Foram encontradas 40 questões.
- Anatomia e Fisiologia HumanaSistema Neurológico
- Patologia, Diagnóstico e Tratamento Radioterápico
- Protocolos de Exames de Medicina NuclearTécnicas Radiográficas em Tomografia Computadorizada
A angiopatia amiloide é um distúrbio cerebrovascular causado pelo acúmulo de proteína beta-amiloide na parede de vasos leptomeníngeos e corticais do cérebro, podendo se manifestar como hemorragias intracranianas. Assinale a alternativa correta sobre essa patologia, considerando os critérios de Boston v.2.0.
Provas
- Anatomia e Fisiologia HumanaSistema Neurológico
- Patologia, Diagnóstico e Tratamento Radioterápico
- Protocolos de Exames de Medicina NuclearTécnicas Radiográficas em Tomografia Computadorizada
Assinale a alternativa correta em relação à encefalopatia hipóxico-isquêmica neonatal.
Provas
- Anatomia e Fisiologia HumanaSistema Neurológico
- Patologia, Diagnóstico e Tratamento Radioterápico
- Protocolos de Exames de Medicina NuclearBases Físicas e Tecnológicas
Qual é a neoplasia mais frequentemente associada ao sistema nervoso central em pacientes com a doença de Von Hippel-Lindau?
Provas
- Anatomia e Fisiologia HumanaSistema Neurológico
- Patologia, Diagnóstico e Tratamento Radioterápico
- Protocolos de Exames de Medicina NuclearTécnicas Radiográficas em Tomografia Computadorizada
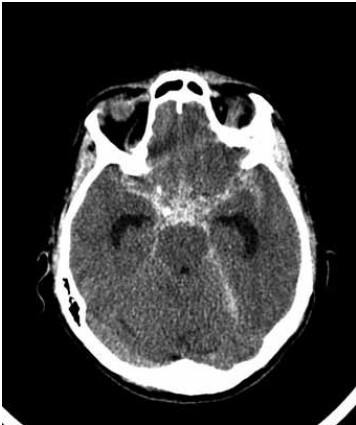
Paciente do sexo feminino, de 48 anos de idade, é trazida ao pronto-socorro com cefaleia e rebaixamento do nível de consciência. Foi submetida à tomografia computadorizada de crânio que evidenciou o achado a seguir:

(Arquivo pessoal; imagem usada com autorização)
Assinale a alternativa correta sobre esse caso.
Provas
Assinale a alternativa correta considerando a classificação dos tumores do sistema nervoso central da OMS (2021).
Provas
Assinale a alternativa correta em relação às anastomoses na circulação carótido-vertebrobasilar.
Provas
- Anatomia e Fisiologia HumanaSistema Neurológico
- Patologia, Diagnóstico e Tratamento Radioterápico
- Protocolos de Exames de Medicina NuclearTécnicas Radiográficas em Tomografia Computadorizada
Paciente do sexo masculino, de 61 anos, dá entrada no pronto-socorro com quadro de vertigem e náuseas de início súbito, associado a nistagmo e disfagia orofaríngea. Foi submetido à tomografia computadoriza de crânio, que não evidenciou alterações significativas. Em relação a esses achados, assinale a alternativa correta.
Provas
- Anatomia e Fisiologia HumanaSistema Neurológico
- Patologia, Diagnóstico e Tratamento Radioterápico
- Protocolos de Exames de Medicina NuclearTécnicas Radiográficas em Tomografia Computadorizada
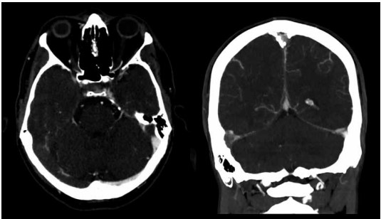
Paciente do sexo feminino, com 27 anos de idade, chega ao pronto-socorro com queixa de cefaleia refratária a analgésicos, com início há 2 dias. Foi submetida a tomografia computadorizada do crânio com contraste, conforme imagens a seguir:

(Arquivo pessoal; imagem usada com autorização)
Considerando as imagens apresentadas, assinale a alternativa correta.
Provas
Assinale a alternativa correta em relação às afirmativas a seguir sobre anatomia encefálica.
Provas
Provas
Caderno Container