Foram encontradas 4.021.062 questões.
Homem, de 26 anos, politraumatizado, chega em choque hemorrágico classe IV (PA: 60 × 30 mmHg; FC: 150
bpm). É levado pela equipe de resgate imobilizado em
prancha rígida, com colar cervical, normotérmico. Gasometria arterial: pH: 7,05; PaCO2: 48 mmHg; HCO3:
13 mEq/L; lactato: 9 mmol/L; T: 36,5 °C; Hb: 6 g/dL.
Com base nesse contexto, analise a curva de dissociação oxigênio–hemoglobina a seguir:
(Arquivo pessoal; imagem usada com autorização)
Considerando a curva de dissociação oxigênio–hemoglobina, qual alteração predomina nesse cenário?
Com base nesse contexto, analise a curva de dissociação oxigênio–hemoglobina a seguir:
(Arquivo pessoal; imagem usada com autorização)
Considerando a curva de dissociação oxigênio–hemoglobina, qual alteração predomina nesse cenário?
Provas
Questão presente nas seguintes provas
Paciente de 58 anos, submetido, há dez dias, a drenagem biliar transparieto-hepática (DBTP) por colangite
secundária à estenose benigna da via biliar, retorna ao
serviço de emergência com hematêmese e melena há
seis horas. Refere dor no hipocôndrio direito e notou escurecimento da urina e icterícia progressiva. Ao exame:
hipotenso (PA: 90 × 60 mmHg), taquicárdico (FC: 118
bpm), icterícia 2+/4+, abdome doloroso à palpação no
hipocôndrio direito.
Qual é a hipótese diagnóstica mais provável para o quadro?
Qual é a hipótese diagnóstica mais provável para o quadro?
Provas
Questão presente nas seguintes provas
Com a publicação da Resolução CFM nº 2.429/2025,
houve atualização nos critérios para indicação de cirurgia bariátrica e metabólica no Brasil. Um paciente de 28
anos, com IMC de 32 kg/m2
e diagnóstico de diabetes
mellitus tipo 2 há oito anos, em uso de insulina, sem outras comorbidades associadas, busca avaliação para cirurgia, após falha de tratamento clínico para obesidade
por seis meses.
De acordo com as novas diretrizes, qual é a conduta mais adequada para esse caso?
De acordo com as novas diretrizes, qual é a conduta mais adequada para esse caso?
Provas
Questão presente nas seguintes provas
Paciente foi submetido à ressecção anterior baixa do reto
com anastomose colorretal e derivação temporária por
ileostomia em alça.
Comparada com colostomia em alça para derivação temporária, a ileostomia em alça apresenta
Comparada com colostomia em alça para derivação temporária, a ileostomia em alça apresenta
Provas
Questão presente nas seguintes provas
Paciente do sexo masculino, de 25 anos, vítima de ferimento penetrante por arma branca em zona II do pescoço (entre a cartilagem cricoide e o ângulo da mandíbula),
é admitido no pronto-socorro com hematoma expansivo
em região cervical anterior, disfonia, enfisema subcutâneo e saturação de 88% em ar ambiente.
Diante do quadro, assinale a alternativa que apresenta corretamente o conjunto de estruturas anatômicas com maior risco de ter sido lesado.
Diante do quadro, assinale a alternativa que apresenta corretamente o conjunto de estruturas anatômicas com maior risco de ter sido lesado.
Provas
Questão presente nas seguintes provas
É indicação de cricotireoidostomia, exceto:
Provas
Questão presente nas seguintes provas
Paciente de 45 anos chega ao pronto-socorro com dor
súbita em membro inferior esquerdo, palidez e esfriamento desse membro. Refere ter realizado cirurgia para
troca de válvula aórtica há seis anos.
Qual é o diagnóstico mais provável?
Qual é o diagnóstico mais provável?
Provas
Questão presente nas seguintes provas
Paciente do sexo masculino, de 22 anos, vítima de ferimento penetrante por arma branca em hipocôndrio direito, chega à emergência em regular estado geral, taquicárdico (FC: 118 bpm), hipotenso (PA: 90 × 60 mmHg),
descorado (+/4+) e referindo dor abdominal intensa.
A palpação abdominal revela dor difusa com defesa voluntária.
Assinale a alternativa que apresenta corretamente a melhor conduta inicial para esse paciente.
Assinale a alternativa que apresenta corretamente a melhor conduta inicial para esse paciente.
Provas
Questão presente nas seguintes provas
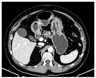
Paciente do sexo feminino, de 62 anos, é diagnosticada
com carcinoma ductal invasivo de mama esquerda. Durante o estadiamento, realiza tomografia computadorizada de abdome, que identifica cisto pancreático na cabeça
do pâncreas, sugestivo de neoplasia mucinosa papilar
intraductal (IPMN), conforme imagem a seguir:
(Arquivo pessoal; imagem usada com autorização)
De acordo com os critérios de Fukuoka (2017) revisados, qual das seguintes características é considerada um “critério de alto estigma” que indica necessidade de ressecção cirúrgica?
(Arquivo pessoal; imagem usada com autorização)
De acordo com os critérios de Fukuoka (2017) revisados, qual das seguintes características é considerada um “critério de alto estigma” que indica necessidade de ressecção cirúrgica?
Provas
Questão presente nas seguintes provas
Com relação à diverticulite aguda, assinale a alternativa
correta.
Provas
Questão presente nas seguintes provas
Cadernos
Caderno Container