pode ser realizada com bons resultados, a longo prazo, em artérias de grosso e médio calibres, em segmentos curtos isolados em quase toda a árvore arterial.
Recomenda-se a endarterectomiaaortoilíaca com base nos seguintes critérios, EXCETO:
Provas
Aneurisma é a dilatação focal de mais de 50% do diâmetro de uma artéria, decorrente do enfraquecimento de sua parede. Os aneurismas podem se desenvolver em qualquer segmento arterial, sendo denominados viscerais, periféricos e cerebrais.
Quanto aos aneurismas de artérias periféricas, assinale a alternativa INCORRETA.
Provas
A veia safena parva se origina da junção de veias que partem da extremidade lateral do arco venoso dorsal com a veia marginal lateral do pé . Segue por trás do maléolo lateral da tíbia e ascende ao longo da face lateral do tendão calcâneo . Dirige-se à linha média em direção ao cavo poplíteo e pode ser acompanhada por um ou dois nervos.
Assinale a alternativa que indique o nervo sensitivo que pode ser lesado na retirada desta veia
Provas
A tromboangiite obliterante (TAO) é uma doença vascular inflamatória que afeta principalmente artérias e veias de pequenos e médio calibres. Embora possa ser considerada uma vasculite, ela difere basicamente das vasculites pela presença significativa de infiltrado de células inflamatórias no trombo, localizado no lúmen vascular, com pequena inflamação na parede do vaso e ausência de necrose fibrinoide.
Considerando os quadros histopatológicos do vaso acometido pela TAO, assinale a alternativa INCORRETA.
Provas
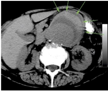
A angioTC foi o maior avanço no diagnóstico das patologias da aorta abdominal dos últimos 15 anos.

MAFFEI, F. H. de A. at al. Doenças vasculares periféricas, v.
1 e 2. 5. ed. Rio de Janeiro: Guanabara Koogan, 2016.p. 678.
O cirurgião vascular deverá dominar este método de diagnóstico por imagem que poderá ser útil tanto no diagnóstico como no planejamento do tratamento, um dos sinais de ruptura é visibilizado na figura acima, que sinal é esse?
Provas
Os substitutos vasculares, conhecidos como próteses e enxertos vasculares, são amplamente utilizados em diversos procedimentos cirúrgicos vasculares.
Sobre o uso desses componentes, assinale a alternativa INCORRETA:
Provas
A pesquisa clínica é uma classe de atividades, que utiliza seres humanos como unidade de análise, com o objetivo de desenvolver ou contribuir para o conhecimento que possa ser aplicado em pacientes ou indivíduos saudáveis em condições clínicas semelhantes.
Dentre os vários passos envolvidos em pesquisa clínica, assinale aquele que é considerado o mais importante no desenvolvimento desse tipo de pesquisa
Provas
A dor pélvica crônica afeta cerca de 10 milhões de mulheres no mundo, sendo que dessas 7 milhões permanecem sem tratamento adequado, apesar dos recursos diagnósticos e terapêuticos disponíveis. Dentre as possíveis etiologias para a dor pélvica crônica, destaca-se a síndrome da congestão venosa pélvica (SCVP).
Considerando a síndrome da congestão venosa pélvica (SCVP), assinale a alternativa INCORRETA.
Provas
Caderno Container