Magna Concursos

Foram encontradas 60 questões.

3685609 Ano: 2025
Disciplina: Biologia
Banca: FUVEST
Orgão: USP
Uma pesquisadora está estudando a heterogeneidade celular em um tumor de mama agressivo e deseja identificar variações genômicas e transcriptômicas entre as células do tumor. Ela pretende investigar quais mutações específicas podem estar associadas à resistência a tratamentos e como diferentes subpopulações celulares contribuem para a progressão tumoral. Considerando a complexidade do tecido, a pesquisadora decide utilizar uma abordagem de sequenciamento de células únicas (single-cell sequencing). Após a análise dos dados, ela observa que algumas células apresentam mutações raras que não foram detectadas em sequenciamentos convencionais de DNA tumoral a granel (bulk sequencing). Além disso, a expressão gênica varia significativamente entre diferentes populações celulares dentro do mesmo tumor. Com base nesse caso, assinale a alternativa que apresenta a principal vantagem do single-cell sequencing em relação ao sequenciamento convencional.
 

Provas

Questão presente nas seguintes provas
3685608 Ano: 2025
Disciplina: Medicina
Banca: FUVEST
Orgão: USP
Uma equipe de pesquisadores está investigando novas abordagens terapêuticas para a Leucemia Mieloide Aguda (LMA). Para entender melhor os mecanismos da doença e testar novos tratamentos, eles utilizam um modelo de camundongo geneticamente modificado, no qual foi inserida uma mutação específica no gene FLT3, frequentemente encontrada em pacientes com LMA. Após a introdução da mutação, os camundongos desenvolvem características clínicas semelhantes às observadas em humanos com a doença, incluindo proliferação descontrolada de células hematopoiéticas imaturas. Os pesquisadores então começam a testar um novo inibidor de FLT3 nesses camundongos, avaliando sua eficácia na redução da carga tumoral e na melhora da sobrevida. Com base no caso apresentado, assinale a alternativa que apresenta a principal vantagem no uso de animais geneticamente modificados no estudo de doenças hematopoiéticas.
 

Provas

Questão presente nas seguintes provas
3685607 Ano: 2025
Disciplina: Veterinária
Banca: FUVEST
Orgão: USP
A respeito da citometria de alta dimensão, é correto afirmar:
 

Provas

Questão presente nas seguintes provas
3685606 Ano: 2025
Disciplina: Medicina
Banca: FUVEST
Orgão: USP
Um paciente de 65 anos apresentou fadiga, esplenomegalia e infecções recorrentes. O hemograma revelou pancitopenia e um aumento discreto de linfócitos circulantes. O médico solicitou uma citometria de fluxo para caracterizar a população celular, e os achados laboratoriais revelaram uma população monoclonal de células B expressando CD19, CD20 forte, CD22, CD11c, CD25 e CD103. Com base nesses achados, assinale a alternativa que apresenta o diagnóstico mais provável.
 

Provas

Questão presente nas seguintes provas
3685605 Ano: 2025
Disciplina: Medicina
Banca: FUVEST
Orgão: USP
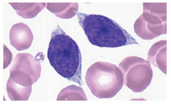
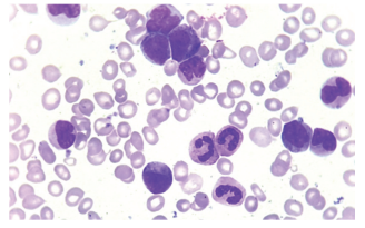
Paciente do sexo masculino, 42 anos, apresenta fadiga progressiva e dor no abdômen superior nos últimos 3 meses. Relata perda de peso não intencional e episódios de febre baixa. O paciente tem antecedentes de hipertensão controlada e não apresenta histórico familiar relevante de câncer. Ao exame físico, apresenta esplenomegalia moderada (baço palpável a 3 cm abaixo do rebordo costal) e linfadenopatia discreta (gânglios palpáveis, mas não dolorosos). 

• Hemograma:
Leucócitos elevados (25.000/μL, com desvio à esquerda); Hemoglobina ligeiramente reduzida (11,5 g/dL); Plaquetas aumentadas (450.000/μL); Presença de mielócitos, metamielócitos e bastões.

O resultado do esfregaço de sangue periférico pode ser observado na imagem a seguir:


Enunciado 3685605-1

Com base na imagem do esfregaço de sangue periférico e nos achados clínicos e laboratoriais, assinale a alternativa que apresenta o diagnóstico mais provável.
 

Provas

Questão presente nas seguintes provas
3685604 Ano: 2025
Disciplina: Medicina
Banca: FUVEST
Orgão: USP
Um hematologista está investigando um paciente de 45 anos que apresenta fadiga intensa, linfadenopatia generalizada e esplenomegalia. O hemograma revelou linfocitose persistente e a análise morfológica mostrou linfócitos pequenos com núcleo irregular no esfregaço sanguíneo periférico. Para esclarecer o diagnóstico, o médico solicita uma citometria de fluxo com painel imunofenotípico de linfócitos B. Os resultados indicam a presença de células CD19⁺, CD5⁺, CD23⁺, CD20 de baixa intensidade e expressão de cadeias leves restritas de imunoglobulina. Com base nesses achados, assinale a alternativa que apresenta o diagnóstico mais provável.
 

Provas

Questão presente nas seguintes provas
3685603 Ano: 2025
Disciplina: Biomedicina
Banca: FUVEST
Orgão: USP
No citômetro de fluxo, a luz interage com as células em suspensão quando elas passam individualmente por um feixe de luz. Esse processo gera dois tipos principais de dispersão da luz, que são medidos por detectores no equipamento, conforme demonstrado na imagem a seguir:

Enunciado 3685603-1

Com base nas informações apresentadas, assinale a alternativa correta.
 

Provas

Questão presente nas seguintes provas
3685602 Ano: 2025
Disciplina: Medicina
Banca: FUVEST
Orgão: USP
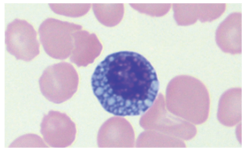
O mieloma múltiplo é uma neoplasia hematológica de células plasmáticas malignas, caracterizada pela proliferação descontrolada de plasmócitos clonais na medula óssea. Esses plasmócitos anormais produzem grandes quantidades de proteínas monoclonais (imunoglobulinas), levando a complicações como lesões ósseas líticas, hipercalcemia, insuficiência renal e anemia. Uma das características morfológicas observadas em mieloma múltiplo é a presença de células de Mott no esfregaço sanguíneo periférico. Assinale a alternativa que apresenta um linfócito com morfologia característica da célula de Mott.
 

Provas

Questão presente nas seguintes provas
3685601 Ano: 2025
Disciplina: Técnicas em Laboratório
Banca: FUVEST
Orgão: USP
Assinale a alternativa que descreve corretamente a diferença entre imunodeficiência primária e secundária.
 

Provas

Questão presente nas seguintes provas
3685600 Ano: 2025
Disciplina: Técnicas em Laboratório
Banca: FUVEST
Orgão: USP
Um laboratório de hematologia está investigando a proliferação de células-tronco hematopoiéticas em um paciente com Leucemia Mieloide Aguda (LMA). O estudo possuí como objetivo avaliar a capacidade das células-tronco de se diferenciarem em diferentes linhagens celulares hematopoéticas e responder a estímulos específicos. Para isso, a equipe decide utilizar uma técnica de cultura celular que possibilite a proliferação e diferenciação das células hematopoiéticas, sem que estas percam a capacidade de se autorrenovar. Com base na situação apresentada, assinale a alternativa que descreve corretamente a técnica de cultura celular mais indicada para o objetivo do estudo.
 

Provas

Questão presente nas seguintes provas