Magna Concursos

Foram encontradas 100 questões.

1243136 Ano: 2019
Disciplina: Geografia
Banca: CESPE / CEBRASPE
Orgão: UnB
Provas:

No Distrito Federal, o mapa muda de cor mais rápido do que os olhos conseguem acompanhar. Entre 1954 e 2010, a vegetação encolheu 67%. Dos 581 mil hectares de Cerrado existentes quando a nova capital do Brasil ainda era um sonho, sobraram pouco mais de 189 mil, dos quais apenas 10% estão sob a proteção de áreas permanentes de preservação. O segundo maior bioma brasileiro acabou aquartelado em pouco menos de um terço do território e, se nada for feito para reverter o ritmo acelerado de desmatamento, em menos de 30 anos as próximas gerações de brasilienses só conhecerão as árvores retorcidas por meio de livros.

Internet: <www.correiobraziliense.com.br> (com adaptações).

Tendo o texto anterior como referência inicial, julgue o item que se segue.

Segundo o texto, caso o desmatamento no Cerrado permaneça, esse bioma pode desaparecer do território brasileiro no futuro.

 

Provas

Questão presente nas seguintes provas
1243134 Ano: 2019
Disciplina: Geografia
Banca: CESPE / CEBRASPE
Orgão: UnB
Provas:

No Distrito Federal, o mapa muda de cor mais rápido do que os olhos conseguem acompanhar. Entre 1954 e 2010, a vegetação encolheu 67%. Dos 581 mil hectares de Cerrado existentes quando a nova capital do Brasil ainda era um sonho, sobraram pouco mais de 189 mil, dos quais apenas 10% estão sob a proteção de áreas permanentes de preservação. O segundo maior bioma brasileiro acabou aquartelado em pouco menos de um terço do território e, se nada for feito para reverter o ritmo acelerado de desmatamento, em menos de 30 anos as próximas gerações de brasilienses só conhecerão as árvores retorcidas por meio de livros.

Internet: <www.correiobraziliense.com.br> (com adaptações).

Tendo o texto anterior como referência inicial, julgue o item que se segue.

O Cerrado é considerado o maior bioma brasileiro.

 

Provas

Questão presente nas seguintes provas
1243130 Ano: 2019
Disciplina: Biologia
Banca: CESPE / CEBRASPE
Orgão: UnB
Provas:

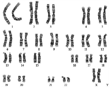
Enunciado 2991172-1

Internet: <www.citogene.com.br>.

A figura anterior ilustra um cariótipo, ou seja, um conjunto de cromossomos, de uma pessoa normal. Considerando essa figura e aspectos a ela relacionados, julgue o item a seguir.

Esse cariótipo pertence a um indivíduo haploide.

 

Provas

Questão presente nas seguintes provas
1243129 Ano: 2019
Disciplina: Biologia
Banca: CESPE / CEBRASPE
Orgão: UnB
Provas:

Enunciado 2991171-1

Internet: <www.citogene.com.br>.

A figura anterior ilustra um cariótipo, ou seja, um conjunto de cromossomos, de uma pessoa normal. Considerando essa figura e aspectos a ela relacionados, julgue o item a seguir.

A hipótese de que a informação transmitida geneticamente de pais para filhos está dentro dos cromossomos, na forma de genes, foi proposta por Mendel, mas já tinha sido mencionada por Charles Darwin na teoria da evolução das espécies.

 

Provas

Questão presente nas seguintes provas
1243128 Ano: 2019
Disciplina: Biologia
Banca: CESPE / CEBRASPE
Orgão: UnB
Provas:

Enunciado 2991170-1

Internet: <www.citogene.com.br>.

A figura anterior ilustra um cariótipo, ou seja, um conjunto de cromossomos, de uma pessoa normal. Considerando essa figura e aspectos a ela relacionados, julgue o item a seguir.

Os cromossomos são compostos por duplas fitas de DNA, cuja estrutura foi descoberta pelos cientistas Francis Crick e James Watson.

 

Provas

Questão presente nas seguintes provas
1243127 Ano: 2019
Disciplina: Biologia
Banca: CESPE / CEBRASPE
Orgão: UnB
Provas:

Enunciado 2991169-1

Internet: <www.citogene.com.br>.

A figura anterior ilustra um cariótipo, ou seja, um conjunto de cromossomos, de uma pessoa normal. Considerando essa figura e aspectos a ela relacionados, julgue o item a seguir.

Esse cariótipo pertence a um indivíduo do sexo feminino.

 

Provas

Questão presente nas seguintes provas
1243124 Ano: 2019
Disciplina: Geografia
Banca: CESPE / CEBRASPE
Orgão: UnB
Provas:

Enunciado 2991168-1

Desenho original do projeto de Lúcio Costa para o
Plano Piloto de Brasília (1956). Museu da Cidade.

A figura precedente mostra o projeto do Plano Piloto de Brasília, empreendido pelo arquiteto e urbanista Lúcio Costa. O desenho urbano de Brasília tem conteúdo geográfico que se expressa por

induzir o deslocamento de pessoas e veículos por um sistema viário não linear.

 

Provas

Questão presente nas seguintes provas
1243113 Ano: 2019
Disciplina: Geografia
Banca: CESPE / CEBRASPE
Orgão: UnB
Provas:

Enunciado 2991167-1

Desenho original do projeto de Lúcio Costa para o
Plano Piloto de Brasília (1956). Museu da Cidade.

A figura precedente mostra o projeto do Plano Piloto de Brasília, empreendido pelo arquiteto e urbanista Lúcio Costa. O desenho urbano de Brasília tem conteúdo geográfico que se expressa por

orientar os dois eixos de ocupação (Eixo Rodoviário e Eixo Monumental) e o sistema viário a partir dos pontos cardeais de localização geográfica.

 

Provas

Questão presente nas seguintes provas
1243112 Ano: 2019
Disciplina: Geografia
Banca: CESPE / CEBRASPE
Orgão: UnB
Provas:

Na capital federal, no coração do cerrado, uma comunidade indígena resiste ao avanço da especulação imobiliária que tomou conta do país especialmente na última década. Localizada no chamado Santuário dos Pajés, a comunidade vive sob intenso aliciamento de construtoras que avançam sobre o território para expandir um bairro de classe alta.

Internet: <www.brasildefato.com.br> (com adaptações).

Tendo como referência inicial o texto apresentado, julgue o item seguinte, a respeito do processo de ocupação e uso do solo no Distrito Federal.

Indígenas, sertanejos e geraizeiros, entre outras populações tradicionais residentes no cerrado foram invisibilizados, manipulados e esquecidos diante do processo de urbanização e especulação imobiliária em Brasília.

 

Provas

Questão presente nas seguintes provas
1243111 Ano: 2019
Disciplina: Geografia
Banca: CESPE / CEBRASPE
Orgão: UnB
Provas:

Na capital federal, no coração do cerrado, uma comunidade indígena resiste ao avanço da especulação imobiliária que tomou conta do país especialmente na última década. Localizada no chamado Santuário dos Pajés, a comunidade vive sob intenso aliciamento de construtoras que avançam sobre o território para expandir um bairro de classe alta.

Internet: <www.brasildefato.com.br> (com adaptações).

Tendo como referência inicial o texto apresentado, julgue o item seguinte, a respeito do processo de ocupação e uso do solo no Distrito Federal.

Por ser uma cidade planejada desde a sua origem, Brasília é considerada uma cidade com mínimo ou nenhum impacto ambiental, fato que se comprova, por exemplo, pela preservação da bacia do Lago Paranoá, mesmo estando ela localizada em área em constante processo de uso e adensamento urbano.

 

Provas

Questão presente nas seguintes provas