Foram encontradas 611 questões.
Homem, 40 anos, tem diagnóstico de hanseníase. Exame físico: seis lesões em placa, de aspecto foveolar, distribuídas no tronco e membros; mão em garra ulnar à direita; hipoestesia plantar bilateral.
A classificação operacional da doença e o tratamento a ser instituído são:
Provas
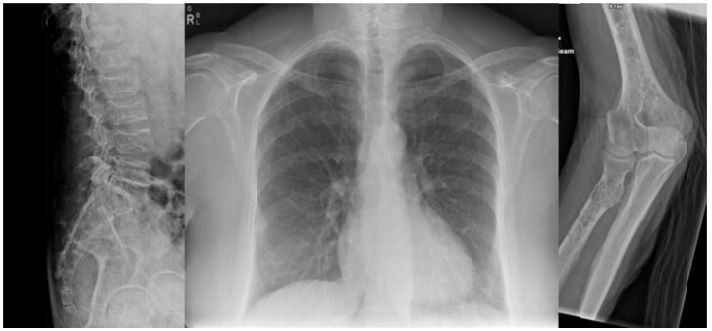
Homem, 76 anos, hospitalizado por piora do estado geral e do estado geral e queixando-se de dor em membro superior esquerdo, com limitação dolorosa, há uma semana. Relata história de lombalgia há três meses e melena há um mês. Exame físico: regular estado geral, desidrato +/4, descorado +++/4, afebril; PA 110/70 mmHg; FC 90 bpm. Addome escavado, sem visceromegalias, restante do eame segmentar normal. Dor à palpação de coluna lombar, contratura de musculatura paravertebral.
Exames laboratoriais: hemoglobina 7,2 g/dL; hematócrito 23%; leucócitos 8.200/mm³; plaquetas 39.000-mm³; ureia 87 mg/dL; creatinina 2,2 mg/dL; sódio 138 mEq/L; potássio 4,2 mEq/L; cálcio 10,3 mg/dL; THS 1,32 mU/L; ácido úrico 11,9 mg/dL.
Radiograma:

A hipótese diagnóstica é:
Provas
Homem, 65 anos, hipertenso controlado, sem outras doenças, comparece em consulta de rotina. O acompanhante refere alteração de comportamento há cerca de 5 anos, com agravamento há dois meses, quando ficou mais confuso. Refere que o paciente urina no meio da sala, tira a roupa na rua e guarda comida no guarda roupa. s vezes come doces compulsivamente. Exame neurológico: sem déficits focais.
A hipótese diagnóstica é:
Provas
Em relação ao caso anterior, a gasometria venosa esperada é:
Provas
Exames laboratoriais podem fornecer informações importantes sobre a condição clínica do paciente. Na investigação de doenças hepáticas, padrões laboratoriais sugerem etiologias distintas. No quadro abaixo são mostradas quatro hepatopatias. Assinale a alternativa que mostra os testes que devem estar aumentados nestas situações.
Legenda: ALT (TGP)= alanina aminotransferase, AST (TGO)= aspartato aminotransferase; FA= fosfatase alcalina, GGT= gamaglutamiltransferase, LDH= lactato desidrogenase. |
Provas
Mulher, 64 anos, procura atendimento médico queixando-se de edema, urina espumosa e inchaço nos olhos há 1 semana. Antecedentes pessoais: neoplasia de tireoide, curada há 4 anos. Exames laboratoriais: ureia 30 mg/dL; creatinina 0,8 mg/dL; exame de urina: hemácias 2/campo; leucócitos 5/campo; proteína 3+/4; relação proteína/creatinina urinária 5,8mg/g; albumina sérica 2g/dL; complemento C3 e C4 normais. Indicada biopsia renal. O diagnóstico mais provável é:
Provas
Mulher, 81 anos, apresentou, nas últimas semanas, três episódios de perda súbita da consciência após levantar-se. Nega tontura, escurecimento da visão ou dor precordial. Antecedentes pessoais: hipertensão arterial em uso de hidroclorotiazida e losartana; osteoporose em uso de composto de cálcio e vitamina D. Exame físico: PA 168/70 mmHg; FC 72bpm. Ausculta cardíaca: sopro sistólico em diamante em focos da base. Ausculta pulmonar limpa. Solicitado ecocardiograma.
O achado esperado é:
Provas
Sobre as variantes patogênicas dos genes BRCA, é CORRETO:
Provas
Mulher, 59 anos, refere há dois anos lesão pruriginosa do complexo aréolomamilar esquerdo, ulcerada, acompanhada de secreção serossanguinolenta, inicialmente automedicada topicamente e posteriormente medicada com corticoide tópico, com persistência do quadro, conforme exame clínico abaixo. A hipótese diagnóstica para esta doença primária da mama é:

Provas
Sobre a laparoscopia e os cuidados para redução de risco para COVID-19, assinale a alternativa incorreta:
Provas
Caderno Container