Magna Concursos

Foram encontradas 4.020.725 questões.

4069582 Ano: 2026
Disciplina: Medicina
Banca: VUNESP
Orgão: UNIFIPA
O estudo do registro da propagação geral da atividade elétrica através do coração, conhecido como eletrocardiograma, é necessário durante a realização dos exames dos pacientes submetidos à anestesia.

A onda P é responsável pelo(a)
 

Provas

Questão presente nas seguintes provas
4069581 Ano: 2026
Disciplina: Radiologia
Banca: VUNESP
Orgão: UNIFIPA
A capacidade de detecção de doenças nos estágios iniciais e de avaliação das respostas a um tratamento pode auxiliar os médicos a planejarem condutas mais adequadas ao paciente. No diagnóstico por imagem, a técnica que utiliza radiofármacos capaz de detectar o funcionamento fisiológico anormal dos tecidos e órgãos, antes do aparecimento dos sintomas, é conhecida por
 

Provas

Questão presente nas seguintes provas
4069580 Ano: 2026
Disciplina: Radiologia
Banca: VUNESP
Orgão: UNIFIPA
A sinusite é uma inflamação das membranas mucosas dos seios paranasais e ocorre, frequentemente, em distúrbios que interferem na drenagem normal do seio. Para o seu diagnóstico, além da anamnese, foi realizado o estudo radiográfico a seguir:

Enunciado 4560256-1


(Damas K.F.; Tratado prático de radiologia. 2010)

A imagem refere-se ao seguinte exame:
 

Provas

Questão presente nas seguintes provas
4069579 Ano: 2026
Disciplina: Medicina
Banca: VUNESP
Orgão: UNIFIPA
O traçado gráfico do eletrocardiograma avalia a atividade elétrica do coração e registra os seus impulsos elétricos por meio de eletrodos fixados na pele. O trato de células especializadas que se origina no nó atrioventricular e entra no septo interventricular é conhecido por
 

Provas

Questão presente nas seguintes provas
4069578 Ano: 2026
Disciplina: Radiologia
Banca: VUNESP
Orgão: UNIFIPA
As doenças desmielinizantes podem ser diagnosticadas por exames neurológicos e por ressonância magnética. Assinale a alternativa que denomina, respectiva e corretamente, o tipo celular responsável por: i. conduzir a informação do sistema nervoso central para o músculo; ii: transmitir impulsos nervosos para a medula espinal e encéfalo, provenientes de todas as partes do corpo.
 

Provas

Questão presente nas seguintes provas
4069577 Ano: 2026
Disciplina: Radiologia
Banca: VUNESP
Orgão: UNIFIPA
O termo “anecoico”, utilizado no laudo de ultrassonografia, é descrito em literatura como
 

Provas

Questão presente nas seguintes provas
4069576 Ano: 2026
Disciplina: Medicina
Banca: VUNESP
Orgão: UNIFIPA
Tanto os aspectos macroscópicos quanto os microscópicos de uma amostra são fundamentais para uma boa avaliação diagnóstica. A biópsia de mama, realizada por agulha fina na sala de mamografia, é conhecida por biópsia
 

Provas

Questão presente nas seguintes provas
4069575 Ano: 2026
Disciplina: Radiologia
Banca: VUNESP
Orgão: UNIFIPA
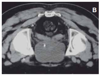
As imagens de tomografia computadorizada podem ser analisadas em diferentes cortes ou formatações:


Enunciado 4560251-1


(https://www.scielo.br/j/rb/a/Z9LkbsH6Qb6vLHm3HJP5Qcp/?lang=pt)

A imagem apresentada retrata a região da pelve, e é um estudo realizado em corte no plano
 

Provas

Questão presente nas seguintes provas
4069574 Ano: 2026
Disciplina: Radiologia
Banca: VUNESP
Orgão: UNIFIPA
A escala de Hounsfield, conforme tabela a seguir, refere-se a uma medida quantitativa para a densidade dos tecidos nos exames de tomografia computadorizada, na qual se pode considerar a imagem do osso cortical com a cor:

Enunciado 4560250-1



(https://alexandria-html-published.platosedu.io/ 1938348a-704c-4278-be3b-de9a0c5aba2c/v1/index.html)
 

Provas

Questão presente nas seguintes provas
4069573 Ano: 2026
Disciplina: Radiologia
Banca: VUNESP
Orgão: UNIFIPA
Para um diagnóstico preciso, as radiografias podem ser realizadas em diferentes posições.
Observe a imagem a seguir:

Enunciado 4560249-1



(Arquivo pessoal; imagem usada com autorização)

A imagem contempla a região coxofemural, realizada em posicionamento anteroposterior, e refere-se a um(a)
 

Provas

Questão presente nas seguintes provas