Foram encontradas 40 questões.
- Anatomia e Fisiologia HumanaSistema Neurológico
- Patologia, Diagnóstico e Tratamento Radioterápico
- Protocolos de Exames de Medicina NuclearTécnicas Radiográficas em Tomografia Computadorizada
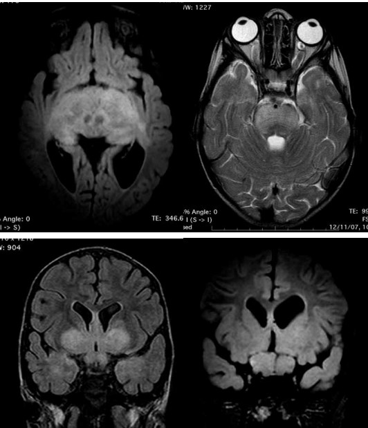
Criança de 03 anos de idade realizou ressonância magnética (RM) de crânio, apresentada a seguir, devido à queixa de cefaleia, associada a alterações visuais e baixa estatura.

(Arquivo pessoal; imagem usada com autorização)
Em relação aos achados das imagens, assinale a alternativa correta.
Provas
- Anatomia e Fisiologia HumanaSistema Neurológico
- Patologia, Diagnóstico e Tratamento Radioterápico
- Protocolos de Exames de Medicina NuclearTécnicas Radiográficas em Tomografia Computadorizada
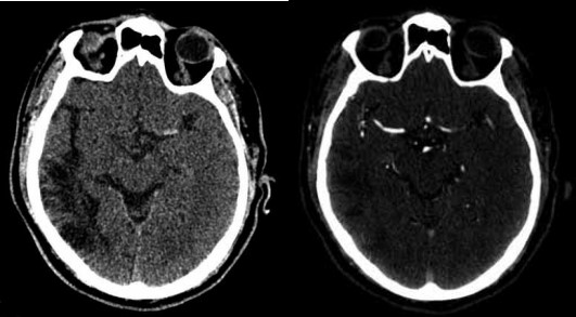
Considere o caso clínico a seguir para responder à questão.
Paciente do sexo masculino, de 65 anos, foi trazido ao pronto-socorro com início súbito de afasia e hemiplegia direita há 4 horas. No exame clínico, apresentado NIHSS de 20. A tomografia computadorizada (TC) de crânios realizada não mostrou sinais de hemorragia intracraniana, mas evidenciou hipodensidade corticossubcortical no território da artéria cerebral média esquerda, com classificação ASPECTS de 8.
Considerando o relato, assinale a alternativa correta em relação ao achado das imagens a seguir:

(Arquivo pessoal; imagem usada com autorização)
Provas
- Anatomia e Fisiologia HumanaSistema Neurológico
- Patologia, Diagnóstico e Tratamento Radioterápico
- Protocolos de Exames de Medicina NuclearTécnicas Radiográficas em Tomografia Computadorizada
Considere o caso clínico a seguir para responder à questão.
Paciente do sexo masculino, de 65 anos, foi trazido ao pronto-socorro com início súbito de afasia e hemiplegia direita há 4 horas. No exame clínico, apresentado NIHSS de 20. A tomografia computadorizada (TC) de crânios realizada não mostrou sinais de hemorragia intracraniana, mas evidenciou hipodensidade corticossubcortical no território da artéria cerebral média esquerda, com classificação ASPECTS de 8.
Considerando o exposto, qual é a conduta imediata mais apropriada para esse caso?
Provas
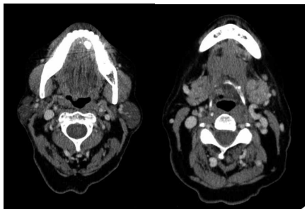
Paciente do sexo feminino, 38 anos, chega ao pronto- -socorro com queixa de dor e edema na região submandibular esquerda há dois dias. Consulte episódios semelhantes ao longo dos últimos dois anos. Exame de imagem a seguir:

(Arquivo pessoal; imagem usada com autorização)
Com base no caso descrito e nas imagens apresentadas, assinale a alternativa correta.
Provas
Paciente do sexo feminino, 38 anos, com diagnóstico de doença renal crônica em hemodiálise há 3 anos, apresentou, em exames de rotina, níveis de paratormônio (PTH) superiores a 1.000 pg/mL. Com base nesse caso, assinale a alternativa correta.
Provas
Assinale a alternativa correta em relação às fístulas arteriovenosas durais (FAVD).
Provas
Assinale a alternativa correta sobre o sinal de incompatibilidade mismatch T2 /FLAIR observado em algumas neoplasias do sistema nervoso central.
Provas
Assinale a alternativa correta sobre a Doença de Hirayama.
Provas
- Patologia, Diagnóstico e Tratamento Radioterápico
- Protocolos de Exames de Medicina NuclearTécnicas Radiográficas em Tomografia Computadorizada
Considere o caso clínico a seguir para responder à questão.
Paciente do sexo masculino, de 23 anos de idade, vem ao pronto-socorro com queixa de cefaleia e leve confusão mental com início há 7 dias.
O paciente realizou espectroscopia de prótons apresentada a seguir:

(Arquivo pessoal; imagem usada com autorização)
Assinale a alternativa correta em relação aos achados dessa sequência de espectroscopia de prótons e o caso clínico exposto.
Provas
Considere o caso clínico a seguir para responder à questão.
Paciente do sexo masculino, de 23 anos de idade, vem ao pronto-socorro com queixa de cefaleia e leve confusão mental com início há 7 dias.
O paciente realizou tomografia e ressonância magnética do encéfalo apresentadas a seguir:

(Arquivo pessoal; imagem usada com autorização)
Sobre os achados mencionados, assinale a alternativa correta.
Provas
Caderno Container