Magna Concursos

Foram encontradas 96 questões.

1007481 Ano: 2019
Disciplina: Medicina
Banca: UFT
Orgão: UFT
Provas:
R.M.S, 10 meses, masculino, com história de febre há duas semanas, irritabilidade e distensão abdominal. Mãe refere que a criança apresenta pouca aceitação alimentar nos últimos dias e acredita que ele perdeu peso, apesar de que, mesmo antes da doença atual, estava com peso abaixo do esperado, em acompanhamento mensal com pediatra. A família mora em Porto Nacional e apresenta um baixo nível socioeconômico, com dependência do bolsa família para sustento. Ao exame físico, criança com 6,9kg (abaixo do percentil 3), com aspecto desnutrido e aumento importante do volume abdominal por esplenomegalia. Exames da admissão demonstravam anemia importante, hipoalbunemia e hipergamaglobulinemia. Pensando na atual conduta terapêutica nesta criança, assinale a alternativa mais adequada:
 

Provas

Questão presente nas seguintes provas
1007480 Ano: 2019
Disciplina: Saúde Pública
Banca: UFT
Orgão: UFT
Provas:
Edna, 27 anos, retorna para mostrar exames solicitados em consulta de demanda devido a cefaleia e mal-estar geral iniciado há cerca de quatro (4) meses. Como os exames estavam normais, seu médico de família refez a história clínica e o exame físico que, ainda assim, não foram conclusivos. Questionou o que havia ocorrido de novo em sua vida nos últimos meses e ele deparou-se com a notícia de um casamento há cinco (5) meses e uma transferência de cidade há dois (2) meses, ocasionada pelo emprego do marido, o que a fez sair de um momento de alegria e encanto com a lua de mel para muitas preocupações, pois iria para longe de sua família. O médico conversou sobre a previsibilidade do momento, reconheceu seus afetos, suas ambiguidades e sugeriu negociações que poderia fazer com o esposo. Logo, a paciente retornou para agradecer a consulta e se despedir do médico, pois já estava de malas prontas e sem os sintomas que outrora lhe intrigavam.
De acordo com o caso apresentado, o médico utilizou a seguinte ferramenta para elucidar o problema:
 

Provas

Questão presente nas seguintes provas
1007479 Ano: 2019
Disciplina: Saúde Pública
Banca: UFT
Orgão: UFT
Provas:
Criança de um ano e três meses apresenta-se à consulta numa Unidade Básica de Saúde com quadro de diarreia há 3 dias, fezes não sanguinolentas, de consistência semilíquida e sem odor muito forte, aproximadamente 8 vezes ao dia. Apresentou febre e vômitos ocasionais nos dois primeiros dias. Como estava mais apática, mãe a trouxe para consultar. Não tem aleitamento materno desde os 6 meses e o seu grau de desidratação, nesta atual consulta, foi considerado leve, apesar de ainda não ter recebido terapia de reidratação oral de modo eficaz em casa.
A hipótese etiológica mais provável para esta situação é:
 

Provas

Questão presente nas seguintes provas
1007477 Ano: 2019
Disciplina: Medicina
Banca: UFT
Orgão: UFT
Provas:
Paciente de 68 anos, diabética há 10 anos, em uso de metformina 2g ao dia e glibenclamida 10 mg ao dia. Relata que, nos últimos 30 dias, tem apresentado suores noturnos, acompanhados de fraqueza. Nega perda de peso. Relata realizar atividade física 03 x por semana. Relata estar se alimentando de carboidratos integrais. P= 60 kg; A= 1,67 cm. Exames laboratoriais: Glicemia de jejum: 76 mg/dl; Glicemia pós-prandial: 80 mg/dl/ HbA1c: 5.0%; Creatinina: 1,4mg/dl; Clearence de creatinina: 34ml/min. Sobre o exposto, assinale a alternativa com a conduta CORRETA.
 

Provas

Questão presente nas seguintes provas
1007476 Ano: 2019
Disciplina: Medicina
Banca: UFT
Orgão: UFT
Provas:
Com relação aos fibroadenomas mamários, assinale a alternativa CORRETA:
 

Provas

Questão presente nas seguintes provas
1007474 Ano: 2019
Disciplina: Medicina
Banca: UFT
Orgão: UFT
Provas:
A malformação cardíaca é a anomalia congênita isolada mais comum. A cada mil nascidos vivos (8 a 12) tem malformações cardíacas estruturais (estatística mundial). Há uma tendência maior em recém-nascidos pré-termo, principalmente de baixo peso e muito baixo peso. As cardiopatias congênitas são normalmente esporádicas e de etiologia multifatorial, cerca de 10% associam-se a síndromes clínicas, sendo a síndrome de Down a mais prevalente (40 a 50%). As cardiopatias congênitas podem ser classificadas em acianogênicas e cianogênicas. Nas cardiopatias cianogênicas, o sangue proveniente do retorno venoso sistêmico passa diretamente do coração direito para o esquerdo, sem passar pela circulação pulmonar (shunt direita-esquerda), por meio de uma comunicação entre os átrios, os ventrículos e as grandes artérias, resultando em insaturação do sangue arterial sistêmico e cianose central. Em relação a essas cardiopatias cianogênicas, podemos afirmar que:
 

Provas

Questão presente nas seguintes provas
1007471 Ano: 2019
Disciplina: Medicina
Banca: UFT
Orgão: UFT
Provas:
A hiperplasia prostatica benigna (HPB) é considerada a neoplasia interna benigna mais comum do homem adulto. Apesar de ser uma doença benigna, em casos mais graves, pode exigir cirúrgico complexo. O Escore internacional de Sintomas Prostáticos, International Prostate Symptom Score (IPSS), classifica a intensidade dos sintomas e propõe as modalidades de tratamentos a serem consideradas. Em relação ao escore IPSS e ao tratamento da hiperplasia prostática benigna, é INCORRETO afirmar.
 

Provas

Questão presente nas seguintes provas
1007465 Ano: 2019
Disciplina: Medicina
Banca: UFT
Orgão: UFT
Provas:
Durante a gestação, o corpo da mulher sofre muitas modificações, principalmente causados pelo aumento da Progesterona e do Estrogênio. Considerando a ação fisiológica da progesterona sobre a gestante, são achados compatíveis com o aumento deste hormônio na gestação, EXCETO:
 

Provas

Questão presente nas seguintes provas
1007463 Ano: 2019
Disciplina: Medicina
Banca: UFT
Orgão: UFT
Provas:
O atendimento médico ao paciente politraumatizado é sistematizado pelo curso de suporte avançado de vida, no trauma Advanced Trauma Life Support (ATLS), desenvolvido pelo Colégio Americano de Cirurgiões, American College of Surgeons (ACS). O manejo inicial adequado desses pacientes é fundamental para sobrevida, a curto e longo prazo, e evita complicações e sequelas iatrogênicas. A decisão de passagem de cateter urinário, no paciente politraumatizado, é realizada como medida auxiliar à avaliação primária. Sobre o exposto, assinale a alternativa CORRETA.
 

Provas

Questão presente nas seguintes provas
1007459 Ano: 2019
Disciplina: Medicina
Banca: UFT
Orgão: UFT
Provas:
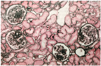
enunciado 1007459-1 Disponível em: Nefrologia Clínica, 2016, quinta edição, Capítulo 18, página 221, Figura 18-1.
AVS, 28 anos, masculino, deu entrada no PS com queixa de urina com espuma, inchaço nas pernas e cefaléia. Ao exame, apresenta-se lúcido e orientado, eupneico, hidratado, normocorado, afebril, anictérico, acianótico. PA: 157/93 mmHg. Ausculta cardíaca, sem alterações, ausculta respiratória revela murmúrio vesicular universalmente audível, mas com estertores crepitantes em base direita. Abdome inocente. Membros inferiores com edema de ++/4+, panturrilhas livres. Os exames laboratoriais demonstraram-se com os seguintes valores: Hb: 13, Ht: 38, Leucócitos: 9200, Plaq.: 158000, Glicose: 98, Na+: 136, K+: 3,8, Cálcio: 9,2; Fósforo: 3,8; Albumina: 3,3; Colesterol Total: 198, TGO: 16, TGP: 20, EAS com hematúria leve e proteína >30mg/dL, Proteinúria de 24hs: 2,8g/24hs. USG de Rins e Vias Urinárias sem alterações. Biópsia renal, conforme imagem acima. De acordo com o caso clínico e a imagem expostos, assinale a CORRETA sobre o provável diagnóstico.
 

Provas

Questão presente nas seguintes provas