Foram encontradas 4.020.725 questões.
A evolução tecnológica permitiu o avanço das artrografias para artrorressonância nos estudos das diferentes
articulações, principalmente as diartroses, classificadas
como sinoviais, que, de acordo com a estrutura de cada
tipo articular, possui função determinada.
A articulação do joelho é conhecida por
A articulação do joelho é conhecida por
Provas
Questão presente nas seguintes provas
Para uma divisão precisa do abdome quanto à localização e aos sintomas, é de fundamental importância o
conhecimento anatômico da região estudada. Relacione
os números da imagem a seguir (1, 2, 3, 4, 5, 6, 7, 8 e
9) à sua denominação correta (a, b, c, d, e, f, g, h, i), e,
a seguir, assinale a alternativa correta.
(https://www.studocu.com/pt-br/document/faculdade-de-medicina-demaraba/anatomia/abdome-anatomia-humana/51762140)
a – Hipocôndrio direito. b – Epigástrio. c – Hipocôndrio esquerdo. d – Flanco direito. e – Mesogástrio. f – Flanco esquerdo. g – Fossa Ilíaca direita. h – Hipogástrio. i – Fossa ilíaca esquerda.
(https://www.studocu.com/pt-br/document/faculdade-de-medicina-demaraba/anatomia/abdome-anatomia-humana/51762140)
a – Hipocôndrio direito. b – Epigástrio. c – Hipocôndrio esquerdo. d – Flanco direito. e – Mesogástrio. f – Flanco esquerdo. g – Fossa Ilíaca direita. h – Hipogástrio. i – Fossa ilíaca esquerda.
Provas
Questão presente nas seguintes provas
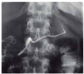
O exame radiológico contrastado com iodo, colangiopancreatografia retrógrada endoscópica, permite a visualização dos ductos biliares e pancreáticos. O ducto que
encaminha uma secreção rica em bicarbonato de sódio,
tripsina, quimotripsina, lipase, amilase e proteases, ao sistema digestório, é demonstrado pela radiografia a seguir:
(Arquivo pessoal; imagem usada com autorização)
A imagem refere-se ao ducto
(Arquivo pessoal; imagem usada com autorização)
A imagem refere-se ao ducto
Provas
Questão presente nas seguintes provas
A radiografia, a seguir, foi realizada com cilindro de extensão:

(Damas K.F.; Tratado prático de radiologia. 2010)
A imagem corresponde ao exame da articulação
Provas
Questão presente nas seguintes provas
Clínicas de radiologia e centros de imagem tendem a
armazenar conjuntos significativamente grandes de
arquivos de imagem na rotina de diagnóstico e tratamento de seus pacientes. O conjunto de padrões internacionais para troca de dados eletrônicos (clínicos
e administrativos), entre sistemas de saúde, é descrito
como
Provas
Questão presente nas seguintes provas
Um lutador de jiu-jítsu deu entrada no pronto-socorro de
um hospital por dor persistente na coluna lombar. Após a
realização de tomografia computadorizada foi diagnosticada uma espondilolistese ístmica.
Assinale a alternativa que corretamente aponta para a estrutura da vértebra acometida nesse caso.
Assinale a alternativa que corretamente aponta para a estrutura da vértebra acometida nesse caso.
Provas
Questão presente nas seguintes provas
O câncer de próstata é o segundo tipo de câncer mais
incidente na população masculina em todas as regiões
do país, atrás apenas dos tumores de pele não melanoma. No Brasil, estimam-se 71.730 novos casos de
câncer de próstata por ano para o triênio 2023-2025.
Atualmente, é a segunda causa de óbito por câncer
na população masculina, reafirmando sua importância
epidemiológica no país.
Assinale a alternativa correta sobre essa doença.
Assinale a alternativa correta sobre essa doença.
Provas
Questão presente nas seguintes provas
A Promoção da Saúde possui como princípios a equidade, a intersetorialidade, o empoderamento, a participação social, a sustentabilidade, a autonomia e a
integralidade. Esses são bons marcadores para identificar se uma ação ou política está voltada à promoção
da saúde.
Assinale a alternativa que contém uma ação de promoção da saúde.
Assinale a alternativa que contém uma ação de promoção da saúde.
Provas
Questão presente nas seguintes provas
Um jovem de 29 anos de idade, usuário de cigarro eletrônico, começa a sentir falta de ar, dor no peito, tosse, náuseas, vômitos, dor abdominal, mal-estar e febre.
Procura um serviço de urgência e emergência, é internado e, após investigação, chega-se ao diagnóstico de
EVALI, lesão pulmonar, fibrótica, relacionada ao dispositivo referido, reconhecida pelo Ministério da Saúde.
O jovem evolui para uma pneumonia bacteriana, septicemia e vai a óbito.
Diante do exposto, assinale a alternativa que contém a causa básica a ser registrada na Declaração de Óbito.
Diante do exposto, assinale a alternativa que contém a causa básica a ser registrada na Declaração de Óbito.
Provas
Questão presente nas seguintes provas
Uma bancária procura o Centro de Referência em
Saúde do Trabalhador do município onde mora, pois
está com diagnóstico de depressão e associa esse
quadro às condições em que trabalha: tem que vender
produtos bancários, tais como seguros de vida, aplicações financeiras, tendo metas para cumprir. Teme
perder o emprego, pois já viu demissões de pessoas
que não conseguiam cumprir as metas e haviam sido
mal avaliadas pela chefia. Essa situação, que perdura
há pelo menos 3 anos, a faz ter insônia, cansaço, sensação de desânimo e dificuldade de trabalhar.
Em face do exposto, assinale a alternativa correta.
Em face do exposto, assinale a alternativa correta.
Provas
Questão presente nas seguintes provas
Cadernos
Caderno Container