Magna Concursos

Foram encontradas 50 questões.

3874541 Ano: 2024
Disciplina: Biomedicina
Banca: VUNESP
Orgão: UNICAMP
Na biologia molecular, para avaliar amostras de RNA pela técnica de PCR (Polymerase Chain Reaction), é necessário realizar uma etapa adicional chamada:
 

Provas

Questão presente nas seguintes provas
3874540 Ano: 2024
Disciplina: Biomedicina
Banca: VUNESP
Orgão: UNICAMP
Paciente de 47 anos chega ao pronto atendimento com queixas de dificuldade respiratória, confusão mental e sensação de mal-estar geral. Ao exame físico, apresenta cianose periférica, frequência respiratória aumentada e saturação de oxigênio de 85% no oxímetro. Qual é o exame laboratorial mais indicado para avaliar a condição respiratória e o estado ácido básico desse paciente?
 

Provas

Questão presente nas seguintes provas
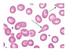
3874539 Ano: 2024
Disciplina: Biomedicina
Banca: VUNESP
Orgão: UNICAMP
Analise a imagem. Material: Esfregaço periférico
Enunciado 4691530-1 (Imagem gentilmente cedida pelo Laboratório de Análises Clínicas do Centro Universitário FMABC)

O esfregaço de sangue venoso revela qual tipo de poiquilocitose sinalizada pelas setas?
 

Provas

Questão presente nas seguintes provas
3874538 Ano: 2024
Disciplina: Biomedicina
Banca: VUNESP
Orgão: UNICAMP
Os testes rápidos padrão para Zika vírus disponíveis no mercado detectam as imunoglobulinas:
 

Provas

Questão presente nas seguintes provas
3874537 Ano: 2024
Disciplina: Técnicas em Laboratório
Banca: VUNESP
Orgão: UNICAMP
Sobre os manuais de biossegurança nos laboratórios clínicos, a responsabilidade pertence:
 

Provas

Questão presente nas seguintes provas
3874536 Ano: 2024
Disciplina: Biomedicina
Banca: VUNESP
Orgão: UNICAMP
A área da saúde deve sempre se basear em evidências científicas, englobando parâmetros próprios desde a fase pré à pós-analítica. Sobre a utilização do gráfico de Levey-Jennings, permite que o controle de qualidade do laboratório observe
 

Provas

Questão presente nas seguintes provas
3874535 Ano: 2024
Disciplina: Biomedicina
Banca: VUNESP
Orgão: UNICAMP
A determinação de triglicerídeos é uma parte do perfil de lipídeos. Todavia, se o paciente possuir algum tipo de hipercolesterolemia familiar ou erro inato do metabolismo, o sangue coletado mostrará uma alteração que pode ser vista a olho nu, pois essa amostra se encontrará da seguinte forma:
 

Provas

Questão presente nas seguintes provas
3874534 Ano: 2024
Disciplina: Biomedicina
Banca: VUNESP
Orgão: UNICAMP
Criança de 03 anos, em retorno com exames no pediatra pós pneumonia, apresentou um hemograma com laudo de plaquetopenia de 40000/mm3 ; o que não condizia com seus exames anteriores e nem sua clínica. Portanto, o médico, avaliando esse cenário, solicitará nova coleta, recomendando coletar 01 tubo de
 

Provas

Questão presente nas seguintes provas
3874533 Ano: 2024
Disciplina: Biomedicina
Banca: VUNESP
Orgão: UNICAMP
A hemoglobina glicada (HbA1c) é um marcador importante no monitoramento do controle glicêmico em pacientes diabéticos. Qual das seguintes afirmações sobre a HbA1c é correta?
 

Provas

Questão presente nas seguintes provas
3874532 Ano: 2024
Disciplina: Biomedicina
Banca: VUNESP
Orgão: UNICAMP
Dentre os granulócitos pode-se citar os basófilos, os eosinófilos e os neutrófilos. Sabe-se que essas células possuem diferentes tipos de grânulos e funções. Grânulos importantes que contribuem de maneira eficaz em nossa resposta imunológica. Esses grânulos se coram densamente quando submetidos à coloração hematológica tradicional. Assinale a alternativa correta que demonstra o tipo de granulócito e a sua função.
 

Provas

Questão presente nas seguintes provas