Foram encontradas 1.060 questões.
Considere as informações a seguir.
Toracotomia mediana; timectomia parcial esquerda; retirada de retalho de pericárdio autólogo; grande dilatação das câmaras direitas; ligadura de canal arterial de 4 mm com Prolene 5-0; colocado em circulação extracorpórea a 28 graus Celsius; cardioplegia Del Nido; abertura longitudinal do átrio direito e visto um átrio praticamente único; havia uma pequena trave que dividia a CIA ostium secundum de 10 mm da CIA ostium primum; a valva atrioventricular única estava aderida a essa trave, dificultando a visibilização da comunicação interventricular; havia várias cordas que se inseriam no topo do septo interventricular; aberta a trave da CIA ostium primum que dividia a valva atrioventricular única; fechamento da grande comunicação interventricular com retalho de pericárdio bovino com 14 pontos de Prolene 6-0 com Pledget; reinserção das valvas atrioventriculares direita e esquerda no topo do retalho de pericárdio bovino com sutura contínua de Prolene 6-0; fechamento da fenda da valva atrioventricular esquerda com 4 pontos de Prolene 6-0 com Pledget; anuloplastia parcial da cúspide lateral esquerda com dupla sutura de Prolene 6-0 com Pledget, sem insuficiência ao teste. valva atrioventricular direita sem insuficiência; fechamento da CIA com grande retalho de pericárdio autólogo fixado com sutura contínua de Prolene 6-0, mantendo CIA residual no centro do retalho de 4 mm; fechamento do átrio direito com dupla sutura de Prolene 6-0; retirada de ar das câmaras cardíacas; recuperou em ritmo sinusal; pressão arterial pulmonar sistólica: 24 mmHg, pressão sistólica aórtica: 74 mmHg, pressão de átrio direito: 6 mmHg; fios de marca passo colocados em átrio direito e ventrículo direito; drenagem pleural direita e mediastinal; reperfusão – 40 min; eco epicárdico com disfunção ventricular esquerda moderada, insuficiência da valva atrioventricular direita discreta e CIA residual com shunt esquerda-direita.
Essa descrição cirúrgica refere-se a uma cardiopatia congênita e a uma determinada síndrome genética. Quais são elas?
Dado: CIA = comunicação interatrial.
Toracotomia mediana; timectomia parcial esquerda; retirada de retalho de pericárdio autólogo; grande dilatação das câmaras direitas; ligadura de canal arterial de 4 mm com Prolene 5-0; colocado em circulação extracorpórea a 28 graus Celsius; cardioplegia Del Nido; abertura longitudinal do átrio direito e visto um átrio praticamente único; havia uma pequena trave que dividia a CIA ostium secundum de 10 mm da CIA ostium primum; a valva atrioventricular única estava aderida a essa trave, dificultando a visibilização da comunicação interventricular; havia várias cordas que se inseriam no topo do septo interventricular; aberta a trave da CIA ostium primum que dividia a valva atrioventricular única; fechamento da grande comunicação interventricular com retalho de pericárdio bovino com 14 pontos de Prolene 6-0 com Pledget; reinserção das valvas atrioventriculares direita e esquerda no topo do retalho de pericárdio bovino com sutura contínua de Prolene 6-0; fechamento da fenda da valva atrioventricular esquerda com 4 pontos de Prolene 6-0 com Pledget; anuloplastia parcial da cúspide lateral esquerda com dupla sutura de Prolene 6-0 com Pledget, sem insuficiência ao teste. valva atrioventricular direita sem insuficiência; fechamento da CIA com grande retalho de pericárdio autólogo fixado com sutura contínua de Prolene 6-0, mantendo CIA residual no centro do retalho de 4 mm; fechamento do átrio direito com dupla sutura de Prolene 6-0; retirada de ar das câmaras cardíacas; recuperou em ritmo sinusal; pressão arterial pulmonar sistólica: 24 mmHg, pressão sistólica aórtica: 74 mmHg, pressão de átrio direito: 6 mmHg; fios de marca passo colocados em átrio direito e ventrículo direito; drenagem pleural direita e mediastinal; reperfusão – 40 min; eco epicárdico com disfunção ventricular esquerda moderada, insuficiência da valva atrioventricular direita discreta e CIA residual com shunt esquerda-direita.
Essa descrição cirúrgica refere-se a uma cardiopatia congênita e a uma determinada síndrome genética. Quais são elas?
Dado: CIA = comunicação interatrial.
Provas
Questão presente nas seguintes provas
Para responder à questão, considere as imagens
ecocardiográficas a seguir, de uma criança de 12 anos, com
cardiopatia congênita.
Dados: AD = átrio direito; VD = ventrículo direito.

(Arquivo pessoal; imagens usadas com autorização)
Provas
Questão presente nas seguintes provas
Para responder à questão, considere as imagens
ecocardiográficas a seguir, de uma criança de 12 anos, com
cardiopatia congênita.
Dados: AD = átrio direito; VD = ventrículo direito.

(Arquivo pessoal; imagens usadas com autorização)
Provas
Questão presente nas seguintes provas
Descrição cirúrgica de recém-nascido de 11 dias de
vida e sexo masculino: esternotomia mediana; abertura
por planos; timo muito grande; timectomia; dissecção
de tronco braquiocefálico; tronco fino com 3 mm de diâmetro; dissecção da artéria pulmonar direita, fina, com
3 mm; instalada circulação extracorpórea com canulação de aorta e átrio direito; deixado em normotermia;
realizada anastomose de PTFe de 3 mm em tronco braquiocefálico; realizada anastomose de PTFe em artéria
pulmonar direita; saída de circulação extracorpórea em
ritmo sinusal; saturação de saída igual a 83%; hemostasia rigorosa; fechamento apenas de pele; deixado dreno
pleural mediastinal (tórax direito para mediastino) e fio de
marca-passo em ventrículo direito.
Tal descrição cirúrgica refere-se a qual operação?
Tal descrição cirúrgica refere-se a qual operação?
Provas
Questão presente nas seguintes provas
Mãe de paciente de 4 anos refere que sua filha recebeu
diagnóstico de cardiopatia congênita com 2 anos de vida
por ocasião de internação por bronquiolite e que foi introduzido o uso de furosemida. Refere, ainda, que a criança
sempre apresentou pés e mãos roxas aos esforços, cansaço aos esforços médios e bom ganho pondo-estatural.
Ao exame físico da época, evidenciou-se: bom estado
geral; cianose discreta; hidratada; anictérica; hidratada;
eupneica; afebril; baqueteamento digital; frequência cardíaca de 149 batimentos por minuto; saturação de oxigênio ao ar ambiente de 80%; precórdio sem abaulamentos
ou retrações; bulhas rítmicas em 2 tempos e sopro contínuo audível em precórdio e dorso, sobretudo à direita;
pulmões livres; abdome sem visceromegalias. Atualmente, encontra-se com 4 anos de idade, com estabilidade
hemodinâmica. Apresenta, a seguir, radiografia de tórax
e eletrocardiograma.
(Arquivo pessoal; imagens usadas com autorização)
Qual é a cardiopatia congênita compatível com essa história e com os exames físico e complementar apresentados?
(Arquivo pessoal; imagens usadas com autorização)
Qual é a cardiopatia congênita compatível com essa história e com os exames físico e complementar apresentados?
Provas
Questão presente nas seguintes provas
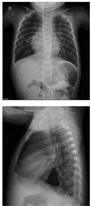
A radiografia de tórax e o eletrocardiograma, a seguir, de
um lactente de 9 meses referem-se a qual cardiopatia
congênita?
(Arquivo pessoal; imagens usadas com autorização)
(Arquivo pessoal; imagens usadas com autorização)
Provas
Questão presente nas seguintes provas
A seguinte imagem de angiotomografia evidencia qual
cardiopatia congênita?
Dado: VCS = veia cava superior.
(Arquivo pessoal; imagem usada com autorização)
Dado: VCS = veia cava superior.
(Arquivo pessoal; imagem usada com autorização)
Provas
Questão presente nas seguintes provas
Considere o seguinte laudo de tomografia computadorizada de abdome total com contraste iodado de
um recém-nascido de 4 dias de vida: sondas digestivas
com trajetos esofágicos e extremidades gástrica e pós-pitórica; fígado transverso com dimensões normais,
contornos lisos e parênquima homogêneo; vias biliares
com dimensões normais, paredes normoespessas e conteúdo homogêneo ao método; baço ausente; pâncreas
com dimensões normais, contornos lisos e parênquima
homogêneo; adrenais com dimensões normais; rins com
localização habitual, dimensões normais, contornos lisos
e parênquima homogêneo, ausência de cálculos ou dilatação dos sistemas coletores; estômago à esquerda
com ausência de distensão significativa; ausência de linfonodomegalias; aorta e veia cava inferior com diâmetros
normais; ausência de líquido livre ou coleções em recessos peritoneais; bexiga com paredes normoespessas e
conteúdo homogêneo ao método; órgãos pélvicos com
dimensões normais para a idade; parede abdominal com
hérnia umbilical com colo medindo 15 mm e saco contendo segmento intestinal; testículos nos respectivos canais
inguinais.
Esse laudo diz respeito a qual malformação cardiovascular?
Esse laudo diz respeito a qual malformação cardiovascular?
Provas
Questão presente nas seguintes provas
Com base na radiografia de tórax e no eletrocardiograma
de um lactente de 9 meses, apresentados a seguir, qual
é a malformação cardiovascular mais provável?
(Arquivo pessoal; imagem usada com autorização)
(Arquivo pessoal; imagem usada com autorização)
Provas
Questão presente nas seguintes provas
(Arquivo pessoal; imagens usadas com autorização)
Levando-se em consideração que o paciente apresenta concordância ventrículo-arterial, qual é o diagnóstico da cardiopatia congênita segundo as imagens apresentadas do ecocardiograma?
Provas
Questão presente nas seguintes provas
Cadernos
Caderno Container