Foram encontradas 274.317 questões.
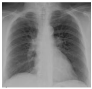
A imagem apresentada abaixo corresponde a
um exame comumente utilizado na avaliação
inicial de doenças torácicas, incluindo
condições pulmonares agudas e crônicas. Com
base nas características visuais da imagem,
assinale a alternativa que indica corretamente o
tipo de exame realizado.
Fonte: ROADDUS, V. Courtney. Murray & Nadel Tratado de Medicina Respiratória.
Fonte: ROADDUS, V. Courtney. Murray & Nadel Tratado de Medicina Respiratória.
Provas
Questão presente nas seguintes provas
As micobactérias têm um papel extremamente
importante em influenciar a sociedade ao longo
da história. Entre elas, destacam-se a
tuberculose e a doença de Hansen, ambas
causadas por espécies desse gênero bacteriano.
Assinale a alternativa correta sobre tuberculose.
Assinale a alternativa correta sobre tuberculose.
Provas
Questão presente nas seguintes provas
O exame de imagem é fundamental na
avaliação da doença torácica, especialmente a
radiografia de tórax, que possui diversas
indicações clínicas. Assinale a alternativa
correta sobre o uso da radiografia de tórax.
Provas
Questão presente nas seguintes provas
A anamnese representa um momento essencial
da prática clínica, sendo definida como todo o
meio de interação entre paciente e médico.
Durante esse processo, o profissional busca
atingir propósitos específicos que vão além da
coleta de dados.
Assinale a alternativa que não corresponde a um dos propósitos principais da anamnese.
Assinale a alternativa que não corresponde a um dos propósitos principais da anamnese.
Provas
Questão presente nas seguintes provas
Analise os itens abaixo e assinale a alternativa
correta sobre trocas gasosas.
I – Entre os principais processos que podem prejudicar a troca gasosa pulmonar e causar hipoxemia, quando se respira ar ambiente ao nível do mar, estão: hipoventilação, limitação da difusão, desvio e desigualdade ventilação/perfusão.
II – A principal função dos pulmões é a troca gasosa, ou seja, permitir que o oxigênio se movimente do ar para o sangue e que o dióxido de carbono seja expelido.
III – o movimento de gás pela interface sangue-gás ocorre por difusão passiva simples — ou seja, por movimentação randômica (browniano) em uma velocidade determinada pela temperatura.
I – Entre os principais processos que podem prejudicar a troca gasosa pulmonar e causar hipoxemia, quando se respira ar ambiente ao nível do mar, estão: hipoventilação, limitação da difusão, desvio e desigualdade ventilação/perfusão.
II – A principal função dos pulmões é a troca gasosa, ou seja, permitir que o oxigênio se movimente do ar para o sangue e que o dióxido de carbono seja expelido.
III – o movimento de gás pela interface sangue-gás ocorre por difusão passiva simples — ou seja, por movimentação randômica (browniano) em uma velocidade determinada pela temperatura.
Provas
Questão presente nas seguintes provas
___________ é o termo utilizado para definir as
veias que, por diferentes processos, tornaramse dilatadas, alongadas e tortuosas,
apresentando perda da função valvar e
alterações da parede associadas à hipertensão
venosa. A aparência tortuosa é denominada
varicosa, derivada da palavra grega que
significa “semelhante a uvas”. São
extremamente comuns nos membros inferiores,
podendo, também, acometer o funículo
espermático (varicocele), o esôfago (varizes
esofágicas) e o canal anal (hemorroidas).
Assinale a alternativa que completa corretamente a lacuna.
Assinale a alternativa que completa corretamente a lacuna.
Provas
Questão presente nas seguintes provas
Durante acompanhamento ambulatorial, uma
paciente apresenta inchaço persistente e
alterações na pele e nos tecidos em um dos
membros inferiores. O exame revela acúmulo
crônico e progressivo de fluido rico em
proteínas no interstício e no tecido fibroadiposo
excede a capacidade do sistema linfático de
transportar o fluido. Com base nesse quadro,
assinale a alternativa que indica corretamente o
diagnóstico mais provável.
Provas
Questão presente nas seguintes provas
Durante avaliação ambulatorial, um paciente
apresenta uma ferida na perna com
envolvimento de pele e seus anexos, sem sinais
de cicatrização mesmo após semanas de
tratamento adequado. Diante dessa evolução,
qual o tipo de lesão é mais compatível com esse
quadro?
Provas
Questão presente nas seguintes provas
Julgue os itens abaixo e assinale a alternativa
correta.
I – As varizes primárias, são decorrentes de trombose venosa profunda, malformação ou agenesia das veias profundas, fístulas arteriovenosas congênitas ou adquiridas, frequentemente manifestando-se com edema, hiperpigmentação, dermatofibrose e úlcera de estase.
II – As varizes secundárias desenvolvem-se espontaneamente, associando-se ao sistema venoso profundo normal, com evolução menos frequente para insuficiência venosa crônica.
I – As varizes primárias, são decorrentes de trombose venosa profunda, malformação ou agenesia das veias profundas, fístulas arteriovenosas congênitas ou adquiridas, frequentemente manifestando-se com edema, hiperpigmentação, dermatofibrose e úlcera de estase.
II – As varizes secundárias desenvolvem-se espontaneamente, associando-se ao sistema venoso profundo normal, com evolução menos frequente para insuficiência venosa crônica.
Provas
Questão presente nas seguintes provas
Analise os itens abaixo:
I. É vedado ao médico: Delegar a outros profissionais atos ou atribuições exclusivas da profissão médica.
II. É vedado ao médico: Assumir responsabilidade por ato médico que não praticou ou do qual não participou.
III. É vedado ao médico: Deixar de assumir responsabilidade sobre procedimento médico que indicou ou do qual participou, mesmo quando vários médicos tenham assistido o paciente
Assinale a alternativa correta:
I. É vedado ao médico: Delegar a outros profissionais atos ou atribuições exclusivas da profissão médica.
II. É vedado ao médico: Assumir responsabilidade por ato médico que não praticou ou do qual não participou.
III. É vedado ao médico: Deixar de assumir responsabilidade sobre procedimento médico que indicou ou do qual participou, mesmo quando vários médicos tenham assistido o paciente
Assinale a alternativa correta:
Provas
Questão presente nas seguintes provas
Cadernos
Caderno Container