Magna Concursos

Foram encontradas 28.586 questões.

4003407 Ano: 2025
Disciplina: Veterinária
Banca: UFU
Orgão: UFU
Em relação à aplicação clínica do pino intramedular, seu uso é contraindicado em qual dos seguintes ossos?
 

Provas

Questão presente nas seguintes provas
4003405 Ano: 2025
Disciplina: Veterinária
Banca: UFU
Orgão: UFU
Sobre luxação de patela, considere as seguintes afirmações:

I. O tratamento para luxação patelar grau III e IV é o cirúrgico.

II. A luxação patelar ocorre mais comumente de forma traumática.

III. A luxação de patela lateral é a mais frequente em cães de pequeno porte.

IV. A patela que está continuamente luxada e não permite a redução manual é classificada como luxação patelar grau IV.

Estão CORRETAS apenas as afirmações
 

Provas

Questão presente nas seguintes provas
4003404 Ano: 2025
Disciplina: Veterinária
Banca: UFU
Orgão: UFU
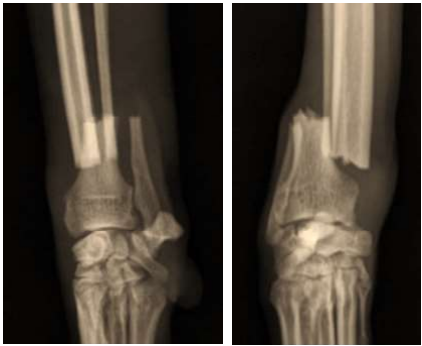
As radiografias abaixo pertencem a um Galgo Italiano, macho, com 5 anos de idade e 8 kg de peso corporal, que sofreu uma fratura fechada e não cominutiva do rádio ao saltar do colo do tutor:  
Enunciado 4939637-1
A fratura será estabilizada com uma placa óssea de tamanho adequado. Considerando o tipo de fratura e as características do paciente, qual seria a função mais apropriada para a aplicação dessa placa?
 

Provas

Questão presente nas seguintes provas
4003403 Ano: 2025
Disciplina: Veterinária
Banca: UFU
Orgão: UFU
As radiografias abaixo pertencem a um Fox Terrier de 17 semanas de idade e evidenciam uma fratura distal da tíbia. Trata-se de uma fratura fechada, que se estende por três quartos da linha fisária tibial, prolongando-se até a metáfise lateral da tíbia:
Enunciado 4939636-1
A fratura não apresenta comunicação com a superfície articular. Com base nessa descrição, qual das seguintes opções melhor classifica essa fratura?
 

Provas

Questão presente nas seguintes provas
4003401 Ano: 2025
Disciplina: Veterinária
Banca: UFU
Orgão: UFU

Com relação ao tratamento de epilepsia e crises epilépticas em cães e gatos, analise as afirmativas e assinale a alternativa CORRETA.

I. Diazepam é um benzodiazepínico com atividade anticonvulsivante relacionada à intensificação dos efeitos gabaérgicos no encéfalo, comumente usado como terapia de manutenção em cães devido à sua meia vida longa.

II. Fenobarbital é um fármaco tradicional, hepatotóxico, porém há fármacos mais modernos considerados como primeira escolha por serem eficazes e com menos efeitos colaterais em cães e gatos, tais como: levetiracetam, fenitoína, carbamazepina e ácido valpróico.

III. A ocorrência de mais de três crises epilépticas que ocorrem durante 24 horas, ou crises epiléticas em grupos, deve ser considerada condição emergencial, com terapia necessária para evitar evolução para estado epiléptico.

IV. O estado epiléptico é considerado emergência potencialmente letal, com riscos de disfunção orgânica, hipoxia, hipertermia e alterações pressóricas, com potencial para lesões encefálicas temporárias ou permanentes.

Estão CORRETAS apenas as afirmações

 

Provas

Questão presente nas seguintes provas
4003400 Ano: 2025
Disciplina: Veterinária
Banca: UFU
Orgão: UFU
Sobre as causas de injúria renal aguda em cães e/ou gatos e sua classificação fisiopatológica primária, assinale a alternativa CORRETA.
 

Provas

Questão presente nas seguintes provas
4003397 Ano: 2025
Disciplina: Veterinária
Banca: UFU
Orgão: UFU

O harpejamento (em inglês stringhalt) ou hipertonia reflexa equina é uma afecção do sistema locomotor dos equinos que se caracteriza pela hiperflexão involuntária do tarso durante o movimento, que pode ocorrer de forma uni ou bilateral e em diferentes graus de intensidade. Essa afecção apresenta duas formas: uma clássica ou idiopática, cuja causa não está bem definida; e a forma australiana, que está associada à ingestão de algumas plantas como Hypochaeris radicata, Taraxacum officinale e Malva spp. A forma clássica raramente apresenta recuperação espontânea, por isso, cavalos acometidos por essa condição devem ser tratados cirurgicamente por meio da técnica de

 

Provas

Questão presente nas seguintes provas
4003396 Ano: 2025
Disciplina: Veterinária
Banca: UFU
Orgão: UFU
Um equino macho, SRD, 6 anos de idade, pesando aproximadamente 420 kg, utilizado para trabalho em fazenda de gado, foi atendido no Hospital Veterinário apresentando uma lesão cutânea progressiva no membro pélvico esquerdo. O proprietário relatou que o animal foi mantido em pastagem com áreas alagadas nos últimos dois meses e que a lesão iniciou há cerca de 20 dias, com aumento gradual de tamanho, prurido e claudicação leve. Ao exame clínico, verificou-se frequência cardíaca de 44 bpm, frequência respiratória de 20 mrpm, mucosas normocoradas, tempo de preenchimento capilar de 2 s e temperatura retal de 38,3ºC. Ao examinar a lesão, observou-se uma área ulcerada, medindo cerca de 12 cm de diâmetro, localizada na face medial da região metatársica, com presença de tecido de granulação exuberante, intenso exsudato serossanguinolento, crostas aderidas e múltiplas estruturas branco-amareladas firmes aderidas ao tecido. Diante do quadro clínico e características da lesão, qual é a principal suspeita diagnóstica desse caso?
 

Provas

Questão presente nas seguintes provas
4003395 Ano: 2025
Disciplina: Veterinária
Banca: UFU
Orgão: UFU
Na ruminotomia, a síntese da parede do órgão é uma etapa importante para prevenir o extravasamento de conteúdo e consequente contaminação da cavidade abdominal. Uma opção para a sutura da parede ruminal seria:
 

Provas

Questão presente nas seguintes provas
4003394 Ano: 2025
Disciplina: Veterinária
Banca: UFU
Orgão: UFU
O Herpesvírus bovino-5 (BoHV-5) é uma cepa altamente neurotrópica de herpervírus bovino, causa meningoencefalite necrosante, ocorre de forma esporádica ou em surtos e afeta bovinos jovens e submetidos a situações de estresse. Com relação ao diagnóstico da infecção por BoHV-5 em bovinos, é CORRETO afirmar que
 

Provas

Questão presente nas seguintes provas